Suppr超能文献

淋巴细胞与单核细胞比值(LMR)、中性粒细胞与淋巴细胞比值(NLR)及血小板与淋巴细胞比值(PLR)在局部晚期直肠癌患者中作用的前瞻性研究

A Prospective Study on the Roles of the Lymphocyte-to-Monocyte Ratio (LMR), Neutrophil-to-Lymphocyte Ratio (NLR), and Platelet-to-Lymphocyte Ratio (PLR) in Patients with Locally Advanced Rectal Cancer.

作者信息

Gawiński Cieszymierz, Mróz Andrzej, Roszkowska-Purska Katarzyna, Sosnowska Iwona, Derezińska-Wołek Edyta, Michalski Wojciech, Wyrwicz Lucjan

机构信息

Department of Oncology and Radiotherapy, M. Skłodowska-Curie National Research Institute of Oncology, ul. Wawelska 15, 02-034 Warsaw, Poland.

Department of Pathology, M. Skłodowska-Curie National Research Institute of Oncology, ul. Roentgena 5, 02-781 Warsaw, Poland.

出版信息

Biomedicines. 2023 Nov 14;11(11):3048. doi: 10.3390/biomedicines11113048.

Abstract

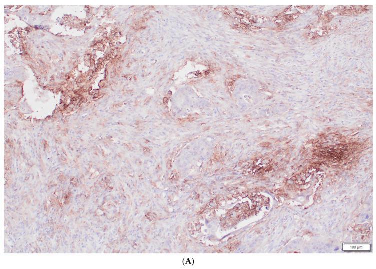
Rectal cancer constitutes over one-third of all colorectal cancers (CRCs) and is one of the leading causes of cancer-related deaths in developed countries. In order to identify high-risk patients and better adjust therapies, new markers are needed. Systemic inflammatory response (SIR) markers such as LMR, NLR, and PLR have proven to be highly prognostic in many malignancies, including CRC; however, their roles in locally advanced rectal cancer (LARC) are conflicting and lack proper validation. Sixty well-selected patients with LARC treated at the Maria Sklodowska-Curie National Research Institute of Oncology in Warsaw, Poland, between August 2017 and December 2020 were prospectively enrolled in this study. The reproducibility of the pre-treatment levels of the SIR markers, their correlations with clinicopathological characteristics, and their prognostic value were evaluated. There was a significant positive correlation between LMR and cancer-related inflammatory infiltrate (r = 0.38, = 0.044) and PD-L1 expression in tumor cells, lymphocytes, and macrophages (combined positive score (CPS)) (r = 0.45, = 0.016). The PLR level was correlated with nodal involvement ( = 0.033). The SIR markers proved to be only moderately reproducible and had no significant prognostic value. In conclusion, the LMR was associated with local cancer-related inflammation and PD-L1 expression in tumor microenvironments. The validity of SIR indices as biomarkers in LARC requires further investigation.

摘要

直肠癌占所有结直肠癌(CRC)的三分之一以上,是发达国家癌症相关死亡的主要原因之一。为了识别高危患者并更好地调整治疗方案,需要新的标志物。全身炎症反应(SIR)标志物,如淋巴细胞与单核细胞比值(LMR)、中性粒细胞与淋巴细胞比值(NLR)和血小板与淋巴细胞比值(PLR),已被证明在包括CRC在内的许多恶性肿瘤中具有高度预后价值;然而,它们在局部晚期直肠癌(LARC)中的作用存在争议且缺乏适当验证。2017年8月至2020年12月期间,在波兰华沙玛丽亚·斯克洛多夫斯卡-居里国家肿瘤研究所接受治疗的60例精心挑选的LARC患者被前瞻性纳入本研究。评估了SIR标志物治疗前水平的可重复性、它们与临床病理特征的相关性以及它们的预后价值。LMR与癌症相关炎症浸润(r = 0.38,P = 0.044)以及肿瘤细胞、淋巴细胞和巨噬细胞中的程序性死亡受体1配体(PD-L1)表达(联合阳性评分(CPS))之间存在显著正相关(r = 0.45,P = 0.016)。PLR水平与淋巴结受累相关(P = 0.033)。SIR标志物仅具有中等程度的可重复性,且无显著预后价值。总之,LMR与肿瘤微环境中局部癌症相关炎症和PD-L1表达有关。SIR指标作为LARC生物标志物的有效性需要进一步研究。

https://cdn.ncbi.nlm.nih.gov/pmc/blobs/988d/10669751/ecaeb08eae87/biomedicines-11-03048-g0A1.jpg

文献AI研究员

20分钟写一篇综述,助力文献阅读效率提升50倍。

立即体验

用中文搜PubMed

大模型驱动的PubMed中文搜索引擎

马上搜索

文档翻译

学术文献翻译模型,支持多种主流文档格式。

立即体验