Suppr超能文献

长链非编码 RNA CARMN 通过 ALKBH5 的 m6A 去甲基化抑制突变型 p53 驱动的肿瘤进展,通过 miR-5683/FGF2。

LncRNA CARMN m6A demethylation by ALKBH5 inhibits mutant p53-driven tumour progression through miR-5683/FGF2.

机构信息

School of Biomedical Sciences, Hunan University, Changsha, China.

Department of Laboratory Medicine, The Third Xiangya Hospital, Central South University, Changsha, China.

出版信息

Clin Transl Med. 2024 Jul;14(7):e1777. doi: 10.1002/ctm2.1777.

Abstract

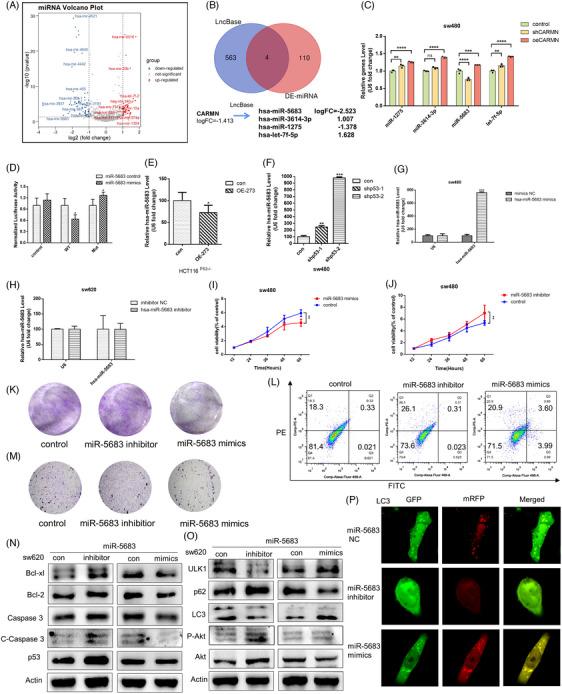
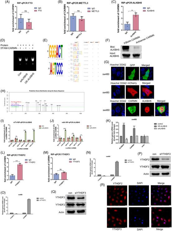
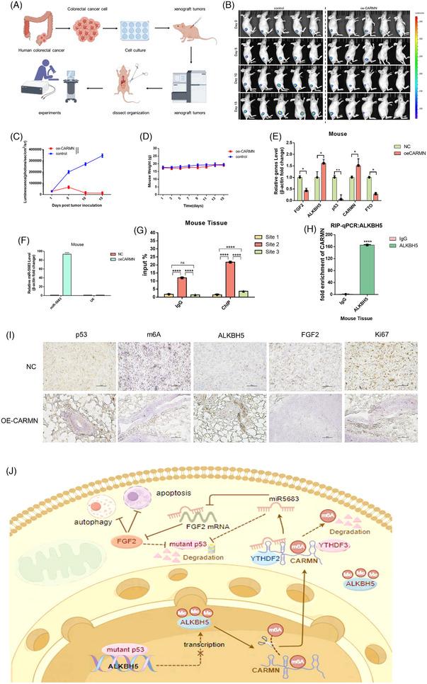
N-methyladenosine (m6A) represents a prevalent RNA modification observed in colorectal cancer. Despite its abundance, the biological implications of m6A methylation on the lncRNA CARMN remain elusive in colorectal cancer, especially for mutant p53 gain-of-function. Here, we elucidate that CARMN exhibits diminished expression levels in colorectal cancer patients with mutant p53, attributed to its rich m6A methylation, which promotes cancer proliferation, invasion and metastasis in vitro and in vivo. Further investigation illustrates that ALKBH5 acts as a direct demethylase of CARMN, targeting 477 methylation sites, thereby preserving CARMN expression. However, the interaction of mutant p53 with the ALKBH5 promoter impedes its transcription, enhancing m6A methylation levels on CARMN. Subsequently, YTHDF2/YTHDF3 recognise and degrade m6A-modified CARMN. Concurrently, overexpressing CARMN significantly suppressed colorectal cancer progression in vitro and in vivo. Additionally, miR-5683 was identified as a direct downstream target of lncRNA CARMN, exerting an antitumour effect by cooperatively downregulating FGF2 expression. Our findings revealed the regulator and functional mechanism of CARMN in colorectal cancer with mutant p53, potentially offering insights into demethylation-based strategies for cancer diagnosis and therapy. The m6A methylation of CARMN that is prime for mutant p53 gain-of-function-induced malignant progression of colorectal cancer, identifying a promising approach for cancer therapy.

摘要

N6-甲基腺苷(m6A)是结直肠癌中普遍存在的 RNA 修饰。尽管其丰度很高,但 m6A 甲基化对结直肠癌中长非编码 RNA CARMN 的生物学意义仍不清楚,特别是在突变型 p53 获得功能方面。在这里,我们阐明了 CARMN 在携带突变型 p53 的结直肠癌患者中的表达水平降低,这归因于其丰富的 m6A 甲基化,促进了体外和体内的癌症增殖、侵袭和转移。进一步的研究表明,ALKBH5 作为 CARMN 的直接去甲基酶,靶向 477 个甲基化位点,从而维持 CARMN 的表达。然而,突变型 p53 与 ALKBH5 启动子的相互作用阻止了其转录,增强了 CARMN 上的 m6A 甲基化水平。随后,YTHDF2/YTHDF3 识别并降解 m6A 修饰的 CARMN。同时,过表达 CARMN 显著抑制了结直肠癌在体外和体内的进展。此外,miR-5683 被鉴定为 lncRNA CARMN 的直接下游靶标,通过协同下调 FGF2 的表达发挥抗肿瘤作用。我们的研究结果揭示了携带突变型 p53 的结直肠癌中 CARMN 的调节因子和功能机制,为基于去甲基化的癌症诊断和治疗策略提供了潜在的思路。m6A 甲基化的 CARMN 是突变型 p53 获得功能诱导结直肠癌恶性进展的关键,为癌症治疗提供了一种有前途的方法。

https://cdn.ncbi.nlm.nih.gov/pmc/blobs/814e/11263751/fa3e63eb48e9/CTM2-14-e1777-g004.jpg

文献AI研究员

20分钟写一篇综述,助力文献阅读效率提升50倍。

立即体验

用中文搜PubMed

大模型驱动的PubMed中文搜索引擎

马上搜索

文档翻译

学术文献翻译模型,支持多种主流文档格式。

立即体验