Suppr超能文献

薯蓣皂苷元通过靶向衰老和凋亡标记基因减轻D-半乳糖诱导的大鼠脑和肝脏氧化应激。

Diosgenin alleviates D-galactose-induced oxidative stress in rats' brain and liver targeting aging and apoptotic marker genes.

作者信息

El-Far Ali H, Elghaity Mona M, Mohamed Shymaa A, Noreldin Ahmed E, Elewa Yaser H A, Al Jaouni Soad Khalil, Alsenosy Abdelwahab A

机构信息

Department of Biochemistry, Faculty of Veterinary Medicine, Damanhour University, Damanhour, Egypt.

Molecular Biology Unit, Medical Technology Centre, Medical Research Institute, Alexandria University, Alexandria, Egypt.

出版信息

Front Mol Biosci. 2024 Feb 23;11:1303379. doi: 10.3389/fmolb.2024.1303379. eCollection 2024.

Abstract

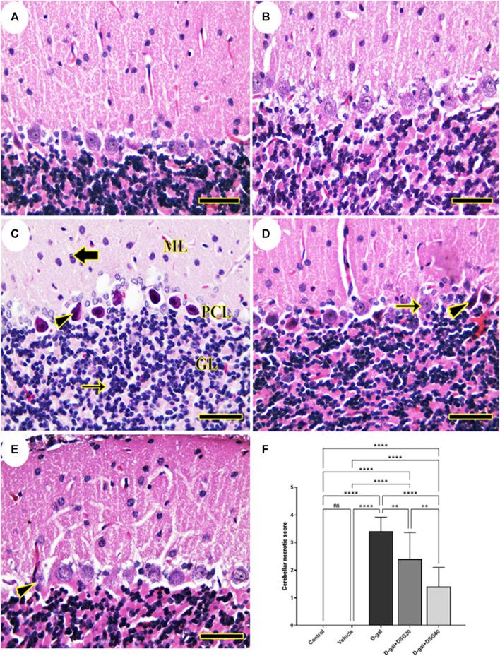
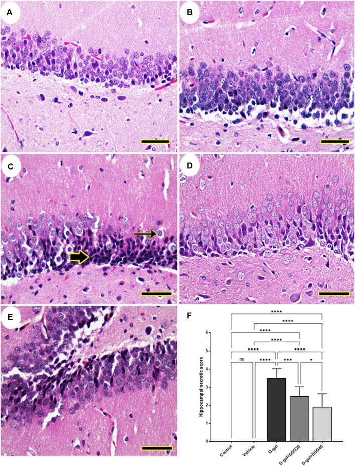
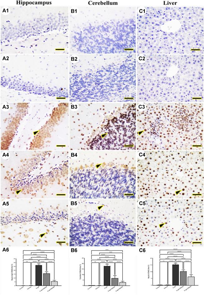
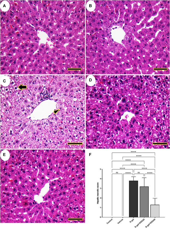
The theory of aging is primarily concerned with oxidative stress caused by an imbalance in reactive oxygen species generation and cellular antioxidants. To alleviate the oxidative stress, we investigated the protective effect of diosgenin (DSG) for D-galactose (D-gal) using 20 and 40 mg of DSG/kg/day/orally for 42 days. The findings showed that D-gal caused brain and liver oxidative injuries by upregulating aging and oxidative markers. To counteract the oxidative stress caused by D-gal, DSG upregulated glutathione peroxidase-1, superoxide dismutase-1, and glutathione S-transferase-α. DSG also diminished the expression of , , Bcl-2-associated X protein, caspase-3, and mammalian target of rapamycin in brain and liver, as well as the build-up of -galactosidase. DSG, in a dose-dependent manner, decreased the oxidative aging effects of D-gal in brain and liver tissues through targeting of aging and apoptotic marker genes. Finally, it should be noted that consuming DSG supplements is a suggesting natural preventative agent that may counteract aging and preserve health through improvement of body antioxidant status and control aging associated inflammation and cellular apoptosis.

摘要

衰老理论主要关注活性氧生成与细胞抗氧化剂失衡所导致的氧化应激。为了减轻氧化应激,我们研究了薯蓣皂苷元(DSG)对D-半乳糖(D-gal)的保护作用,采用20毫克/千克/天和40毫克/千克/天的DSG口服给药,持续42天。研究结果表明,D-gal通过上调衰老和氧化标志物导致脑和肝氧化损伤。为了对抗D-gal引起的氧化应激,DSG上调了谷胱甘肽过氧化物酶-1、超氧化物歧化酶-1和谷胱甘肽S-转移酶-α。DSG还减少了脑和肝中、、Bcl-2相关X蛋白、半胱天冬酶-3和雷帕霉素靶蛋白的表达,以及β-半乳糖苷酶的积累。DSG通过靶向衰老和凋亡标记基因,以剂量依赖的方式降低了D-gal对脑和肝组织的氧化衰老作用。最后,需要注意的是,食用DSG补充剂是一种有前景的天然预防剂,可能通过改善身体抗氧化状态以及控制与衰老相关的炎症和细胞凋亡来对抗衰老并保持健康。

https://cdn.ncbi.nlm.nih.gov/pmc/blobs/e58d/10922004/04d4cda7a480/FMOLB_fmolb-2024-1303379_wc_sch1.jpg

文献AI研究员

20分钟写一篇综述,助力文献阅读效率提升50倍。

立即体验

用中文搜PubMed

大模型驱动的PubMed中文搜索引擎

马上搜索

文档翻译

学术文献翻译模型,支持多种主流文档格式。

立即体验