Suppr超能文献

向玻璃体腔内单次注射四价小干扰RNA(siRNA)可在小鼠和猪的光感受器中实现强大且高效的基因沉默。

Single intravitreal administration of a tetravalent siRNA exhibits robust and efficient gene silencing in mouse and pig photoreceptors.

作者信息

Cheng Shun-Yun, Caiazzi Jillian, Biscans Annabelle, Alterman Julia F, Echeverria Dimas, McHugh Nicholas, Hassler Matthew, Jolly Samson, Giguere Delaney, Cipi Joris, Khvorova Anastasia, Punzo Claudio

机构信息

Department of Ophthalmology and Visual Sciences, University of Massachusetts Chan Medical School, Worcester, MA 01605, USA.

Horae Gene Therapy Center, University of Massachusetts Chan Medical School, Worcester, MA 01605, USA.

出版信息

Mol Ther Nucleic Acids. 2023 Dec 5;35(1):102088. doi: 10.1016/j.omtn.2023.102088. eCollection 2024 Mar 12.

Abstract

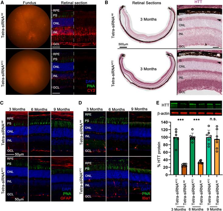
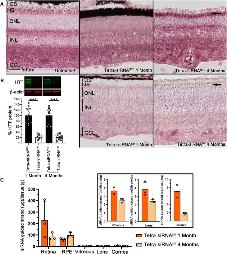
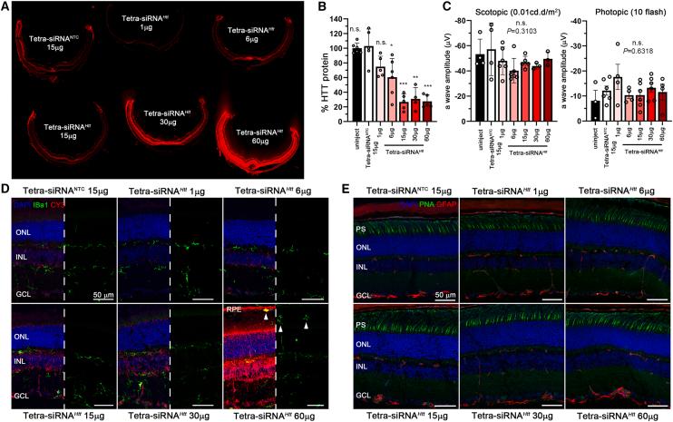
Inherited retinal dystrophies caused by dominant mutations in photoreceptor (PR) cell expressed genes are a major cause of irreversible vision loss. Oligonucleotide therapy has been of interest in diseases that conventional medicine cannot target. In the early days, small interfering RNAs (siRNAs) were explored in clinical trials for retinal disorders with limited success due to a lack of stability and efficient cellular delivery. Thus, an unmet need exists to identify siRNA chemistry that targets PR cell expressed genes. Here, we evaluated 12 different fully chemically modified siRNA configurations, where the valency and conjugate structure were systematically altered. The impact on retinal distribution following intravitreal delivery was examined. We found that the increase in valency (tetravalent siRNA) supports the best PR accumulation. A single intravitreal administration induces multimonths efficacy in rodent and porcine retinas while demonstrating a good safety profile. The data suggest that this configuration can treat retinal diseases caused by PR cell expressed genes with 1-2 intravitreal injections per year.

摘要

由光感受器(PR)细胞表达基因中的显性突变引起的遗传性视网膜营养不良是不可逆视力丧失的主要原因。寡核苷酸疗法在传统医学无法靶向的疾病中备受关注。早期,小干扰RNA(siRNA)在视网膜疾病的临床试验中进行了探索,但由于缺乏稳定性和有效的细胞递送,成效有限。因此,存在识别靶向PR细胞表达基因的siRNA化学结构的未满足需求。在此,我们评估了12种不同的完全化学修饰的siRNA构型,其中价态和共轭结构被系统地改变。研究了玻璃体内注射后对视网膜分布的影响。我们发现价态增加(四价siRNA)支持最佳的PR积累。单次玻璃体内给药在啮齿动物和猪视网膜中诱导数月的疗效,同时显示出良好的安全性。数据表明,这种构型每年通过1 - 2次玻璃体内注射可以治疗由PR细胞表达基因引起的视网膜疾病。

https://cdn.ncbi.nlm.nih.gov/pmc/blobs/ead3/10772295/be909cbaf364/fx1.jpg

文献AI研究员

20分钟写一篇综述,助力文献阅读效率提升50倍。

立即体验

用中文搜PubMed

大模型驱动的PubMed中文搜索引擎

马上搜索

文档翻译

学术文献翻译模型,支持多种主流文档格式。

立即体验