Suppr超能文献

原卟啉 IX 和短链脂肪酸通过调节葡萄糖代谢影响鸡骨骼肌肌纤维大小。

derived protoporphyrin IX and SCFAs regulate the fiber size via glucose metabolism in the skeletal muscle of chickens.

机构信息

National Key Laboratory of Agricultural Microbiology, Frontiers Science Center for Animal Breeding and Sustainable Production, Hubei Hongshan Laboratory, College of Animal Sciences and Technology, Huazhong Agricultural University, Wuhan, Hubei, China.

Shandong Teamgene Technology Co. Ltd., Zibo, Shandong, China.

出版信息

mSystems. 2024 Jun 18;9(6):e0021424. doi: 10.1128/msystems.00214-24. Epub 2024 May 23.

Abstract

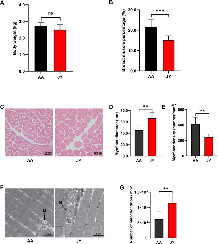
The gut microbiota contributes to skeletal muscle energy metabolism and is an indirect factor affecting meat quality. However, the role of specific gut microbes in energy metabolism and fiber size of skeletal muscle in chickens remains largely unknown. In this study, we first performed cecal microbiota transplantation from Chinese indigenous Jingyuan chickens (JY) to Arbor Acres chickens (AA), to determine the effects of microbiota on skeletal muscle fiber and energy metabolism. Then, we used metagenomics, gas chromatography, and metabolomics analysis to identify functional microbes. Finally, we validated the role of these functional microbes in regulating the fiber size via glucose metabolism in the skeletal muscle of chickens through feeding experiments. The results showed that the skeletal muscle characteristics of AA after microbiota transplantation tended to be consistent with that of JY, as the fiber diameter was significantly increased, and glucose metabolism level was significantly enhanced in the pectoralis muscle. , , and their mixture could increase the production of the microbial metabolites protoporphyrin IX and short-chain fatty acids, therefore increasing the expression levels of genes related to the oxidative fiber type ( and ), mitochondrial function ( and ), and glucose metabolism (, , , , and ), thereby increasing the fiber diameter and density. These three species could be promising probiotics to improve the meat quality of chicken.IMPORTANCEThis study revealed that the , and could enhance the production of protoporphyrin IX and short-chain fatty acids in the cecum of chickens, improving glucose metabolism, and finally cause the increase in fiber diameter and density of skeletal muscle. These three microbes could be potential probiotic candidates to regulate glucose metabolism in skeletal muscle to improve the meat quality of chicken in broiler production.

摘要

肠道微生物群有助于骨骼肌的能量代谢,是影响肉质的间接因素。然而,特定肠道微生物在鸡骨骼肌能量代谢和纤维大小中的作用在很大程度上尚不清楚。在这项研究中,我们首先从中国地方鸡种泾源鸡(JY)向爱拔益加肉鸡(AA)进行盲肠微生物群移植,以确定微生物群对骨骼肌纤维和能量代谢的影响。然后,我们使用宏基因组学、气相色谱和代谢组学分析来鉴定功能微生物。最后,我们通过鸡骨骼肌中的葡萄糖代谢喂养实验验证了这些功能微生物在调节纤维大小中的作用。结果表明,微生物群移植后 AA 的骨骼肌特征趋于与 JY 一致,因为胸肌的纤维直径显著增加,葡萄糖代谢水平显著增强。和他们的混合物可以增加微生物代谢物原卟啉 IX 和短链脂肪酸的产生,从而增加与氧化纤维型(和)、线粒体功能(和)和葡萄糖代谢(、、、、和)相关的基因表达水平,从而增加纤维直径和密度。这三种 可以成为有希望的益生菌,以改善鸡肉的肉质。

重要性
本研究表明,、和 可以增加鸡盲肠中原卟啉 IX 和短链脂肪酸的产生,改善葡萄糖代谢,最终导致骨骼肌纤维直径和密度增加。这三种微生物可以成为调节肉鸡生产中骨骼肌葡萄糖代谢以改善鸡肉肉质的潜在益生菌候选物。

https://cdn.ncbi.nlm.nih.gov/pmc/blobs/e6a6/11237663/56d7b50c1878/msystems.00214-24.f001.jpg

文献AI研究员

20分钟写一篇综述,助力文献阅读效率提升50倍。

立即体验

用中文搜PubMed

大模型驱动的PubMed中文搜索引擎

马上搜索

文档翻译

学术文献翻译模型,支持多种主流文档格式。

立即体验