Suppr超能文献

呼吸道病毒感染模型对 BEAS-2B 和 A549 上皮细胞中 miR-149-5p、IL-6 和 p63 表达的影响。

Distinct Effects of Respiratory Viral Infection Models on miR-149-5p, IL-6 and p63 Expression in BEAS-2B and A549 Epithelial Cells.

机构信息

National Horizons Centre, School of Health and Life Sciences, Teesside University, Middlesbrough TS1 3BX, UK.

Translational and Clinical Research Institute, Newcastle University, Newcastle upon Tyne NE1 7RU, UK.

出版信息

Cells. 2024 May 26;13(11):919. doi: 10.3390/cells13110919.

Abstract

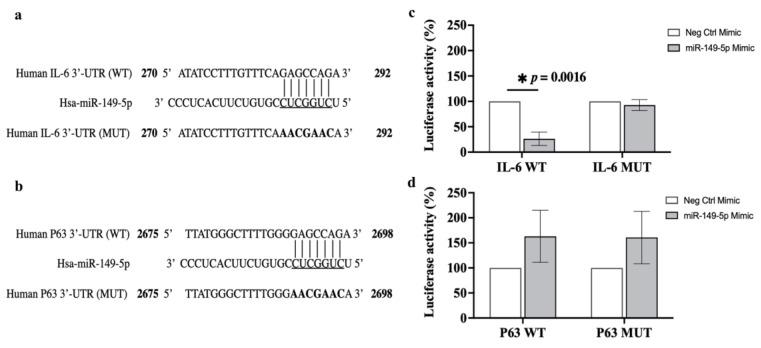
Respiratory viruses cause airway inflammation, resulting in epithelial injury and repair. miRNAs, including miR-149-5p, regulate different pathological conditions. We aimed to determine how miR-149-5p functions in regulating pro-inflammatory IL-6 and p63, key regulators of airway epithelial wound repair, in response to viral proteins in bronchial (BEAS-2B) and alveolar (A549) epithelial cells. BEAS-2B or A549 cells were incubated with poly (I:C, 0.5 µg/mL) for 48 h or SARS-CoV-2 spike protein-1 or 2 subunit (S1 or S2, 1 μg/mL) for 24 h. miR-149-5p was suppressed in BEAS-2B challenged with poly (I:C), correlating with IL-6 and p63 upregulation. miR-149-5p was down-regulated in A549 stimulated with poly (I:C); IL-6 expression increased, but p63 protein levels were undetectable. miR-149-5p remained unchanged in cells exposed to S1 or S2, while S1 transfection increased IL-6 expression in BEAS-2B cells. Ectopic over-expression of miR-149-5p in BEAS-2B cells suppressed and mRNA levels and inhibited poly (I:C)-induced and mRNA expressions. miR-149-5p directly suppressed mRNA in BEAS-2B cells. Hence, BEAS-2B cells respond differently to poly (I:C), S1 or S2 compared to A549 cells. Thus, miR-149-5p dysregulation may be involved in poly (I:C)-stimulated but not S1- or S2-stimulated increased IL-6 production and p63 expression in BEAS-2B cells.

摘要

呼吸道病毒引起气道炎症,导致上皮损伤和修复。miRNA,包括 miR-149-5p,调节不同的病理状况。我们旨在确定 miR-149-5p 如何在调节支气管(BEAS-2B)和肺泡(A549)上皮细胞中对病毒蛋白反应的促炎 IL-6 和 p63 中发挥作用,这是气道上皮伤口修复的关键调节剂。将 BEAS-2B 或 A549 细胞与聚(I:C,0.5μg/mL)孵育 48 小时或 SARS-CoV-2 刺突蛋白-1 或 2 亚基(S1 或 S2,1μg/mL)孵育 24 小时。聚(I:C)挑战的 BEAS-2B 中 miR-149-5p 被抑制,与 IL-6 和 p63 上调相关。聚(I:C)刺激的 A549 中 miR-149-5p 下调;IL-6 表达增加,但 p63 蛋白水平无法检测到。细胞暴露于 S1 或 S2 时 miR-149-5p 保持不变,而 S1 转染增加了 BEAS-2B 细胞中的 IL-6 表达。BEAS-2B 细胞中 miR-149-5p 的异位过表达抑制了和 mRNA 水平,并抑制了聚(I:C)诱导的和 mRNA 表达。miR-149-5p 在 BEAS-2B 细胞中直接抑制 mRNA。因此,与 A549 细胞相比,BEAS-2B 细胞对聚(I:C)、S1 或 S2 的反应不同。因此,miR-149-5p 的失调可能与聚(I:C)刺激但不是 S1 或 S2 刺激的 BEAS-2B 细胞中 IL-6 产生和 p63 表达增加有关。

https://cdn.ncbi.nlm.nih.gov/pmc/blobs/6084/11172188/7409d0ff1a45/cells-13-00919-g001.jpg

文献AI研究员

20分钟写一篇综述,助力文献阅读效率提升50倍。

立即体验

用中文搜PubMed

大模型驱动的PubMed中文搜索引擎

马上搜索

文档翻译

学术文献翻译模型,支持多种主流文档格式。

立即体验