Suppr超能文献

急性心肌炎和慢性炎症性心肌病中的生物标志物:文献综述更新

Biomarkers in Acute Myocarditis and Chronic Inflammatory Cardiomyopathy: An Updated Review of the Literature.

作者信息

Crisci Giulia, Bobbio Emanuele, Gentile Piero, Bromage Daniel I, Bollano Entela, Ferone Emma, Israr Muhammad Zubair, Heaney Liam M, Polte Christian L, Cannatà Antonio, Salzano Andrea

机构信息

Department of Translational Medical Sciences, Federico II University, 80131 Naples, Italy.

Italian Clinical Outcome Research and Reporting Program (I-CORRP), 80131 Naples, Italy.

出版信息

J Clin Med. 2023 Nov 21;12(23):7214. doi: 10.3390/jcm12237214.

Abstract

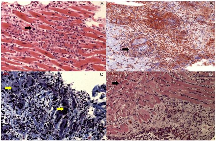
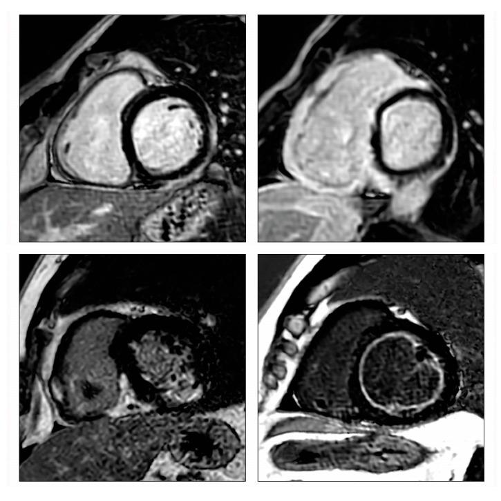
Myocarditis is a disease caused by cardiac inflammation that can progress to dilated cardiomyopathy, heart failure, and eventually death. Several etiologies, including autoimmune, drug-induced, and infectious, lead to inflammation, which causes damage to the myocardium, followed by remodeling and fibrosis. Although there has been an increasing understanding of pathophysiology, early and accurate diagnosis, and effective treatment remain challenging due to the high heterogeneity. As a result, many patients have poor prognosis, with those surviving at risk of long-term sequelae. Current diagnostic methods, including imaging and endomyocardial biopsy, are, at times, expensive, invasive, and not always performed early enough to affect disease progression. Therefore, the identification of accurate, cost-effective, and prognostically informative biomarkers is critical for screening and treatment. The review then focuses on the biomarkers currently associated with these conditions, which have been extensively studied via blood tests and imaging techniques. The information within this review was retrieved through extensive literature research conducted on major publicly accessible databases and has been collated and revised by an international panel of experts. The biomarkers discussed in the article have shown great promise in clinical research studies and provide clinicians with essential tools for early diagnosis and improved outcomes.

摘要

心肌炎是一种由心脏炎症引起的疾病,可进展为扩张型心肌病、心力衰竭,并最终导致死亡。包括自身免疫性、药物性和感染性在内的多种病因会引发炎症,炎症会对心肌造成损害,随后出现重塑和纤维化。尽管对病理生理学的认识不断增加,但由于高度异质性,早期准确诊断和有效治疗仍然具有挑战性。因此,许多患者预后较差,幸存者有长期后遗症的风险。目前的诊断方法,包括影像学检查和心内膜心肌活检,有时费用高昂、具有侵入性,而且并不总是能尽早进行以影响疾病进展。因此,识别准确、具有成本效益且能提供预后信息的生物标志物对于筛查和治疗至关重要。本综述随后聚焦于目前与这些病症相关的生物标志物,这些生物标志物已通过血液检测和成像技术进行了广泛研究。本综述中的信息是通过对主要公共可访问数据库进行广泛的文献研究检索到的,并由一个国际专家小组进行了整理和修订。文章中讨论的生物标志物在临床研究中已显示出巨大潜力,并为临床医生提供了早期诊断和改善治疗结果的重要工具。

https://cdn.ncbi.nlm.nih.gov/pmc/blobs/5974/10706911/24e84c3c2573/jcm-12-07214-g005.jpg

文献AI研究员

20分钟写一篇综述,助力文献阅读效率提升50倍。

立即体验

用中文搜PubMed

大模型驱动的PubMed中文搜索引擎

马上搜索

文档翻译

学术文献翻译模型,支持多种主流文档格式。

立即体验