Suppr超能文献

E3泛素连接酶MARCH2通过负调控PGAM5/MAVS/NLRP3轴抑制焦亡,从而预防心肌缺血再灌注损伤。

The E3 ubiquitin ligase MARCH2 protects against myocardial ischemia-reperfusion injury through inhibiting pyroptosis via negative regulation of PGAM5/MAVS/NLRP3 axis.

作者信息

Liu Shuolin, Bi Yaguang, Han Tianting, Li Yiran E, Wang Qihang, Wu Ne Natalie, Xu Chenguo, Ge Junbo, Hu Ronggui, Zhang Yingmei

机构信息

Department of Cardiology, Zhongshan Hospital, Fudan University, Shanghai Institute of Cardiovascular Diseases, National Clinical Research Center for Interventional Medicine, Key Laboratory of Viral Heart Diseases, National Health Commission. Key Laboratory of Viral Heart Diseases, Chinese Academy of Medical Sciences, Shanghai, China.

College of Basic Medicine, Shanghai Medical College, Fudan University, Shanghai, China.

出版信息

Cell Discov. 2024 Feb 27;10(1):24. doi: 10.1038/s41421-023-00622-3.

Abstract

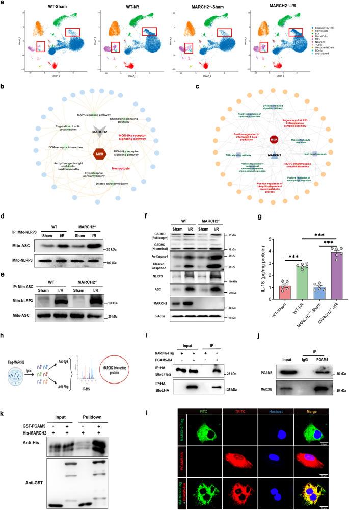
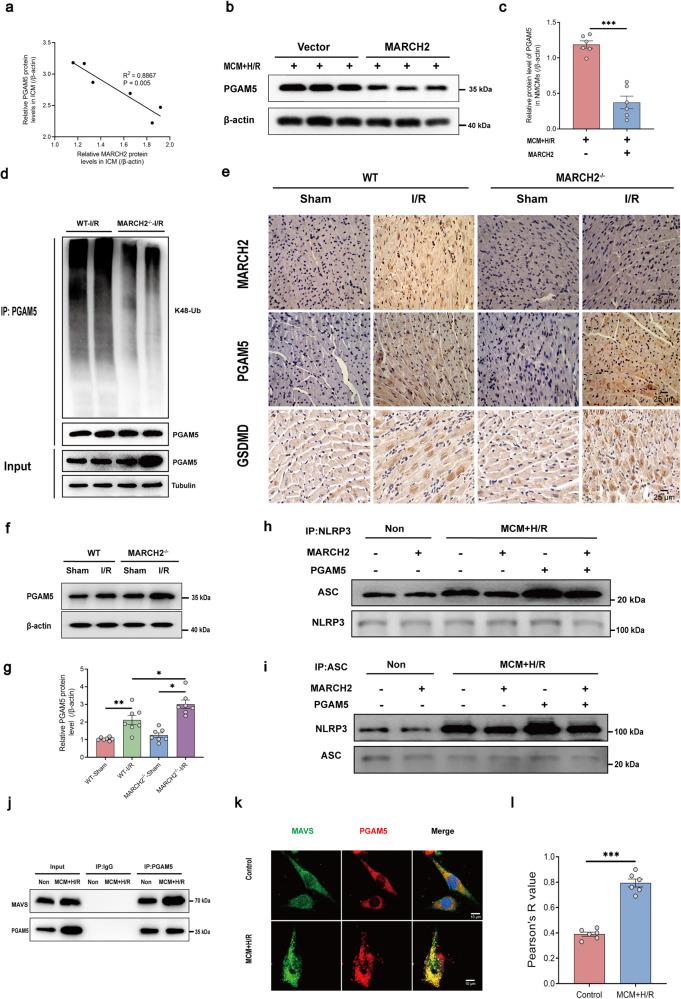
Inflammasome activation and pyroptotic cell death are known to contribute to the pathogenesis of cardiovascular diseases, such as myocardial ischemia-reperfusion (I/R) injury, although the underlying regulatory mechanisms remain poorly understood. Here we report that expression levels of the E3 ubiquitin ligase membrane-associated RING finger protein 2 (MARCH2) were elevated in ischemic human hearts or mouse hearts upon I/R injury. Genetic ablation of MARCH2 aggravated myocardial infarction and cardiac dysfunction upon myocardial I/R injury. Single-cell RNA-seq analysis suggested that loss of MARCH2 prompted activation of NLRP3 inflammasome in cardiomyocytes. Mechanistically, phosphoglycerate mutase 5 (PGAM5) was found to act as a novel regulator of MAVS-NLRP3 signaling by forming liquid-liquid phase separation condensates with MAVS and fostering the recruitment of NLRP3. MARCH2 directly interacts with PGAM5 to promote its K48-linked polyubiquitination and proteasomal degradation, resulting in reduced PGAM5-MAVS co-condensation, and consequently inhibition of NLRP3 inflammasome activation and cardiomyocyte pyroptosis. AAV-based re-introduction of MARCH2 significantly ameliorated I/R-induced mouse heart dysfunction. Altogether, our findings reveal a novel mechanism where MARCH2-mediated ubiquitination negatively regulates the PGAM5/MAVS/NLRP3 axis to protect against cardiomyocyte pyroptosis and myocardial I/R injury.

摘要

已知炎性小体激活和焦亡性细胞死亡与心血管疾病的发病机制有关,如心肌缺血再灌注(I/R)损伤,尽管其潜在的调节机制仍知之甚少。在此,我们报告,在I/R损伤后,缺血的人类心脏或小鼠心脏中E3泛素连接酶膜相关环指蛋白2(MARCH2)的表达水平升高。MARCH2基因敲除加重了心肌I/R损伤后的心肌梗死和心脏功能障碍。单细胞RNA测序分析表明,MARCH2缺失促使心肌细胞中NLRP3炎性小体激活。机制上,发现磷酸甘油酸变位酶5(PGAM5)通过与MAVS形成液-液相分离凝聚物并促进NLRP3的募集,作为MAVS-NLRP3信号传导的新型调节因子。MARCH2直接与PGAM5相互作用,促进其K48连接的多聚泛素化和蛋白酶体降解,导致PGAM5-MAVS共凝聚减少,从而抑制NLRP3炎性小体激活和心肌细胞焦亡。基于腺相关病毒的MARCH2重新导入显著改善了I/R诱导的小鼠心脏功能障碍。总之,我们的研究结果揭示了一种新机制,即MARCH2介导的泛素化负调节PGAM5/MAVS/NLRP3轴,以防止心肌细胞焦亡和心肌I/R损伤。

https://cdn.ncbi.nlm.nih.gov/pmc/blobs/7274/10897310/1d0124c6ea44/41421_2023_622_Fig1_HTML.jpg

文献AI研究员

20分钟写一篇综述,助力文献阅读效率提升50倍。

立即体验

用中文搜PubMed

大模型驱动的PubMed中文搜索引擎

马上搜索

文档翻译

学术文献翻译模型,支持多种主流文档格式。

立即体验