Suppr超能文献

一种可及的、基于二氧化碳的冷冻治疗系统的热特性及临床前可行性验证

Thermal Characterization and Preclinical Feasibility Verification of an Accessible, Carbon Dioxide-Based Cryotherapy System.

作者信息

Hu Yixin, Gordon Naomi, Ogg Katherine, Kraitchman Dara L, Durr Nicholas J, Surtees Bailey

机构信息

Kubanda Cryotherapy, Inc., Baltimore, MD 21211, USA.

Department of Radiology and Radiological Science, Johns Hopkins University, Baltimore, MD 21205, USA.

出版信息

Bioengineering (Basel). 2024 Apr 18;11(4):391. doi: 10.3390/bioengineering11040391.

Abstract

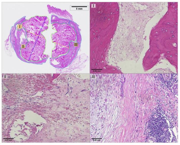
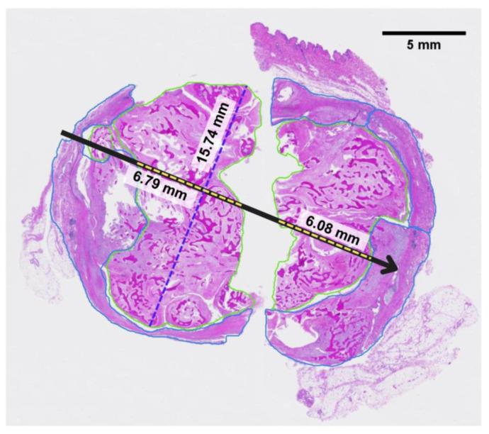
To investigate the potential of an affordable cryotherapy device for the accessible treatment of breast cancer, the performance of a novel carbon dioxide-based device was evaluated through both benchtop testing and an in vivo canine model. This novel device was quantitatively compared to a commercial device that utilizes argon gas as the cryogen. The thermal behavior of each device was characterized through calorimetry and by measuring the temperature profiles of iceballs generated in tissue phantoms. A 45 min treatment in a tissue phantom from the carbon dioxide device produced a 1.67 ± 0.06 cm diameter lethal isotherm that was equivalent to a 7 min treatment from the commercial argon-based device, which produced a 1.53 ± 0.15 cm diameter lethal isotherm. An in vivo treatment was performed with the carbon dioxide-based device in one spontaneously occurring canine mammary mass with two standard 10 min freezes. Following cryotherapy, this mass was surgically resected and analyzed for necrosis margins via histopathology. The histopathology margin of necrosis from the in vivo treatment with the carbon dioxide device at 14 days post-cryoablation was 1.57 cm. While carbon dioxide gas has historically been considered an impractical cryogen due to its low working pressure and high boiling point, this study shows that carbon dioxide-based cryotherapy may be equivalent to conventional argon-based cryotherapy in size of the ablation zone in a standard treatment time. The feasibility of the carbon dioxide device demonstrated in this study is an important step towards bringing accessible breast cancer treatment to women in low-resource settings.

摘要

为了研究一种价格亲民的冷冻治疗设备用于乳腺癌可及治疗的潜力,通过台式测试和体内犬类模型评估了一种新型二氧化碳基设备的性能。将这种新型设备与一种使用氩气作为制冷剂的商用设备进行了定量比较。通过量热法以及测量组织模型中产生的冰球的温度分布来表征每种设备的热行为。二氧化碳设备在组织模型中进行45分钟的治疗产生了直径为1.67±0.06厘米的致死等温线,这相当于商用氩基设备7分钟治疗产生的直径为1.53±0.15厘米的致死等温线。使用二氧化碳基设备对一只自发出现的犬乳腺肿块进行了两次标准的10分钟冷冻的体内治疗。冷冻治疗后,手术切除该肿块并通过组织病理学分析坏死边缘。冷冻消融后14天,二氧化碳设备体内治疗的坏死组织病理学边缘为1.57厘米。虽然二氧化碳气体由于其低工作压力和高沸点,历来被认为是一种不实用的制冷剂,但这项研究表明,在标准治疗时间内,基于二氧化碳的冷冻治疗在消融区大小方面可能等同于传统的基于氩气的冷冻治疗。本研究中证明的二氧化碳设备的可行性是朝着为资源匮乏地区的女性提供可及乳腺癌治疗迈出的重要一步。

https://cdn.ncbi.nlm.nih.gov/pmc/blobs/da7f/11048087/e0605230e653/bioengineering-11-00391-g001.jpg

文献AI研究员

20分钟写一篇综述,助力文献阅读效率提升50倍。

立即体验

用中文搜PubMed

大模型驱动的PubMed中文搜索引擎

马上搜索

文档翻译

学术文献翻译模型,支持多种主流文档格式。

立即体验