Suppr超能文献

68Ga-FAPI PET 成像监测转移性结直肠癌中 TGF-βR 抑制联合免疫治疗的反应。

68Ga-FAPI PET imaging monitors response to combined TGF-βR inhibition and immunotherapy in metastatic colorectal cancer.

机构信息

Cancer Institute, Department of Nuclear Medicine, Fudan University Shanghai Cancer Center, Shanghai, China.

Center for Biomedical Imaging, Fudan University, Shanghai, China.

出版信息

J Clin Invest. 2024 Jan 4;134(4):e170490. doi: 10.1172/JCI170490.

Abstract

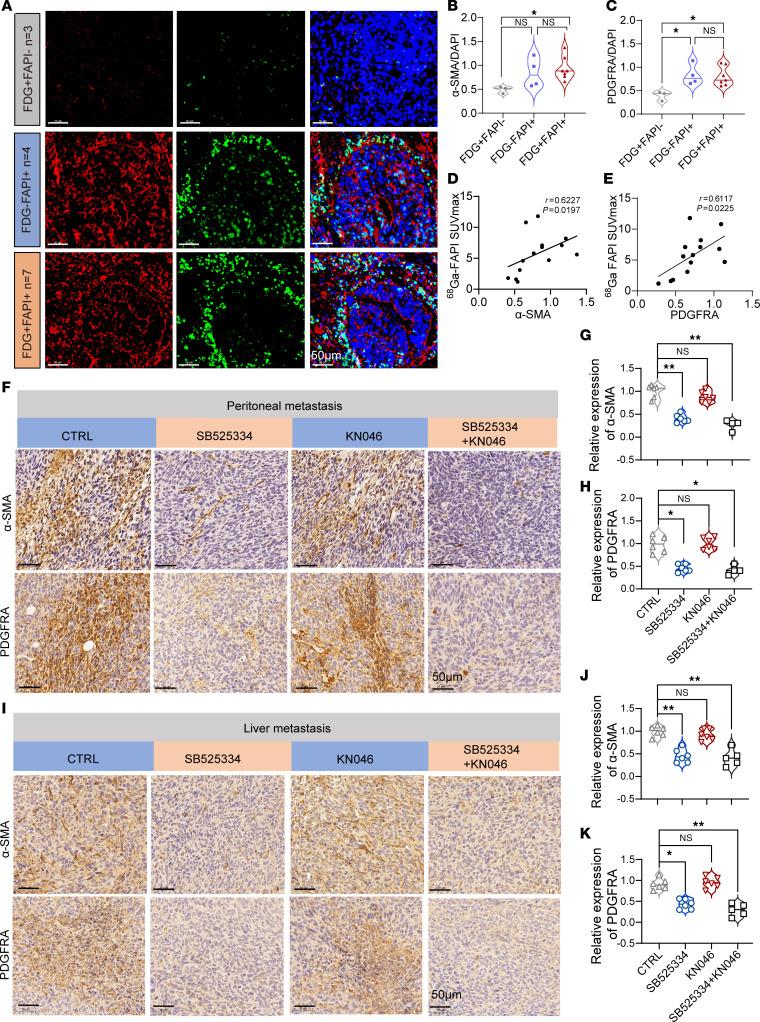
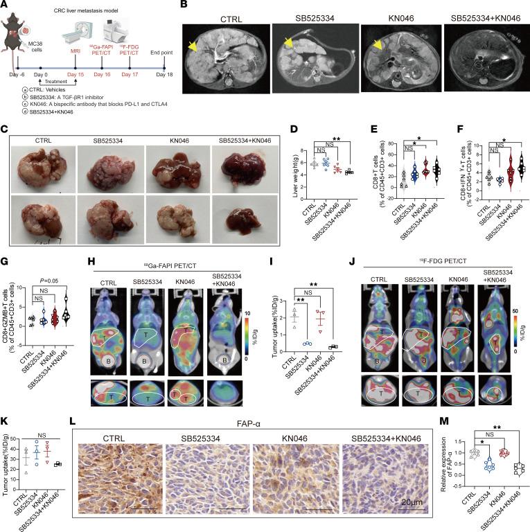
BACKGROUNDImproving and predicting tumor response to immunotherapy remains challenging. Combination therapy with a transforming growth factor-β receptor (TGF-βR) inhibitor that targets cancer-associated fibroblasts (CAFs) is promising for the enhancement of efficacy of immunotherapies. However, the effect of this approach in clinical trials is limited, requiring in vivo methods to better assess tumor responses to combination therapy.METHODSWe measured CAFs in vivo using the 68Ga-labeled fibroblast activation protein inhibitor-04 (68Ga-FAPI-04) for PET/CT imaging to guide the combination of TGF-β inhibition and immunotherapy. One hundred thirty-one patients with metastatic colorectal cancer (CRC) underwent 68Ga-FAPI and 18F-fluorodeoxyglucose (18F-FDG) PET/CT imaging. The relationship between uptake of 68Ga-FAPI and tumor immunity was analyzed in patients. Mouse cohorts of metastatic CRC were treated with the TGF-βR inhibitor combined with KN046, which blocks programmed death ligand 1 (PD-L1) and CTLA-4, followed by 68Ga-FAPI and 18F-FDG micro-PET/CT imaging to assess tumor responses.RESULTSPatients with metastatic CRC demonstrated high uptake rates of 68Ga-FAPI, along with suppressive tumor immunity and poor prognosis. The TGF-βR inhibitor enhanced tumor-infiltrating T cells and significantly sensitized metastatic CRC to KN046. 68Ga-FAPI PET/CT imaging accurately monitored the dynamic changes of CAFs and tumor response to combined the TGF-βR inhibitor with immunotherapy.CONCLUSION68Ga-FAPI PET/CT imaging is powerful in assessing tumor immunity and the response to immunotherapy in metastatic CRC. This study supports future clinical application of 68Ga-FAPI PET/CT to guide precise TGF-β inhibition plus immunotherapy in CRC patients, recommending 68Ga-FAPI and 18F-FDG dual PET/CT for CRC management.TRIAL REGISTRATIONCFFSTS Trial, ChiCTR2100053984, Chinese Clinical Trial Registry.FUNDINGNational Natural Science Foundation of China (82072695, 32270767, 82272035, 81972260).

摘要

背景

提高和预测肿瘤对免疫疗法的反应仍然具有挑战性。联合使用转化生长因子-β 受体(TGF-βR)抑制剂靶向癌症相关成纤维细胞(CAFs)的治疗方法有望提高免疫疗法的疗效。然而,这种方法在临床试验中的效果有限,需要体内方法来更好地评估联合治疗的肿瘤反应。

方法

我们使用 68Ga 标记的成纤维细胞激活蛋白抑制剂-04(68Ga-FAPI-04)进行 PET/CT 成像,以测量体内的 CAFs,从而指导 TGF-β 抑制与免疫治疗的联合应用。131 名转移性结直肠癌(CRC)患者接受了 68Ga-FAPI 和 18F-氟脱氧葡萄糖(18F-FDG)PET/CT 成像。分析了患者中 68Ga-FAPI 摄取与肿瘤免疫之间的关系。用 TGF-βR 抑制剂联合 KN046(阻断程序性死亡配体 1(PD-L1)和细胞毒性 T 淋巴细胞相关抗原 4(CTLA-4))处理转移性 CRC 小鼠队列,然后进行 68Ga-FAPI 和 18F-FDG 微 PET/CT 成像,以评估肿瘤反应。

结果

转移性 CRC 患者的 68Ga-FAPI 摄取率较高,同时伴有抑制性肿瘤免疫和不良预后。TGF-βR 抑制剂增强了肿瘤浸润性 T 细胞,并显著使转移性 CRC 对 KN046 敏感。68Ga-FAPI PET/CT 成像能够准确监测 CAFs 的动态变化和免疫治疗联合治疗的肿瘤反应。

结论

68Ga-FAPI PET/CT 成像在评估转移性 CRC 的肿瘤免疫和免疫治疗反应方面具有强大的作用。本研究支持未来将 68Ga-FAPI PET/CT 用于指导 CRC 患者精确的 TGF-β 抑制联合免疫治疗的临床应用,推荐使用 68Ga-FAPI 和 18F-FDG 双 PET/CT 进行 CRC 管理。

临床试验注册

CFFSTS 试验,ChiCTR2100053984,中国临床试验注册中心。

基金支持

国家自然科学基金(82072695、32270767、82272035、81972260)。

https://cdn.ncbi.nlm.nih.gov/pmc/blobs/36cb/10866654/fd725b740e25/jci-134-170490-g001.jpg

文献AI研究员

20分钟写一篇综述,助力文献阅读效率提升50倍。

立即体验

用中文搜PubMed

大模型驱动的PubMed中文搜索引擎

马上搜索

文档翻译

学术文献翻译模型,支持多种主流文档格式。

立即体验