Suppr超能文献

双侧臀肌骨化性肌炎中偶然发现的强烈成纤维细胞活化蛋白抑制剂(FAPI)摄取:一例报告

Incidental Intense Fibroblast Activation Protein Inhibitor (FAPI) Uptake in Bilateral Gluteal Myositis Ossificans: A Case Report.

作者信息

Al-Rashdan Rakan, Ruzzeh Saad, Al-Hajaj Nabeela, Al-Rasheed Ula, Al-Ibraheem Akram

机构信息

Nuclear Medicine, King Hussein Cancer Center (KHCC), Amman, JOR.

出版信息

Cureus. 2024 May 2;16(5):e59520. doi: 10.7759/cureus.59520. eCollection 2024 May.

Abstract

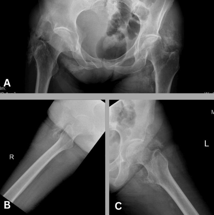
Positron emission tomography/computed tomography (PET/CT) using 18F-fluorodeoxyglucose ([18F]-FDG) is a widely adopted imaging modality for detecting hypermetabolic lesions. However, emerging positron-emitting tracers, such as radiopharmaceuticals featuring fibroblast activation protein (FAP) inhibitors (FAPI) labeled with [18F] or [68Ga], have opened new avenues in nuclear medicine. This case report focuses on the unique behavior of [68Ga]-FAPI in bilateral gluteal myositis ossificans, an infrequent condition characterized by soft tissue ossification. A 45-year-old woman with gastric adenocarcinoma underwent subtotal gastrectomy and received neoadjuvant and adjuvant chemotherapy; [68Ga]-FAPI PET revealed metastatic processes and unexpected [68Ga]-FAPI avid intramuscular ossifications in the pelvic and bilateral thigh muscles. Even though there was no history of trauma, the patient was diagnosed with myositis ossificans, a condition marked by non-cancerous ectopic ossifications. Diagnosis relies on history, radiology, and/or histology. FAPI imaging, increasingly used for inflammatory and infectious diseases, can exhibit uptake in benign conditions, including those involving bones and joints. This case report is the first to document incidental bilateral [68Ga]-FAPI uptake in bilateral gluteal myositis ossificans. The robust [68Ga]-FAPI activity in myositis ossificans highlights the importance of considering myositis ossificans in the context of soft tissue calcifications with intense [68Ga]-FAPI uptake.

摘要

使用18F-氟脱氧葡萄糖([18F]-FDG)的正电子发射断层扫描/计算机断层扫描(PET/CT)是一种广泛应用于检测高代谢病变的成像方式。然而,新出现的正电子发射示踪剂,如标记有[18F]或[68Ga]的成纤维细胞活化蛋白(FAP)抑制剂(FAPI)的放射性药物,为核医学开辟了新途径。本病例报告重点关注[68Ga]-FAPI在双侧臀肌骨化性肌炎中的独特表现,这是一种以软组织骨化为特征的罕见病症。一名45岁的胃腺癌女性患者接受了胃大部切除术,并接受了新辅助和辅助化疗;[68Ga]-FAPI PET显示有转移过程以及盆腔和双侧大腿肌肉中出现意外的[68Ga]-FAPI摄取增加的肌内骨化。尽管没有创伤史,但该患者被诊断为骨化性肌炎,这是一种以非癌性异位骨化为特征的病症。诊断依赖于病史、放射学和/或组织学检查。FAPI成像越来越多地用于炎症和感染性疾病,在包括涉及骨骼和关节的良性病症中也可表现出摄取增加。本病例报告首次记录了双侧臀肌骨化性肌炎中偶然出现的双侧[68Ga]-FAPI摄取。骨化性肌炎中强烈的[68Ga]-FAPI活性突出了在具有强烈[68Ga]-FAPI摄取的软组织钙化情况下考虑骨化性肌炎的重要性。

https://cdn.ncbi.nlm.nih.gov/pmc/blobs/a46a/11144052/f7bd98f714c6/cureus-0016-00000059520-i01.jpg

文献AI研究员

20分钟写一篇综述,助力文献阅读效率提升50倍。

立即体验

用中文搜PubMed

大模型驱动的PubMed中文搜索引擎

马上搜索

文档翻译

学术文献翻译模型,支持多种主流文档格式。

立即体验