Suppr超能文献

Janus 激酶抑制剂克服了 C57BL/6J 小鼠胃癌腹膜扩散对免疫检查点抑制剂治疗的耐药性。

Janus kinase inhibitor overcomes resistance to immune checkpoint inhibitor treatment in peritoneal dissemination of gastric cancer in C57BL/6 J mice.

机构信息

Department of Gastrointestinal Surgery, Graduate School of Medicine, The University of Tokyo, 7-3-1 Hongo, Bunkyo-Ku, Tokyo, 113-8655, Japan.

Department of Gastrointestinal Surgery, Nippon Medical School, Tokyo, Japan.

出版信息

Gastric Cancer. 2024 Sep;27(5):971-985. doi: 10.1007/s10120-024-01514-5. Epub 2024 May 28.

Abstract

BACKGROUND

Cancer immunotherapy aims to unleash the immune system's potential against cancer cells, providing sustained relief for tumors responsive to immune checkpoint inhibitors (ICIs). While promising in gastric cancer (GC) trials, the efficacy of ICIs diminishes in the context of peritoneal dissemination. Our objective is to identify strategies to enhance the impact of ICI treatment specifically for cases involving peritoneal dissemination in GC.

METHODS

The therapeutic efficacy of anti-PD1, CTLA4 treatment alone, or in combination was assessed using the YTN16 peritoneal dissemination tumor model. Peritoneum and peritoneal exudate cells were collected for subsequent analysis. Immunohistochemical staining, flow cytometry, and bulk RNA-sequence analyses were conducted to evaluate the tumor microenvironment (TME). A Janus kinase inhibitor (JAKi) was introduced based on the pathway analysis results.

RESULTS

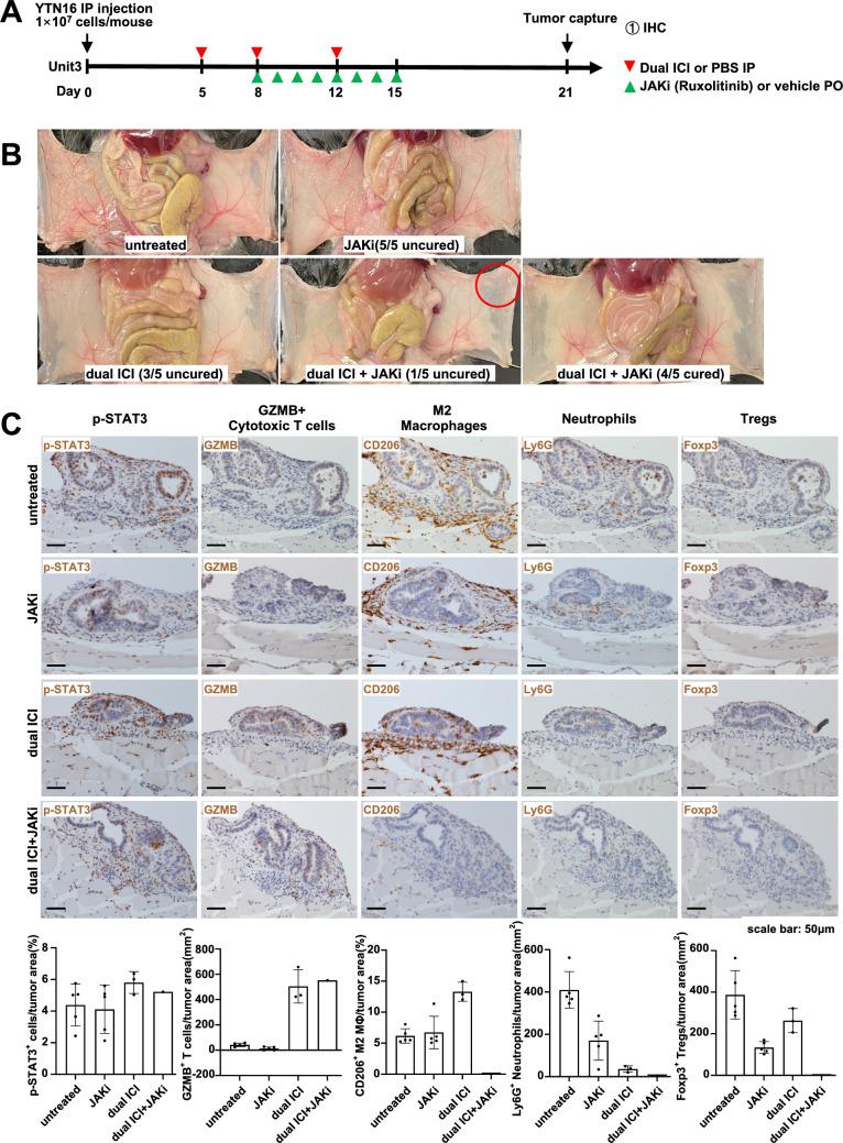
Anti-PD1 and anti-CTLA4 combination treatment (dual ICI treatment) demonstrated therapeutic efficacy in certain mice, primarily mediated by CD8 + T cells. However, in mice resistant to dual ICI treatment, even with CD8 + T cell infiltration, most of the T cells exhibited an exhaustion phenotype. Notably, resistant tumors displayed abnormal activation of the Janus Kinase-Signal Transducer and Activator of Transcription (JAK-STAT) pathway compared to the untreated group, with observed infiltration of macrophages, neutrophils, and Tregs in the TME. The concurrent administration of JAKi rescued CD8 + T cells function and reshaped the immunosuppressive TME, resulting in enhanced efficacy of the dual ICI treatment.

CONCLUSION

Dual ICI treatment exerts its anti-tumor effects by increasing tumor-specific CD8 + T cell infiltration, and the addition of JAKi further improves ICI resistance by reshaping the immunosuppressive TME.

摘要

背景

癌症免疫疗法旨在释放免疫系统对癌细胞的潜力,为对免疫检查点抑制剂(ICI)有反应的肿瘤提供持续缓解。虽然在胃癌(GC)试验中很有前景,但在腹膜扩散的情况下,ICI 的疗效会降低。我们的目标是确定增强 ICI 治疗效果的策略,特别是针对 GC 中涉及腹膜扩散的病例。

方法

使用 YTN16 腹膜扩散肿瘤模型评估抗 PD1、CTLA4 单独治疗或联合治疗的疗效。收集腹膜和腹膜渗出细胞进行后续分析。进行免疫组织化学染色、流式细胞术和批量 RNA 测序分析,以评估肿瘤微环境(TME)。根据通路分析结果引入了一种 Janus 激酶抑制剂(JAKi)。

结果

抗 PD1 和抗 CTLA4 联合治疗(双重 ICI 治疗)在某些小鼠中显示出治疗效果,主要由 CD8+T 细胞介导。然而,在对双重 ICI 治疗有抗性的小鼠中,即使有 CD8+T 细胞浸润,大多数 T 细胞仍表现出衰竭表型。值得注意的是,与未治疗组相比,耐药肿瘤的 Janus 激酶-信号转导和转录激活因子(JAK-STAT)通路异常激活,TME 中观察到巨噬细胞、中性粒细胞和 Tregs 的浸润。同时给予 JAKi 可挽救 CD8+T 细胞功能并重塑免疫抑制性 TME,从而增强双重 ICI 治疗的疗效。

结论

双重 ICI 治疗通过增加肿瘤特异性 CD8+T 细胞浸润发挥其抗肿瘤作用,而添加 JAKi 通过重塑免疫抑制性 TME 进一步改善 ICI 耐药性。

https://cdn.ncbi.nlm.nih.gov/pmc/blobs/8008/11335826/d37996991947/10120_2024_1514_Fig1_HTML.jpg

文献AI研究员

20分钟写一篇综述,助力文献阅读效率提升50倍。

立即体验

用中文搜PubMed

大模型驱动的PubMed中文搜索引擎

马上搜索

文档翻译

学术文献翻译模型,支持多种主流文档格式。

立即体验