Suppr超能文献

新型化合物 MMV1804559 来自全球健康重点药物清单,表现出体外和体内抗. 的活性。

Novel Compound MMV1804559 from the Global Health Priority Box Exhibits In Vitro and In Vivo Activity against .

机构信息

Department of Medical Microbiology and Infectious Diseases, Erasmus MC, University Medical Center Rotterdam, Dr. Molewaterplein 40, 3015GD Rotterdam, The Netherlands.

Mycetoma Research Centre, Khartoum 1115, Sudan.

出版信息

Int J Mol Sci. 2024 Jun 5;25(11):6227. doi: 10.3390/ijms25116227.

Abstract

OBJECTIVES

Eumycetoma is a neglected tropical disease (NTD) characterized by subcutaneous lesions and the formation of grains. Attempts to treat eumycetoma involve a combination of antifungal treatment and surgery, although the outcome is frequently disappointing. Therefore, there is a need to identify novel antifungal drugs to treat eumycetoma. In this respect, Medicines for Malaria Venture (MMV) has assembled libraries of compounds for researchers to use in drug discovery research against NTD. Therefore, we screened two MMVOpen compound libraries to identify novel leads for eumycetoma.

METHODS

A total of 400 compounds from the COVID Box and the Global Health Priority Box were screened in vitro at 100 µM and 25 µM against the most common causative agents of eumycetoma, namely and and the resulting IC and MIC values were obtained. Compounds with an IC < 8 µM were identified for possible in vivo efficacy studies using an grain model in larvae.

RESULTS

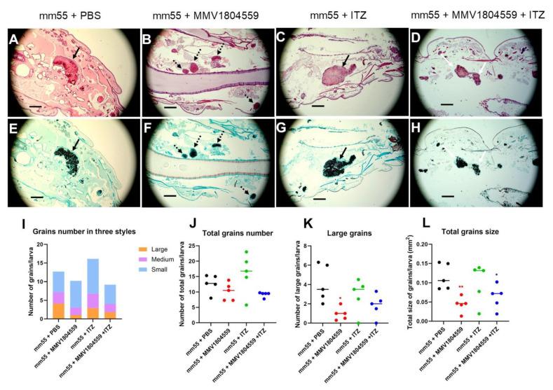
Out of the 400 compounds, 22 were able to inhibit both and growth at 100 µM and 25 µM, with compounds MMV1593278, MMV020335, and MMV1804559 being selected for in vivo testing. Of these three, only the pyrazolopyrimidine derivative MMV1804559 was able to prolong the survival of -infected larvae. Furthermore, the grains in MMV1804559-treated larvae were significantly smaller compared to the PBS-treated group.

CONCLUSION

MMV1804559 shows promising in vitro and in vivo activity against .

摘要

目的

外生菌 (eumycetoma)是一种被忽视的热带病(NTD),其特征为皮下病变和颗粒形成。治疗外生菌 的尝试涉及抗真菌治疗和手术的联合应用,尽管结果常常令人失望。因此,有必要寻找新的抗真菌药物来治疗外生菌 。在这方面,疟疾药物开发联盟(MMV)已经为研究人员组装了化合物库,用于针对 NTD 的药物发现研究。因此,我们筛选了两个 MMVOpen 化合物库,以确定治疗外生菌 的新型先导化合物。

方法

从 COVID 盒子和全球健康优先盒子中筛选了总共 400 种化合物,在 100µM 和 25µM 下对最常见的外生菌 致病原 和 进行体外筛选,并获得了 IC 和 MIC 值。将 IC < 8µM 的化合物鉴定为可能用于体内疗效研究的化合物,使用 幼虫的 颗粒模型。

结果

在 400 种化合物中,有 22 种化合物能够在 100µM 和 25µM 下抑制 和 的生长,其中化合物 MMV1593278、MMV020335 和 MMV1804559 被选择进行体内测试。在这三种化合物中,只有吡唑并嘧啶衍生物 MMV1804559能够延长 感染的 幼虫的存活时间。此外,与 PBS 处理组相比,MMV1804559 处理的幼虫中的颗粒明显更小。

结论

MMV1804559 对 显示出有前途的体外和体内活性。

https://cdn.ncbi.nlm.nih.gov/pmc/blobs/4771/11172423/98304b4e8cf1/ijms-25-06227-g001.jpg

文献AI研究员

20分钟写一篇综述,助力文献阅读效率提升50倍。

立即体验

用中文搜PubMed

大模型驱动的PubMed中文搜索引擎

马上搜索

文档翻译

学术文献翻译模型,支持多种主流文档格式。

立即体验