Suppr超能文献

黄芩苷通过抑制LuxS/AI-2群体感应系统减弱猪源肠外致病性大肠杆菌的毒力。

Baicalin Weakens the Virulence of Porcine Extraintestinal Pathogenic by Inhibiting the LuxS/AI-2 Quorum-Sensing System.

作者信息

Zong Bingbing, Xiao Yong, Wang Peiyi, Liu Wei, Ren Mingxing, Li Changyan, Fu Shulin, Zhang Yanyan, Qiu Yinsheng

机构信息

Hubei Key Laboratory of Animal Nutrition and Feed Science, Wuhan Polytechnic University, Wuhan 430023, China.

Engineering Research Center of Feed Protein Resources on Agricultural By-Products, Ministry of Education, Wuhan Polytechnic University, Wuhan 400023, China.

出版信息

Biomolecules. 2024 Apr 8;14(4):452. doi: 10.3390/biom14040452.

Abstract

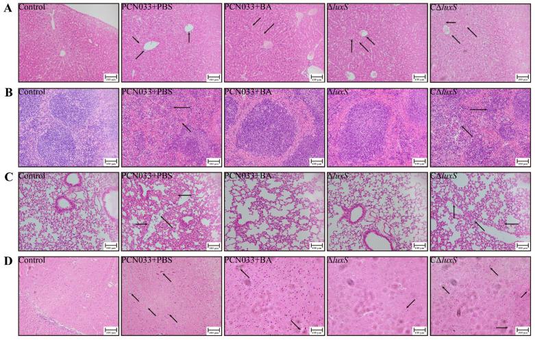
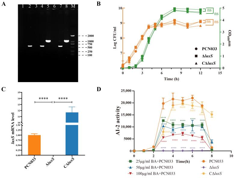
Porcine extraintestinal pathogenic (ExPEC) is a pathogenic bacterium that causes huge economic losses to the pig farming industry and considerably threatens human health. The quorum sensing (QS) system plays a crucial role in the survival and pathogenesis of pathogenic bacteria. Hence, it is a viable approach to prevent ExPEC infection by compromising the QS system, particularly the LuxS/AI-2 system. In this study, we investigated the effects of baicalin on the LuxS/AI-2 system of ExPEC. Baicalin at concentrations of 25, 50, and 100 μg/mL significantly diminished the survival ability of ExPEC in hostile environments and could inhibit the biofilm formation and autoagglutination ability in ExPEC. Moreover, baicalin dose-dependently decreased the production of AI-2 and down-regulated the expression level of in PCN033. These results suggest that baicalin can weaken the virulence of PCN033 by inhibiting the LuxS/AI-2 system. After the gene was deleted, AI-2 production in PCN033 was almost completely eliminated, similar to the effect of baicalin on the production of AI-2 in PCN033. This indicates that baicalin reduced the production of AI-2 by inhibiting the expression level of in ExPEC. In addition, the animal experiment further showed the potential of baicalin as a LuxS/AI-2 system inhibitor to prevent ExPEC infection. This study highlights the potential of baicalin as a natural quorum-sensing inhibitor for therapeutic applications in preventing ExPEC infection by targeting the LuxS/AI-2 system.

摘要

猪源肠外致病性大肠杆菌(ExPEC)是一种病原菌,给养猪业造成巨大经济损失,并对人类健康构成严重威胁。群体感应(QS)系统在病原菌的生存和致病过程中起着关键作用。因此,通过破坏QS系统,特别是LuxS/AI-2系统来预防ExPEC感染是一种可行的方法。在本研究中,我们研究了黄芩苷对ExPEC的LuxS/AI-2系统的影响。浓度为25、50和100μg/mL的黄芩苷显著降低了ExPEC在恶劣环境中的生存能力,并能抑制ExPEC的生物膜形成和自凝集能力。此外,黄芩苷剂量依赖性地降低了AI-2的产生,并下调了PCN033中[此处原文缺失相关基因名称]的表达水平。这些结果表明,黄芩苷可以通过抑制LuxS/AI-2系统来削弱PCN033的毒力。[此处原文缺失相关基因名称]基因缺失后,PCN033中AI-2的产生几乎完全消除,类似于黄芩苷对PCN033中AI-2产生的影响。这表明黄芩苷通过抑制ExPEC中[此处原文缺失相关基因名称]的表达水平来降低AI-2的产生。此外,动物实验进一步表明黄芩苷作为LuxS/AI-2系统抑制剂预防ExPEC感染的潜力。本研究突出了黄芩苷作为一种天然群体感应抑制剂,通过靶向LuxS/AI-2系统在预防ExPEC感染的治疗应用中的潜力。

https://cdn.ncbi.nlm.nih.gov/pmc/blobs/30ca/11047829/d185d0b13a57/biomolecules-14-00452-g001.jpg

文献AI研究员

20分钟写一篇综述,助力文献阅读效率提升50倍。

立即体验

用中文搜PubMed

大模型驱动的PubMed中文搜索引擎

马上搜索

文档翻译

学术文献翻译模型,支持多种主流文档格式。

立即体验