Suppr超能文献

一名101岁患者在急诊胆囊切除术后被诊断为新冠肺炎,高剂量秋水仙碱治疗成功

Successful Treatment With High-Dose Colchicine of a 101-Year-Old Patient Diagnosed With COVID-19 After an Emergency Cholecystectomy.

作者信息

Bulanov Dimitar, Yonkov Atanas, Arabadzhieva Elena, Mitev Vanyo

机构信息

Department of General and Operative Surgery, Medical Faculty, Medical University - Sofia, Sofia, BGR.

Department of Medical Chemistry and Biochemistry, Medical Faculty, Medical University - Sofia, Sofia, BGR.

出版信息

Cureus. 2024 Jun 26;16(6):e63201. doi: 10.7759/cureus.63201. eCollection 2024 Jun.

Abstract

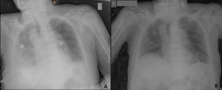
There are multiple factors associated with increased morbidity and mortality in COVID-19 patients, and advanced age is one such independent prognostic factor. It is well established that the multiorgan failure and death in COVID-19 patients are due to the hyperactivation of the NOD-, LRR- and pyrin domain-containing protein 3 (NLRP3) inflammasome and the ensuing cytokine storm. Colchicine, a well-known anti-inflammatory drug, has been shown to inhibit the NLRP3 inflammasome in micromolar concentrations potently. It has the unique property of accumulating in leukocytes, which is the primary cause of the abnormal activation of the NLRP3 inflammasome in COVID-19. It has been shown that achieving inhibitory concentrations of colchicine in leucocytes requires treatment with higher doses. Our recent studies showed that treatment with higher doses of colchicine in both outpatient and inpatient settings is safe and results in remarkable cure rates and significantly decreased mortality rates, even in the most severely affected patients with multiple comorbidities and risk factors. The main risk factor for severe COVID-19 is age, especially over 85 years. Here, we present a unique case of a 101-year-old male who underwent two major emergency abdominal surgeries and contracted COVID-19 while in the hospital. Laboratory tests showed increased values of markers for severe COVID-19, including CRP, D-dimer, and ferritin. Increased opacities bilaterally paracardially and moderate right-side pleural effusions were detected on the chest X-ray. We initiated our high-dose colchicine treatment regimen, resulting in the patient's complete recovery and discharge. We are convinced that the administration of high-dose colchicine to high-risk COVID-19 patients should be mandatory.

摘要

2019年冠状病毒病(COVID-19)患者发病率和死亡率增加与多种因素相关,高龄就是其中一个独立的预后因素。众所周知,COVID-19患者的多器官衰竭和死亡是由于含核苷酸结合寡聚化结构域样受体蛋白3(NLRP3)炎性小体的过度激活及随之而来的细胞因子风暴。秋水仙碱是一种著名的抗炎药物,已被证明在微摩尔浓度下能有效抑制NLRP3炎性小体。它具有在白细胞中蓄积的独特特性,而白细胞是COVID-19中NLRP3炎性小体异常激活的主要原因。研究表明,要在白细胞中达到秋水仙碱的抑制浓度需要使用更高剂量进行治疗。我们最近的研究表明,在门诊和住院环境中使用更高剂量的秋水仙碱进行治疗是安全的,即使在患有多种合并症和风险因素的最严重受影响患者中,也能取得显著的治愈率并显著降低死亡率。重症COVID-19的主要风险因素是年龄,尤其是85岁以上。在此,我们介绍一例独特病例,一名101岁男性在医院接受了两次紧急腹部大手术,并在住院期间感染了COVID-19。实验室检查显示,包括C反应蛋白(CRP)、D-二聚体和铁蛋白在内的重症COVID-19标志物值升高。胸部X线检查发现双侧心旁混浊增加以及右侧中度胸腔积液。我们启动了高剂量秋水仙碱治疗方案,患者完全康复并出院。我们坚信,对高危COVID-19患者应强制使用高剂量秋水仙碱。

https://cdn.ncbi.nlm.nih.gov/pmc/blobs/82d0/11277179/cfbb9a3f4aaa/cureus-0016-00000063201-i01.jpg

文献AI研究员

20分钟写一篇综述,助力文献阅读效率提升50倍。

立即体验

用中文搜PubMed

大模型驱动的PubMed中文搜索引擎

马上搜索

文档翻译

学术文献翻译模型,支持多种主流文档格式。

立即体验