Suppr超能文献

椰仁提取物对致癌物诱导的皮肤癌模型的影响:氧化应激、C-MYC原癌基因与肿瘤形成。

Impact of coconut kernel extract on carcinogen-induced skin cancer model: Oxidative stress, C-MYC proto-oncogene and tumor formation.

作者信息

Sandhya Sorra, Talukdar Joyeeta, Gogoi Gayatri, Dey Kumar Saurav, Das Bikul, Baishya Debabrat

机构信息

Department of Bioengineering and Technology, Gauhati University, Guwahati, Assam, India.

Department of Cancer and Stem Cell Biology, KaviKrishna Laboratory, Indian Institute of Technology-Guwahati Research Park, Assam, India.

出版信息

Heliyon. 2024 Apr 16;10(8):e29385. doi: 10.1016/j.heliyon.2024.e29385. eCollection 2024 Apr 30.

Abstract

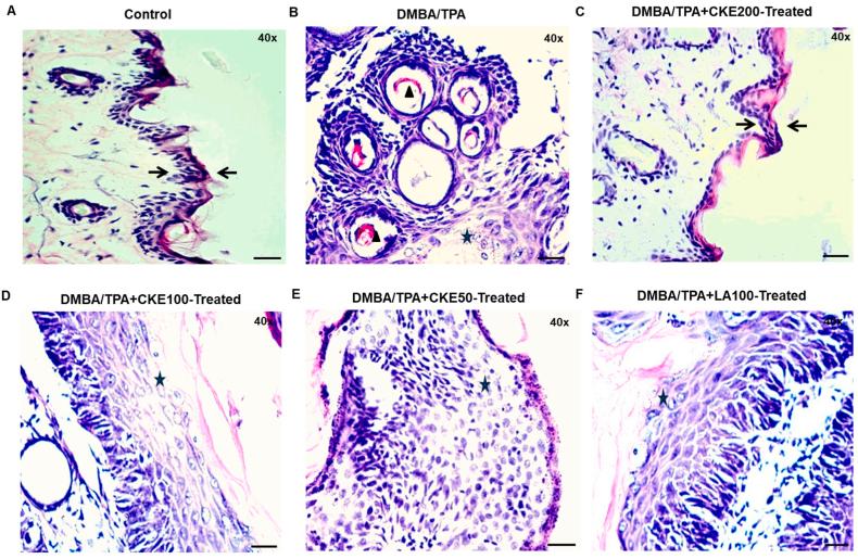
This study aimed at analysing the effects of coconut ( L.) kernel extract (CKE) on oxidative stress, C-MYC proto-oncogene, and tumour formation in a skin cancer model. Tumorigenesis was induced by dimethylbenz[a]anthracene (DMBA)/12--tetradecanoylphorbol-13-acetate (TPA). In vitro antioxidant activity of CKE was assessed using 2, 2-diphenyl-1-picrylhydrazyl (DPPH), hydrogen peroxide (HO), total phenolic and flavonoid content assays. CKE showed a higher antioxidant activity then ascorbic acid (*P < 0.05, ****P < 0.0001). HPLC and NMR study of the CKE revealed the presence of lauric acid (LA). Following the characterization of CKE, mice were randomly assigned to receive DMBA/TPA Induction and CKE treatment at different doses (50, 100, and 200 mg/kg) of body weight. LA 100 mg/kg of body weight used as standard. Significantly, the CKE200 and control groups' mice did not develop tumors; however, the CKE100 and CKE50 treated groups did develop tumors less frequently than the DMBA/TPA-treated mice. Histopathological analysis revealed that the epidermal layer in DMBA-induced mice was thicker and had squamous pearls along with a hyperplasia/dysplasia lesion, indicating skin squamous cell carcinoma (SCC), whereas the epidermal layers in CKE200-treated and control mice were normal. Additionally, the CKE treatment demonstrated a significant stimulatory effect on the activities of reactive oxygen species (ROS), glutathione (GSH), catalase (CAT), and superoxide dismutase (SOD), as well as an inhibitory effect on lipid peroxidase (*P < 0.05, **P < 0.01, ***P < 0.001, ****P < 0.0001) and c-MYC protein expression (*P < 0.05, **P < 0.01, ***P < 0.001, ****P < 0.0001). In conclusion, CKE prevents the growth of tumors on mouse skin by reducing oxidative stress and suppressing c-MYC overexpression brought on by DMBA/TPA induction. This makes it an effective dietary antioxidant with anti-tumor properties.

摘要

本研究旨在分析椰子(L.)果仁提取物(CKE)对皮肤癌模型中氧化应激、C-MYC原癌基因和肿瘤形成的影响。通过二甲基苯并[a]蒽(DMBA)/12-十四酰佛波醇-13-乙酸酯(TPA)诱导肿瘤发生。使用2,2-二苯基-1-苦基肼(DPPH)、过氧化氢(HO)、总酚和黄酮含量测定法评估CKE的体外抗氧化活性。CKE显示出比抗坏血酸更高的抗氧化活性(*P < 0.05,****P < 0.0001)。对CKE的高效液相色谱和核磁共振研究揭示了月桂酸(LA)的存在。在对CKE进行表征后,将小鼠随机分配接受不同剂量(50、100和200 mg/kg)体重的DMBA/TPA诱导和CKE处理。以100 mg/kg体重的LA作为标准。值得注意的是,CKE200组和对照组的小鼠未发生肿瘤;然而,CKE100和CKE50处理组发生肿瘤的频率低于DMBA/TPA处理的小鼠。组织病理学分析显示,DMBA诱导的小鼠表皮层更厚,有鳞状珠以及增生/发育异常病变,表明为皮肤鳞状细胞癌(SCC),而CKE200处理的小鼠和对照小鼠的表皮层正常。此外,CKE处理对活性氧(ROS)、谷胱甘肽(GSH)、过氧化氢酶(CAT)和超氧化物歧化酶(SOD)的活性具有显著的刺激作用,对脂质过氧化具有抑制作用(*P < 0.05,**P < 0.01,***P < 0.001,****P < 0.0001),对c-MYC蛋白表达也有抑制作用(*P < 0.05,**P < 0.01,***P < 0.001,****P < 0.0001)。总之,CKE通过降低氧化应激和抑制DMBA/TPA诱导引起的c-MYC过表达来预防小鼠皮肤肿瘤的生长。这使其成为一种具有抗肿瘤特性的有效膳食抗氧化剂。

https://cdn.ncbi.nlm.nih.gov/pmc/blobs/7504/11043960/d0bbdc595caf/gr1.jpg

文献AI研究员

20分钟写一篇综述,助力文献阅读效率提升50倍。

立即体验

用中文搜PubMed

大模型驱动的PubMed中文搜索引擎

马上搜索

文档翻译

学术文献翻译模型,支持多种主流文档格式。

立即体验