Suppr超能文献

MUC1-HIF-1α 信号轴通过多胺代谢重塑调节胰腺癌发病机制。

The MUC1-HIF-1α signaling axis regulates pancreatic cancer pathogenesis through polyamine metabolism remodeling.

机构信息

Eppley Institute for Research in Cancer and Allied Diseases, University of Nebraska Medical Center, Omaha, NE 68198-5950.

Department of Oncology Science, University of Oklahoma Health Sciences Center, Oklahoma City, OK 73104.

出版信息

Proc Natl Acad Sci U S A. 2024 Apr 2;121(14):e2315509121. doi: 10.1073/pnas.2315509121. Epub 2024 Mar 28.

Abstract

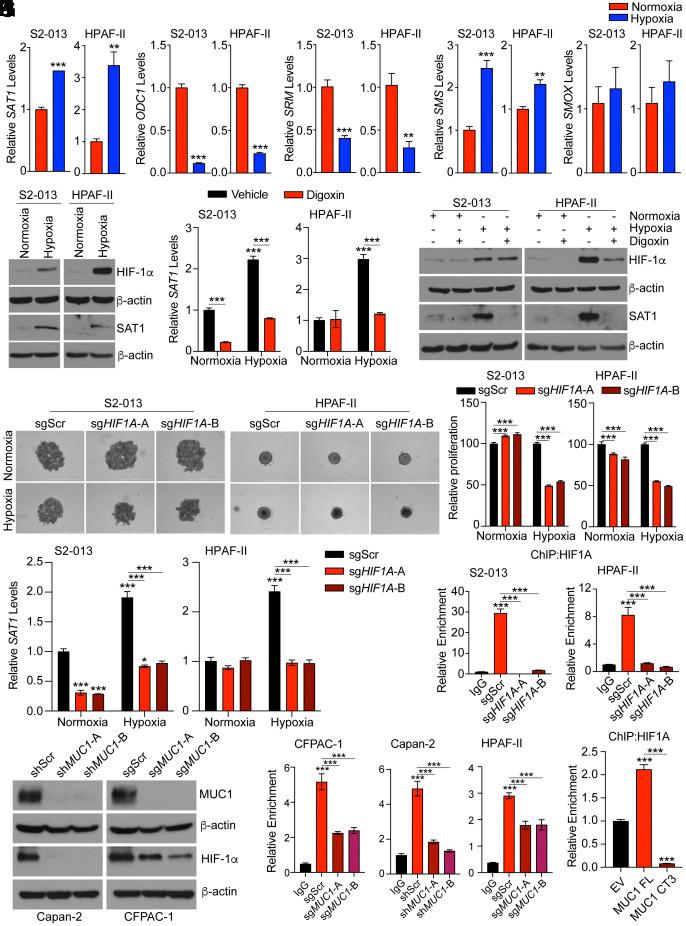
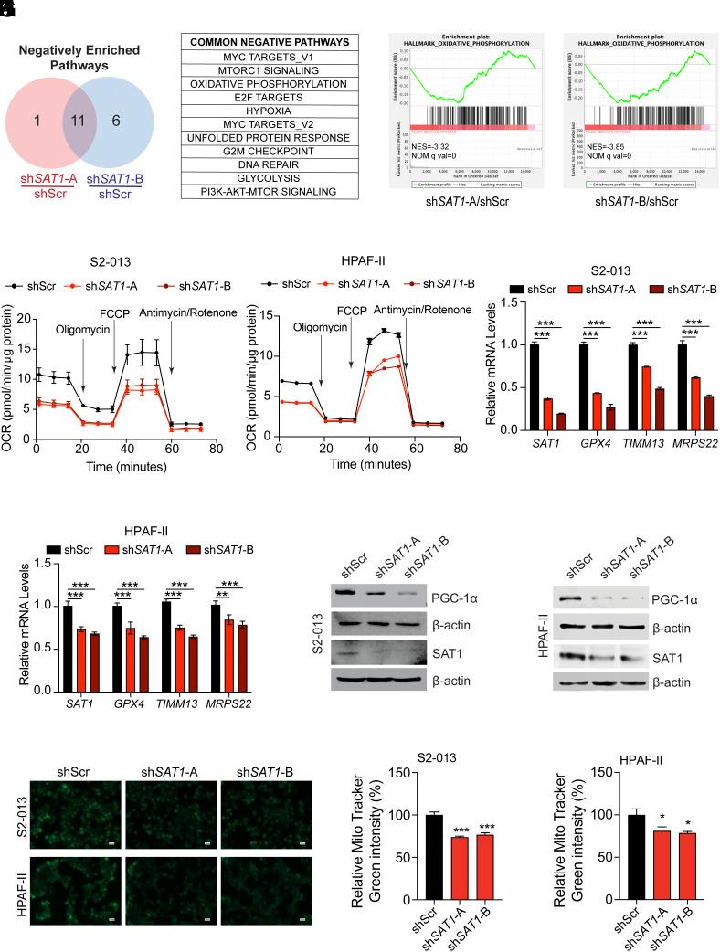
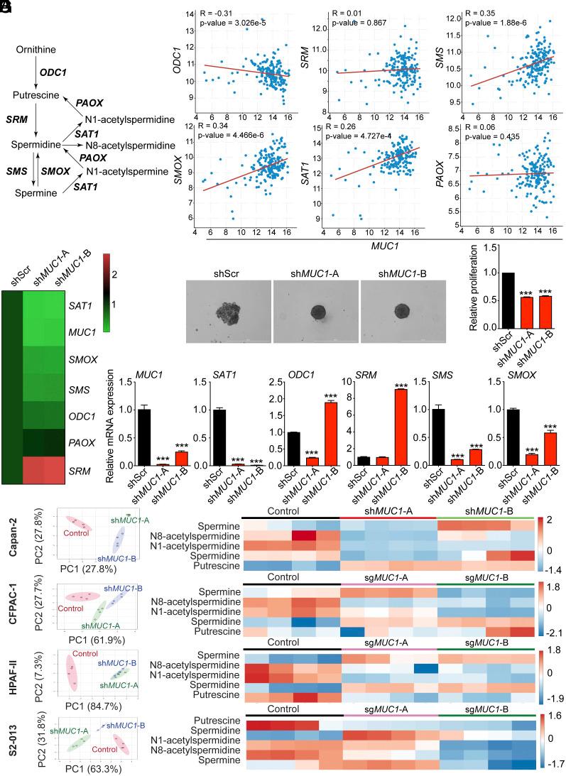
Dysregulation of polyamine metabolism has been implicated in cancer initiation and progression; however, the mechanism of polyamine dysregulation in cancer is not fully understood. In this study, we investigated the role of MUC1, a mucin protein overexpressed in pancreatic cancer, in regulating polyamine metabolism. Utilizing pancreatic cancer patient data, we noted a positive correlation between MUC1 expression and the expression of key polyamine metabolism pathway genes. Functional studies revealed that knockdown of spermidine/spermine N1-acetyltransferase 1 (), a key enzyme involved in polyamine catabolism, attenuated the oncogenic functions of MUC1, including cell survival and proliferation. We further identified a regulatory axis whereby MUC1 stabilized hypoxia-inducible factor (HIF-1α), leading to increased SAT1 expression, which in turn induced carbon flux into the tricarboxylic acid cycle. MUC1-mediated stabilization of HIF-1α enhanced the promoter occupancy of the latter on promoter and corresponding transcriptional activation of , which could be abrogated by pharmacological inhibition of HIF-1α or CRISPR/Cas9-mediated knockout of . knockdown caused a significant reduction in the levels of SAT1-generated metabolites, N1-acetylspermidine and N8-acetylspermidine. Given the known role of MUC1 in therapy resistance, we also investigated whether inhibiting SAT1 would enhance the efficacy of FOLFIRINOX chemotherapy. By utilizing organoid and orthotopic pancreatic cancer mouse models, we observed that targeting SAT1 with pentamidine improved the efficacy of FOLFIRINOX, suggesting that the combination may represent a promising therapeutic strategy against pancreatic cancer. This study provides insights into the interplay between MUC1 and polyamine metabolism, offering potential avenues for the development of treatments against pancreatic cancer.

摘要

多胺代谢失调与癌症的发生和发展有关;然而,多胺失调在癌症中的机制尚未完全阐明。在这项研究中,我们研究了黏蛋白 1(MUC1)在调节多胺代谢中的作用,MUC1 是一种在胰腺癌中过度表达的黏蛋白。利用胰腺癌患者的数据,我们注意到 MUC1 表达与关键多胺代谢途径基因的表达呈正相关。功能研究表明,下调多胺分解代谢中的关键酶精脒/精胺 N1-乙酰转移酶 1(),减弱了 MUC1 的致癌功能,包括细胞存活和增殖。我们进一步确定了一个调节轴,其中 MUC1 稳定缺氧诱导因子 1α(HIF-1α),导致 SAT1 表达增加,进而诱导碳通量进入三羧酸循环。MUC1 介导的 HIF-1α 稳定增强了后者在启动子上的结合位点,并相应地激活了,这可以通过药理学抑制 HIF-1α 或 CRISPR/Cas9 介导的敲除来阻断。 敲低导致 SAT1 生成的代谢物 N1-乙酰精脒和 N8-乙酰精脒的水平显著降低。鉴于 MUC1 已知在治疗耐药性中的作用,我们还研究了抑制 SAT1 是否会增强 FOLFIRINOX 化疗的疗效。通过利用类器官和原位胰腺癌小鼠模型,我们观察到用戊二脒靶向 SAT1 可提高 FOLFIRINOX 的疗效,表明联合治疗可能是一种有前途的治疗胰腺癌的策略。这项研究深入了解了 MUC1 与多胺代谢之间的相互作用,为开发针对胰腺癌的治疗方法提供了潜在途径。

https://cdn.ncbi.nlm.nih.gov/pmc/blobs/dc9f/10998584/50c219b6bcdc/pnas.2315509121fig01.jpg

文献AI研究员

20分钟写一篇综述,助力文献阅读效率提升50倍。

立即体验

用中文搜PubMed

大模型驱动的PubMed中文搜索引擎

马上搜索

文档翻译

学术文献翻译模型,支持多种主流文档格式。

立即体验