Suppr超能文献

探索新前沿:细胞表面波形蛋白作为循环肿瘤细胞的新兴标志物和晚期胃癌有前途的治疗靶点。

Exploring new frontiers: cell surface vimentin as an emerging marker for circulating tumor cells and a promising therapeutic target in advanced gastric Cancer.

机构信息

Department of Medical Oncology, The First Hospital of China Medical University, No.155 Nanjingbei Road, Shenyang, Liaoning, 110001, People's Republic of China.

Department of Oncology, Affiliated Zhongshan Hospital of Dalian University, Dalian, China.

出版信息

J Exp Clin Cancer Res. 2024 Apr 30;43(1):129. doi: 10.1186/s13046-024-03043-6.

Abstract

BACKGROUND

Circulating tumor cells (CTCs) hold immense promise in guiding treatment strategies for advanced gastric cancer (GC). However, their clinical impact has been limited due to challenges in identifying epithelial-mesenchymal transition (EMT)-CTCs using conventional methods.

METHODS

To bridge this knowledge gap, we established a detection platform for CTCs based on the distinctive biomarker cell surface vimentin (CSV). A prospective study involving 127 GC patients was conducted, comparing CTCs enumeration using both EpCAM and CSV. This approach enabled the detection of both regular and EMT-CTCs, providing a comprehensive analysis. Spiking assays and WES were employed to verify the reliability of this marker and technique. To explore the potential inducer of CSVCTCs formation, a combination of Tandem Mass Tag (TMT) quantitative proteomics, mA RNA immunoprecipitation-qPCR (MeRIP-qPCR), single-base elongation- and ligation-based qPCR amplification method (SELECT) and RNA sequencing (RNA-seq) were utilized to screen and confirm the potential target gene. Both in vitro and in vivo experiments were performed to explore the molecular mechanism of CSV expression regulation and its role in GC metastasis.

RESULTS

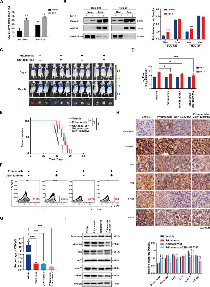
Our findings revealed the potential of CSV in predicting therapeutic responses and long-term prognosis for advanced GC patients. Additionally, compared to the conventional EpCAM-based CTCs detection method, the CSV-specific positive selection CTCs assay was significantly better for evaluating the therapeutic response and prognosis in advanced GC patients and successfully predicted disease progression 14.25 months earlier than radiology evaluation. Apart from its excellent role as a detection marker, CSV emerges as a promising therapeutic target for attenuating GC metastasis. It was found that fat mass and obesity associated protein (FTO) could act as a potential catalyst for CSVCTCs formation, and its impact on the insulin-like growth factor-I receptor (IGF-IR) mRNA decay through mA modification. The activation of IGF-I/IGF-IR signaling enhanced the translocation of vimentin from the cytoplasm to the cell surface through phosphorylation of vimentin at serine 39 (S39). In a GC mouse model, the simultaneous inhibition of CSV and blockade of the IGF-IR pathway yielded promising outcomes.

CONCLUSION

In summary, leveraging CSV as a universal CTCs marker represents a significant breakthrough in advancing personalized medicine for patients with advanced GC. This research not only paves the way for tailored therapeutic strategies but also underscores the pivotal role of CSV in enhancing GC management, opening new frontiers for precision medicine.

摘要

背景

循环肿瘤细胞(CTCs)在指导晚期胃癌(GC)的治疗策略方面具有巨大的潜力。然而,由于传统方法在识别上皮-间充质转化(EMT)-CTCs 方面存在挑战,其临床应用受到限制。

方法

为了弥补这一知识空白,我们建立了一种基于细胞表面波形蛋白(CSV)的独特生物标志物的 CTCs 检测平台。对 127 例 GC 患者进行了前瞻性研究,比较了使用 EpCAM 和 CSV 进行 CTC 计数的方法。这种方法能够同时检测常规和 EMT-CTCs,提供全面的分析。采用 Spike 检测和 WES 验证了该标志物和技术的可靠性。为了探索 CSVCTCs 形成的潜在诱导剂,采用串联质量标签(TMT)定量蛋白质组学、mRNA 免疫沉淀-qPCR(MeRIP-qPCR)、单碱基延伸和连接基于 qPCR 扩增方法(SELECT)和 RNA 测序(RNA-seq)筛选并确认潜在靶基因。进行了体外和体内实验以探讨 CSV 表达调控的分子机制及其在 GC 转移中的作用。

结果

我们的研究结果表明 CSV 在预测晚期 GC 患者的治疗反应和长期预后方面具有潜力。此外,与传统的基于 EpCAM 的 CTCs 检测方法相比,CSV 特异性阳性选择 CTCs 检测方法在评估晚期 GC 患者的治疗反应和预后方面明显更好,并成功预测疾病进展 14.25 个月早于影像学评估。除了作为检测标志物的出色表现外,CSV 作为一种有前途的治疗靶点,可用于减轻 GC 转移。研究发现,脂肪量和肥胖相关蛋白(FTO)可能是 CSVCTCs 形成的潜在催化剂,通过 mA 修饰影响胰岛素样生长因子-I 受体(IGF-IR)mRNA 衰减。IGF-I/IGF-IR 信号的激活通过丝氨酸 39(S39)上的磷酸化将波形蛋白从细胞质转移到细胞表面,从而增强了波形蛋白的易位。在 GC 小鼠模型中,同时抑制 CSV 和阻断 IGF-IR 通路取得了有希望的结果。

结论

总之,利用 CSV 作为通用 CTCs 标志物是推进晚期 GC 患者个体化医学的重大突破。本研究不仅为制定个体化治疗策略铺平了道路,而且强调了 CSV 在增强 GC 管理方面的关键作用,为精准医学开辟了新的领域。

https://cdn.ncbi.nlm.nih.gov/pmc/blobs/e618/11059585/3cffcee07cb6/13046_2024_3043_Fig1_HTML.jpg

文献AI研究员

20分钟写一篇综述,助力文献阅读效率提升50倍。

立即体验

用中文搜PubMed

大模型驱动的PubMed中文搜索引擎

马上搜索

文档翻译

学术文献翻译模型,支持多种主流文档格式。

立即体验