Suppr超能文献

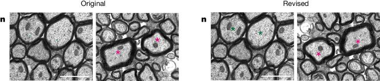
Author Correction: Microglia regulate central nervous system myelin growth and integrity.

作者信息

McNamara Niamh B, Munro David A D, Bestard-Cuche Nadine, Uyeda Akiko, Bogie Jeroen F J, Hoffmann Alana, Holloway Rebecca K, Molina-Gonzalez Irene, Askew Katharine E, Mitchell Stephen, Mungall William, Dodds Michael, Dittmayer Carsten, Moss Jonathan, Rose Jamie, Szymkowiak Stefan, Amann Lukas, McColl Barry W, Prinz Marco, Spires-Jones Tara L, Stenzel Werner, Horsburgh Karen, Hendriks Jerome J A, Pridans Clare, Muramatsu Rieko, Williams Anna, Priller Josef, Miron Veronique E

机构信息

UK Dementia Research Institute at The University of Edinburgh, Edinburgh, UK.

Centre for Discovery Brain Sciences, Chancellor's Building, The University of Edinburgh, Edinburgh, UK.

出版信息

Nature. 2024 Jul;631(8021):E11. doi: 10.1038/s41586-024-07696-3.

Abstract
摘要
https://cdn.ncbi.nlm.nih.gov/pmc/blobs/d573/11254745/67fc52912826/41586_2024_7696_Fig1_HTML.jpg

相似文献

1
Author Correction: Microglia regulate central nervous system myelin growth and integrity.
Nature. 2024 Jul;631(8021):E11. doi: 10.1038/s41586-024-07696-3.
2
Microglia regulate central nervous system myelin growth and integrity.
Nature. 2023 Jan;613(7942):120-129. doi: 10.1038/s41586-022-05534-y. Epub 2022 Dec 14.
3
Microglia regulation of central nervous system myelin health and regeneration.
Nat Rev Immunol. 2024 Jan;24(1):49-63. doi: 10.1038/s41577-023-00907-4. Epub 2023 Jul 14.
4
Microglia: origins, homeostasis, and roles in myelin repair.
Curr Opin Neurobiol. 2017 Dec;47:113-120. doi: 10.1016/j.conb.2017.10.001. Epub 2017 Oct 23.
5
The roles of microglia and astrocytes in myelin phagocytosis in the central nervous system.
J Cereb Blood Flow Metab. 2023 Mar;43(3):325-340. doi: 10.1177/0271678X221137762. Epub 2022 Nov 2.
8
Age-related decline of myelin proteins is highly correlated with activation of astrocytes and microglia in the rat CNS.
Int J Mol Med. 2013 Nov;32(5):1021-8. doi: 10.3892/ijmm.2013.1486. Epub 2013 Sep 11.
9
Regulation of myelination by microglia.
Sci Adv. 2021 Dec 10;7(50):eabk1131. doi: 10.1126/sciadv.abk1131.
10
TREM2 activation on microglia promotes myelin debris clearance and remyelination in a model of multiple sclerosis.
Acta Neuropathol. 2020 Oct;140(4):513-534. doi: 10.1007/s00401-020-02193-z. Epub 2020 Aug 9.

文献AI研究员

20分钟写一篇综述,助力文献阅读效率提升50倍。

立即体验

用中文搜PubMed

大模型驱动的PubMed中文搜索引擎

马上搜索

文档翻译

学术文献翻译模型,支持多种主流文档格式。

立即体验