Suppr超能文献

唐氏综合征患儿的反复呼吸道感染:综述

Recurrent Respiratory Infections in Children with Down Syndrome: A Review.

作者信息

Ghezzi Michele, Garancini Nicolò, De Santis Raffaella, Gianolio Laura, Zirpoli Salvatore, Mandelli Anna, Farolfi Andrea, D'Auria Enza, Zuccotti Gian Vincenzo

机构信息

Pediatric Department, "Vittore Buzzi" Children's Hospital, 20154 Milan, Italy.

Pediatric Radiology Unit, "Vittore Buzzi" Children's Hospital, 20154 Milan, Italy.

出版信息

Children (Basel). 2024 Feb 15;11(2):246. doi: 10.3390/children11020246.

Abstract

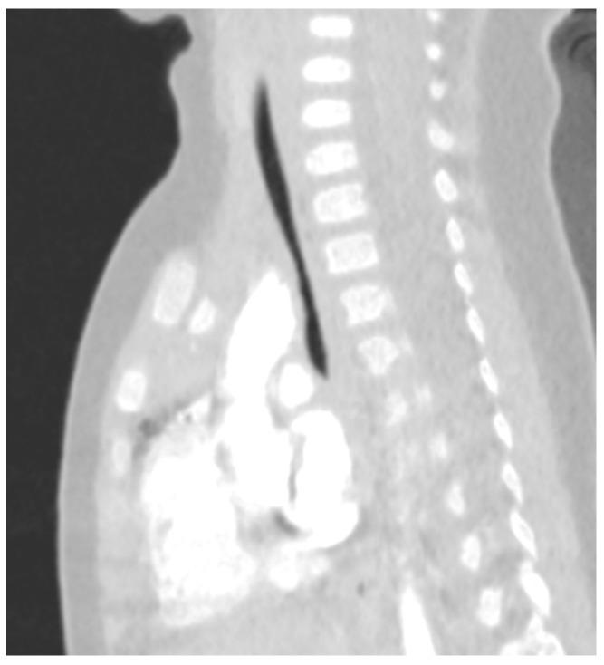
Down Syndrome (DS) is the most common chromosomal abnormality compatible with life. The life of patients suffering from DS can be strongly impacted by Recurrent Respiratory tract Infections (RRIs), leading to an increased rate of hospitalisation, a higher need for intensive care and fatality. With a literature review, we summarise here the main etiological factors for RRI in this category of patients, particularly focusing on airway malformations such as tracheomalacia, tracheal bronchus and bronchomalacia, comorbidities associated with the syndrome, like congenital heart diseases, dysphagia, gastroesophageal reflux, musculoskeletal involvement and obesity, and immunologic impairments, involving both innate and adaptive immunity. For these patients, a multidisciplinary approach is imperative as well as some preventive strategies, in particular vaccinations in accordance with their national schedule for immunization.

摘要

唐氏综合征(DS)是最常见的与生命相容的染色体异常疾病。患有唐氏综合征的患者的生活可能会受到反复呼吸道感染(RRIs)的严重影响,导致住院率增加、对重症监护的需求更高以及死亡率上升。通过文献综述,我们在此总结了这类患者反复呼吸道感染的主要病因,特别关注气道畸形,如气管软化、气管支气管和支气管软化,与该综合征相关的合并症,如先天性心脏病、吞咽困难、胃食管反流、肌肉骨骼受累和肥胖,以及涉及先天和适应性免疫的免疫缺陷。对于这些患者,多学科方法以及一些预防策略至关重要,特别是按照国家免疫计划进行疫苗接种。

https://cdn.ncbi.nlm.nih.gov/pmc/blobs/4cba/10888118/c3b2ca566b48/children-11-00246-g001.jpg

文献AI研究员

20分钟写一篇综述,助力文献阅读效率提升50倍。

立即体验

用中文搜PubMed

大模型驱动的PubMed中文搜索引擎

马上搜索

文档翻译

学术文献翻译模型,支持多种主流文档格式。

立即体验