Suppr超能文献

环状Glis3通过与不均一核核糖核蛋白F结合并编码Glis3-348aa蛋白来促进β细胞功能障碍。

circGlis3 promotes β-cell dysfunction by binding to heterogeneous nuclear ribonucleoprotein F and encoding Glis3-348aa protein.

作者信息

Xiong Li, Gong Yingying, Liu Huashan, Huang Liang, Zeng Ziwei, Zheng Xiaobin, Li Wenxin, Liang Zhenxing, Kang Liang

机构信息

Department of Colorectal Surgery, The Sixth Affiliated Hospital, Sun Yat-sen University, Guangzhou, Guangdong, China.

Department of General Surgery, Guangdong Provincial Key Laboratory of Colorectal and Pelvic Floor Diseases, The Sixth Affiliated Hospital, Sun Yat-sen University, Guangzhou, Guangdong, China.

出版信息

iScience. 2023 Dec 9;27(1):108680. doi: 10.1016/j.isci.2023.108680. eCollection 2024 Jan 19.

Abstract

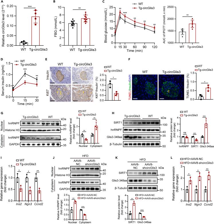
Circular RNAs (circRNAs) are crucial regulators of β-cell function and are involved in lipotoxicity-induced β-cell damage in type 2 diabetes mellitus (T2DM). We previously identified that circGlis3, a circRNA derived from exon 4 of the diabetes susceptibility gene , was upregulated in lipotoxic β cells. However, the functional role and molecular mechanism of circGlis3 in β cells remain largely unknown. Here, we revealed that the splicing factor CUGBP Elav-Like Family Member 1 (CELF1) facilitated the biogenesis of circGlis3. Moreover, we established a transgenic mouse model and confirmed that the overexpression of circGlis3 impaired β-cell function. Mechanistically, circGlis3 bound to heterogeneous nuclear ribonucleoprotein F (hnRNPF) and blocked its nuclear translocation, thereby reducing levels. Additionally, circGlis3 encoded a 348aa protein that interacted with GLIS3 and inhibited its transcriptional activity. Our data uncover a critical role of circGlis3 in β-cell dysfunction, suggesting that circGlis3 may be a potential therapeutic target for T2DM.

摘要

环状RNA(circRNAs)是β细胞功能的关键调节因子,参与2型糖尿病(T2DM)中脂毒性诱导的β细胞损伤。我们之前发现,circGlis3是一种源自糖尿病易感基因第4外显子的环状RNA,在脂毒性β细胞中上调。然而,circGlis3在β细胞中的功能作用和分子机制仍 largely未知。在此,我们揭示了剪接因子CUGBP Elav样家族成员1(CELF1)促进了circGlis3的生物合成。此外,我们建立了转基因小鼠模型,并证实circGlis3的过表达损害了β细胞功能。机制上,circGlis3与异质性核核糖核蛋白F(hnRNPF)结合并阻断其核转位,从而降低 水平。此外,circGlis3编码一种348aa的蛋白质,该蛋白质与GLIS3相互作用并抑制其转录活性。我们的数据揭示了circGlis3在β细胞功能障碍中的关键作用,表明circGlis3可能是T2DM的潜在治疗靶点。

https://cdn.ncbi.nlm.nih.gov/pmc/blobs/8354/10788204/7baf18e14395/fx1.jpg

文献AI研究员

20分钟写一篇综述,助力文献阅读效率提升50倍。

立即体验

用中文搜PubMed

大模型驱动的PubMed中文搜索引擎

马上搜索

文档翻译

学术文献翻译模型,支持多种主流文档格式。

立即体验