Suppr超能文献

联合 BET 和 MEK 抑制通过靶向 YAP1 协同抑制黑色素瘤。

Combined BET and MEK Inhibition synergistically suppresses melanoma by targeting YAP1.

机构信息

Department of Dermatology, Hunan Engineering Research Center of Skin Health and Disease, Hunan Key Laboratory of Skin Cancer and Psoriasis, Xiangya Hospital, Central South University, Changsha, Hunan 410008, China.

Department of Dermatology, The First Affiliated Hospital of Chongqing Medical University, Chongqing, China.

出版信息

Theranostics. 2024 Jan 1;14(2):593-607. doi: 10.7150/thno.85437. eCollection 2024.

Abstract

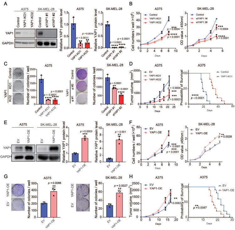
The response rate to the MEK inhibitor trametinib in BRAF-mutated melanoma patients is less than 30%, and drug resistance develops rapidly, but the mechanism is still unclear. Yes1-associated transcriptional regulator (YAP1) is highly expressed in melanoma and may be related to MEK inhibitor resistance. The purpose of this study was to investigate the mechanism of YAP1 in MEK inhibitor resistance in melanoma and to screen YAP1 inhibitors to further determine whether YAP1 inhibition reverses MEK inhibitor resistance. On the one hand, we analyzed paired melanoma and adjacent tissue samples using RNA-seq and found that the Hippo-YAP1 signaling pathway was the top upregulated pathway. On the other hand, we evaluated the transcriptomes of melanoma samples from patients before and after trametinib treatment and investigated the correlation between YAP1 expression and trametinib resistance. Then, we screened for inhibitors that repress YAP1 expression and investigated the mechanisms. Finally, we investigated the antitumor effect of YAP1 inhibition combined with MEK inhibition both and . We found that YAP1 expression levels upon trametinib treatment in melanoma patients were correlated with resistance to trametinib. YAP1 was translocated into the nucleus after trametinib treatment in melanoma cells, which could render resistance to MEK inhibition. Thus, we screened for inhibitors that repress YAP1 expression and identified multiple bromodomain and extra-terminal (BET) inhibitors, including NHWD-870, as hits. BET inhibition repressed YAP1 expression by decreasing BRD4 binding to the YAP1 promoter. Consistently, YAP1 overexpression was sufficient to reverse the proliferation defect caused by BRD4 depletion. In addition, the BET inhibitor NHWD-870 acted synergistically with trametinib to suppress melanoma growth and . We identified a new vulnerability for MEK inhibitor-resistant melanomas, which activated Hippo pathway due to elevated YAP1 activity. Inhibition of BRD4 using BET inhibitors suppressed YAP1 expression and led to blunted melanoma growth when combined with treatment with the MEK inhibitor trametinib.

摘要

MEK 抑制剂曲美替尼治疗 BRAF 突变型黑色素瘤患者的反应率低于 30%,且耐药性迅速发展,但机制尚不清楚。Yes1 相关转录调节剂(YAP1)在黑色素瘤中高度表达,可能与 MEK 抑制剂耐药有关。本研究旨在探讨 YAP1 在黑色素瘤 MEK 抑制剂耐药中的作用机制,并筛选 YAP1 抑制剂,进一步确定 YAP1 抑制是否逆转 MEK 抑制剂耐药。一方面,我们通过 RNA-seq 分析配对的黑色素瘤和相邻组织样本,发现 Hippo-YAP1 信号通路是上调最明显的通路。另一方面,我们评估了接受曲美替尼治疗前后黑色素瘤患者样本的转录组,并研究了 YAP1 表达与曲美替尼耐药之间的相关性。然后,我们筛选了抑制 YAP1 表达的抑制剂,并研究了其机制。最后,我们研究了 YAP1 抑制联合 MEK 抑制的抗肿瘤作用。我们发现,黑色素瘤患者接受曲美替尼治疗后 YAP1 的表达水平与曲美替尼耐药相关。YAP1 在黑色素瘤细胞接受曲美替尼治疗后易位到细胞核内,从而对 MEK 抑制产生耐药性。因此,我们筛选了抑制 YAP1 表达的抑制剂,并鉴定出多种溴结构域和末端结构域(BET)抑制剂,包括 NHWD-870,作为有效抑制剂。BET 抑制剂通过减少 BRD4 与 YAP1 启动子的结合来抑制 YAP1 的表达。一致地,YAP1 的过表达足以逆转 BRD4 耗竭引起的增殖缺陷。此外,BET 抑制剂 NHWD-870 与曲美替尼联合使用可协同抑制黑色素瘤生长。我们发现了 MEK 抑制剂耐药性黑色素瘤的一个新的弱点,由于 YAP1 活性升高,Hippo 通路被激活。使用 BET 抑制剂抑制 BRD4 可抑制 YAP1 的表达,当与 MEK 抑制剂曲美替尼联合使用时,可导致黑色素瘤生长受阻。

https://cdn.ncbi.nlm.nih.gov/pmc/blobs/b1d2/10758063/6e69abe574da/thnov14p0593g001.jpg

文献AI研究员

20分钟写一篇综述,助力文献阅读效率提升50倍。

立即体验

用中文搜PubMed

大模型驱动的PubMed中文搜索引擎

马上搜索

文档翻译

学术文献翻译模型,支持多种主流文档格式。

立即体验