Suppr超能文献

细胞外囊泡通过自噬降解 OCLN(紧密连接蛋白)加重肺泡上皮屏障破坏。

extracellular vesicles aggravate alveolar epithelial barrier disruption via autophagic degradation of OCLN (occludin).

机构信息

National Key Laboratory of Agricultural Microbiology, College of Veterinary Medicine, Huazhong Agricultural University, Wuhan, China.

Key Laboratory of Preventive Veterinary Medicine in Hubei Province, the Cooperative Innovation Center for Sustainable Pig Production, Wuhan, China.

出版信息

Autophagy. 2024 Jul;20(7):1577-1596. doi: 10.1080/15548627.2024.2330043. Epub 2024 Apr 21.

Abstract

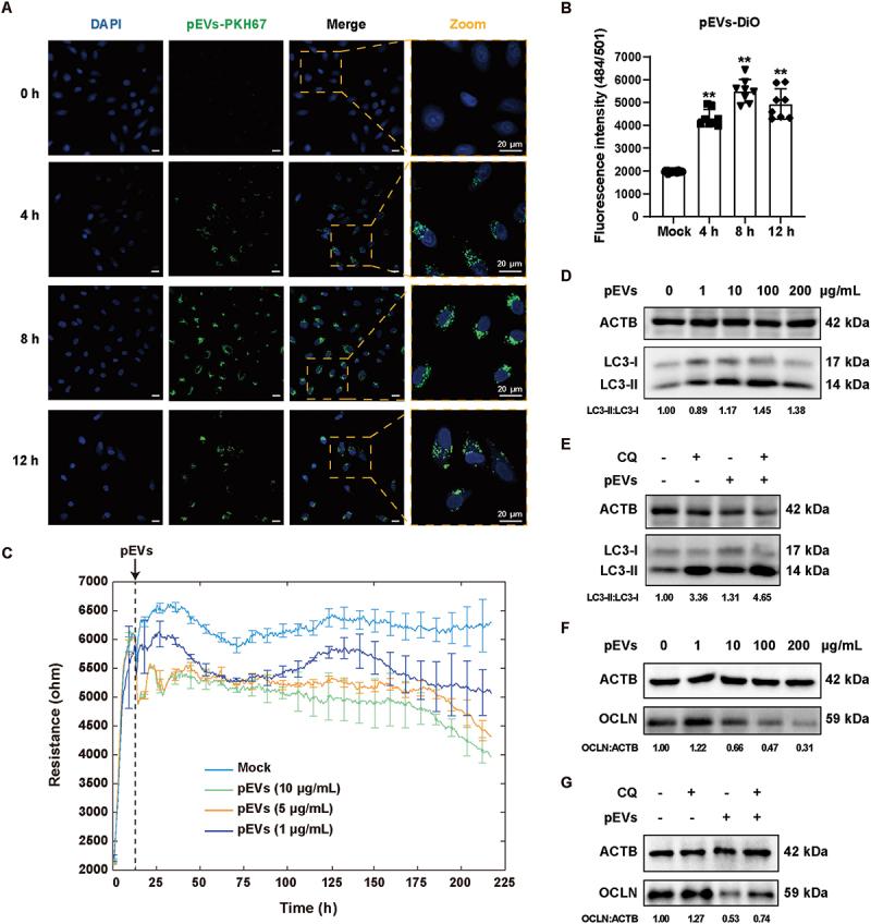
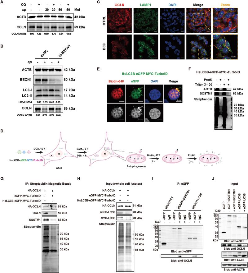
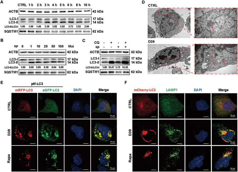
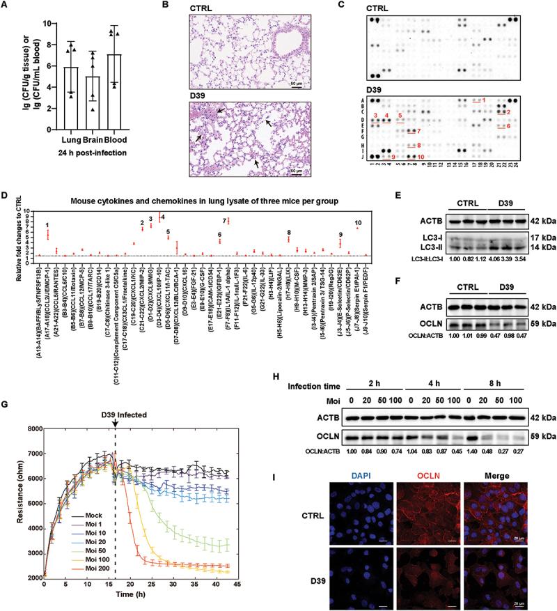
() represents a major human bacterial pathogen leading to high morbidity and mortality in children and the elderly. Recent research emphasizes the role of extracellular vesicles (EVs) in bacterial pathogenicity. However, the contribution of EVs (pEVs) to host-microbe interactions has remained unclear. Here, we observed that infections in mice led to severe lung injuries and alveolar epithelial barrier (AEB) dysfunction. Infections of reduced the protein expression of tight junction protein OCLN (occludin) and activated macroautophagy/autophagy in lung tissues of mice and A549 cells. Mechanically, induced autophagosomal degradation of OCLN leading to AEB impairment in the A549 monolayer. released the pEVs that could be internalized by alveolar epithelial cells. Through proteomics, we profiled the cargo proteins inside pEVs and found that these pEVs contained many virulence factors, among which we identified a eukaryotic-like serine-threonine kinase protein StkP. The internalized StkP could induce the phosphorylation of BECN1 (beclin 1) at Ser93 and Ser96 sites, initiating autophagy and resulting in autophagy-dependent OCLN degradation and AEB dysfunction. Finally, the deletion of in completely protected infected mice from death, significantly alleviated OCLN degradation , and largely abolished the AEB disruption caused by pEVs . Overall, our results suggested that pEVs played a crucial role in the spread of virulence factors. The cargo protein StkP in pEVs could communicate with host target proteins and even hijack the BECN1 autophagy initiation pathway, contributing to AEB disruption and bacterial pathogenicity.: AEB: alveolarepithelial barrier; AECs: alveolar epithelial cells; ATG16L1: autophagy related 16 like 1; ATP:adenosine 5'-triphosphate; BafA: bafilomycin A; BBB: blood-brain barrier; CFU: colony-forming unit; co-IP: co-immunoprecipitation; CQ:chloroquine; CTRL: control; DiO: 3,3'-dioctadecylox-acarbocyanineperchlorate; DOX: doxycycline; DTT: dithiothreitol; ECIS: electricalcell-substrate impedance sensing; eGFP: enhanced green fluorescentprotein; erm: erythromycin-resistance expression cassette; Ery: erythromycin; eSTKs: eukaryotic-like serine-threoninekinases; EVs: extracellular vesicles; HA: hemagglutinin; H&E: hematoxylin and eosin; HsLC3B: human LC3B; hpi: hours post-infection; IP: immunoprecipitation; KD: knockdown; KO: knockout; LAMP1: lysosomal associated membrane protein 1; LC/MS: liquid chromatography-mass spectrometry; MAP1LC3/LC3: microtubule associated protein 1 light chain 3; MVs: membranevesicles; NC:negative control; NETs:neutrophil extracellular traps; OD: optical density; OMVs: outer membrane vesicles; PBS: phosphate-buffered saline; pEVs: extracellular vesicles; protK: proteinase K; Rapa: rapamycin; RNAi: RNA interference; ; SNF:supernatant fluid; sgRNA: single guide RNA; ; TEER: trans-epithelium electrical resistance; moi: multiplicity ofinfection; TEM:transmission electron microscope; TJproteins: tight junction proteins; TJP1/ZO-1: tight junction protein1; TSA: tryptic soy agar; WB: western blot; WT: wild-type.

摘要

() 是一种主要的人类细菌病原体,可导致儿童和老年人发病率和死亡率高。最近的研究强调了细胞外囊泡 (EVs) 在细菌致病性中的作用。然而,EVs (pEVs) 对宿主-微生物相互作用的贡献仍不清楚。在这里,我们观察到 感染小鼠导致严重的肺损伤和肺泡上皮屏障 (AEB) 功能障碍。感染 减少了小鼠肺组织和 A549 细胞中紧密连接蛋白 OCLN (occludin) 的蛋白表达,并激活了巨自噬/自噬。在机制上, 诱导 OCLN 的自噬体降解,导致 A549 单层中的 AEB 损伤。 释放的 pEVs 可以被肺泡上皮细胞内化。通过蛋白质组学,我们对 pEVs 内的货物蛋白进行了分析,发现这些 pEVs 包含许多毒力因子,其中我们鉴定出一种真核样丝氨酸-苏氨酸激酶蛋白 StkP。内化的 StkP 可以诱导 BECN1 (beclin 1) 在 Ser93 和 Ser96 位点的磷酸化,启动自噬,并导致自噬依赖性 OCLN 降解和 AEB 功能障碍。最后, 在 中缺失完全保护感染的小鼠免于死亡,显著减轻 OCLN 降解 ,并在很大程度上消除了由 pEVs 引起的 AEB 破坏 。总之,我们的结果表明 pEVs 在 毒力因子的传播中起关键作用。pEVs 中的货物蛋白 StkP 可以与宿主靶蛋白相互作用,甚至劫持 BECN1 自噬起始途径,导致 AEB 破坏和细菌致病性。: AEB: 肺泡上皮屏障; AECs: 肺泡上皮细胞; ATG16L1: 自噬相关 16 样 1; ATP: 腺苷 5'-三磷酸; BafA: 巴弗霉素 A; BBB: 血脑屏障; CFU: 集落形成单位; co-IP: 共免疫沉淀; CQ: 氯喹; CTRL: 对照; DiO: 3,3'-二辛基氧杂羰氰戊酸过氯酸盐; DOX: 强力霉素; DTT: 二硫苏糖醇; ECIS: 电细胞-基底阻抗传感; eGFP: 增强型绿色荧光蛋白; erm: 红霉素抗性表达盒; Ery: 红霉素; eSTKs: 真核样丝氨酸-苏氨酸激酶; EVs: 细胞外囊泡; HA: 血凝素; H&E: 苏木精和伊红; HsLC3B: 人 LC3B; hpi: 感染后小时; IP: 免疫沉淀; KD: 敲低; KO: 敲除; LAMP1: 溶酶体相关膜蛋白 1; LC/MS: 液相色谱-质谱; MAP1LC3/LC3: 微管相关蛋白 1 轻链 3; MVs: 膜泡; NC: 阴性对照; NETs: 中性粒细胞细胞外陷阱; OD: 光密度; OMVs: 外膜囊泡; PBS: 磷酸盐缓冲盐水; pEVs: 细胞外囊泡; protK: 蛋白酶 K; Rapa: 雷帕霉素; RNAi: RNA 干扰; ; SNF: 上清液; sgRNA: 单指导 RNA; ; TEER: 跨上皮电阻; moi: 感染复数; TEM: 透射电子显微镜; TJproteins: 紧密连接蛋白; TJP1/ZO-1: 紧密连接蛋白 1; TSA: 大豆胰蛋白酶; WB: 蛋白质印迹; WT: 野生型。

https://cdn.ncbi.nlm.nih.gov/pmc/blobs/f13a/11210924/c640df0386c4/KAUP_A_2330043_F0001_C.jpg

文献AI研究员

20分钟写一篇综述,助力文献阅读效率提升50倍。

立即体验

用中文搜PubMed

大模型驱动的PubMed中文搜索引擎

马上搜索

文档翻译

学术文献翻译模型,支持多种主流文档格式。

立即体验