Suppr超能文献

Mex-3 RNA 结合家族成员 A(MEX3A)/circMPP6 复合物通过抑制自噬促进结直肠癌的进展。

Mex-3 RNA binding family member A (MEX3A)/circMPP6 complex promotes colorectal cancer progression by inhibiting autophagy.

机构信息

Department of Thoracic Surgery, Guangdong Provincial People's Hospital (Guangdong Academy of Medical Sciences), Southern Medical University, Guangzhou, 510080, China.

State Key Laboratory of Oncology in South China, Guangdong Provincial Clinical Research Center for Cancer, Sun Yat-sen University Cancer Center, Guangzhou, 510060, China.

出版信息

Signal Transduct Target Ther. 2024 Apr 2;9(1):80. doi: 10.1038/s41392-024-01787-3.

Abstract

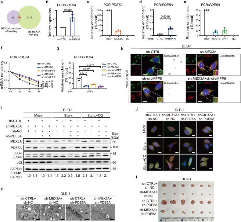
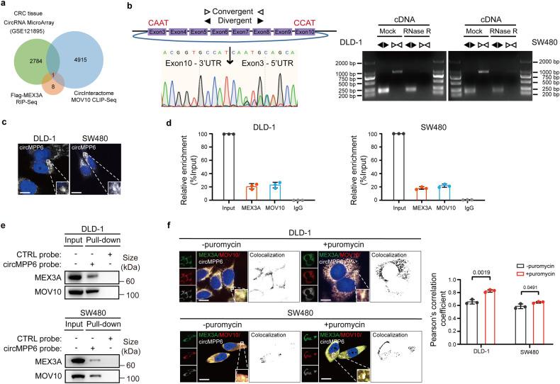
RNA-binding proteins (RBPs)-RNA networks have contributed to cancer development. Circular RNAs (circRNAs) are considered as protein recruiters; nevertheless, the patterns of circRNA-protein interactions in colorectal cancer (CRC) are still lacking. Processing bodies (PBs) formed through liquid-liquid phase separation (LLPS) are membrane-less organelles (MLOs) consisting of RBPs and RNA. Previous evidence suggests a connection between PBs dynamics and cancer progression. Despite the increasingly acknowledged crucial role of RBPs and RNA in the accumulation and maintenance of MLOs, there remains a lack of specific research on the interactions between PBs-related RBPs and circRNAs in CRC. Herein, we identify that MEX-3 RNA binding family member A (MEX3A), frequently upregulated in CRC tissues, predicts poorer patient survival. Elevated MEX3A accelerates malignance and inhibits autophagy of CRC cells. Importantly, MEX3A undergoes intrinsically disordered regions (IDRs)-dependent LLPS in the cytoplasm. Specifically, circMPP6 acts as a scaffold to facilitate the interaction between MEX3A and PBs proteins. The MEX3A/circMPP6 complex modulates PBs dynamic and promotes UPF-mediated phosphodiesterase 5A (PDE5A) mRNA degradation, consequently leading to the aggressive properties of CRC cells. Clinically, CRC patients exhibiting high MEX3A expression and low PDE5A expression have the poorest overall survival. Our findings reveal a collaboration between MEX3A and circMPP6 in the regulation of mRNA decay through triggering the PBs aggregation, which provides prognostic markers and/or therapeutic targets for CRC.

摘要

RNA 结合蛋白 (RBPs)-RNA 网络促进了癌症的发展。环状 RNA (circRNA) 被认为是蛋白质招募者;然而,结直肠癌 (CRC) 中 circRNA-蛋白质相互作用的模式仍不清楚。通过液-液相分离 (LLPS) 形成的处理体 (PBs) 是由 RBPs 和 RNA 组成的无膜细胞器 (MLO)。先前的证据表明 PBs 动力学与癌症进展之间存在联系。尽管越来越多的证据表明 RBPs 和 RNA 在 MLO 的积累和维持中起着至关重要的作用,但对于 PBs 相关 RBPs 和 circRNA 之间在 CRC 中的相互作用仍缺乏具体的研究。在这里,我们发现 MEX-3 RNA 结合家族成员 A (MEX3A) 在 CRC 组织中频繁上调,预测患者生存较差。升高的 MEX3A 加速了 CRC 细胞的恶性转化并抑制了自噬。重要的是,MEX3A 在细胞质中经历固有无序区域 (IDR) 依赖性 LLPS。具体而言,circMPP6 作为支架促进 MEX3A 和 PBs 蛋白之间的相互作用。MEX3A/circMPP6 复合物调节 PBs 动态并促进 UPF 介导的磷酸二酯酶 5A (PDE5A) mRNA 降解,从而导致 CRC 细胞的侵袭特性。临床上,表现出高 MEX3A 表达和低 PDE5A 表达的 CRC 患者总体生存最差。我们的研究结果揭示了 MEX3A 和 circMPP6 之间通过触发 PBs 聚集在调节 mRNA 降解方面的协作,为 CRC 提供了预后标志物和/或治疗靶点。

https://cdn.ncbi.nlm.nih.gov/pmc/blobs/e520/10987644/5ee31a5d137a/41392_2024_1787_Fig1_HTML.jpg

文献AI研究员

20分钟写一篇综述,助力文献阅读效率提升50倍。

立即体验

用中文搜PubMed

大模型驱动的PubMed中文搜索引擎

马上搜索

文档翻译

学术文献翻译模型,支持多种主流文档格式。

立即体验