Suppr超能文献

人参皂苷 Rg1 通过神经元细胞衍生的细胞外囊泡递送 MYCBP2 调节脊髓损伤后的免疫微环境和神经恢复。

Ginsenoside Rg1 Regulates Immune Microenvironment and Neurological Recovery After Spinal Cord Injury Through MYCBP2 Delivery via Neuronal Cell-Derived Extracellular Vesicles.

机构信息

Department of orthopaedics, Centre for Leading Medicine and Advanced Technologies of IHM, The First Affiliated Hospital of USTC, Division of Life Sciences and Medicine, University of Science and Technology of China, Hefei, Anhui, 230001, China.

National Center for Translational Medicine (Shanghai) SHU Branch, Shanghai University, Shanghai, 200444, China.

出版信息

Adv Sci (Weinh). 2024 Aug;11(31):e2402114. doi: 10.1002/advs.202402114. Epub 2024 Jun 19.

Abstract

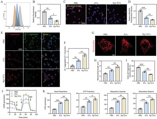
Spinal cord injury (SCI) is a severe neurological condition that frequently leads to significant sensory, motor, and autonomic dysfunction. This study sought to delineate the potential mechanistic underpinnings of extracellular vesicles (EVs) derived from ginsenoside Rg1-pretreated neuronal cells (Rg1-EVs) in ameliorating SCI. These results demonstrated that treatment with Rg1-EVs substantially improved motor function in spinal cord-injured mice. Rg1-EVs enhance microglial polarization toward the M2 phenotype and repressed oxidative stress, thereby altering immune responses and decreasing inflammatory cytokine secretion. Moreover, Rg1-EVs substantially diminish reactive oxygen species accumulation and enhanced neural tissue repair by regulating mitochondrial function. Proteomic profiling highlighted a significant enrichment of MYCBP2 in Rg1-EVs, and functional assays confirmed that MYCBP2 knockdown counteracted the beneficial effects of Rg1-EVs in vitro and in vivo. Mechanistically, MYCBP2 is implicated in the ubiquitination and degradation of S100A9, thereby promoting microglial M2-phenotype polarization and reducing oxidative stress. Overall, these findings substantiated the pivotal role of Rg1-EVs in neuronal protection and functional recovery following SCI through MYCBP2-mediated ubiquitination of S100A9. This research offers novel mechanistic insights into therapeutic strategies against SCI and supports the clinical potential of Rg1-EVs.

摘要

脊髓损伤(SCI)是一种严重的神经系统疾病,常导致明显的感觉、运动和自主功能障碍。本研究旨在阐述来源于人参皂苷 Rg1 预处理神经元细胞的细胞外囊泡(EVs)在改善 SCI 中的潜在机制基础。这些结果表明,Rg1-EVs 治疗可显著改善脊髓损伤小鼠的运动功能。Rg1-EVs 增强小胶质细胞向 M2 表型的极化并抑制氧化应激,从而改变免疫反应并减少炎症细胞因子的分泌。此外,Rg1-EVs 通过调节线粒体功能显著减少活性氧物质的积累并增强神经组织修复。蛋白质组学分析突出显示 Rg1-EVs 中 MYCBP2 的显著富集,功能测定证实 MYCBP2 敲低可拮抗 Rg1-EVs 在体外和体内的有益作用。在机制上,MYCBP2 参与 S100A9 的泛素化和降解,从而促进小胶质细胞 M2 表型极化并减少氧化应激。总的来说,这些发现证实了 Rg1-EVs 通过 MYCBP2 介导的 S100A9 泛素化在 SCI 后神经元保护和功能恢复中的关键作用。该研究为 SCI 的治疗策略提供了新的机制见解,并支持 Rg1-EVs 的临床潜力。

https://cdn.ncbi.nlm.nih.gov/pmc/blobs/5dfd/11336912/dac46cdf0431/ADVS-11-2402114-g012.jpg

文献AI研究员

20分钟写一篇综述,助力文献阅读效率提升50倍。

立即体验

用中文搜PubMed

大模型驱动的PubMed中文搜索引擎

马上搜索

文档翻译

学术文献翻译模型,支持多种主流文档格式。

立即体验