Suppr超能文献

DSS1 抑制 BRCA2 与 dsDNA 的结合,以进行同源重组、复制叉保护和 R 环稳态。

DSS1 restrains BRCA2's engagement with dsDNA for homologous recombination, replication fork protection, and R-loop homeostasis.

机构信息

Department of Biochemistry and Structural Biology, University of Texas Health and Science Center, San Antonio, TX, 78229, USA.

Department of Radiation Oncology, Rutgers Cancer Institute of New Jersey and Robert Wood Johnson Medical School, New Brunswick, NJ, 08903, USA.

出版信息

Nat Commun. 2024 Aug 17;15(1):7081. doi: 10.1038/s41467-024-51557-6.

Abstract

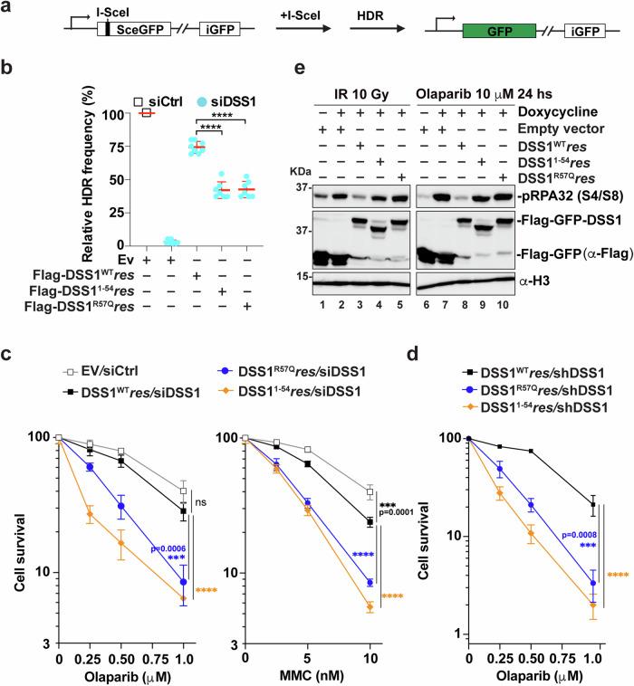
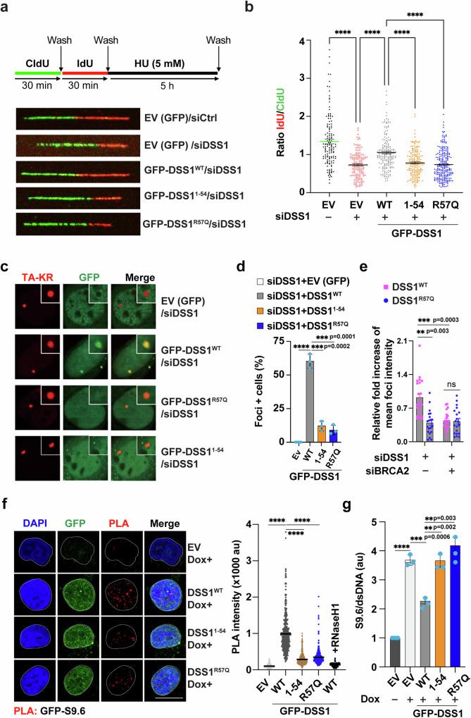
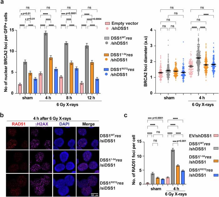
DSS1, essential for BRCA2-RAD51 dependent homologous recombination (HR), associates with the helical domain (HD) and OB fold 1 (OB1) of the BRCA2 DSS1/DNA-binding domain (DBD) which is frequently targeted by cancer-associated pathogenic variants. Herein, we reveal robust ss/dsDNA binding abilities in HD-OB1 subdomains and find that DSS1 shuts down HD-OB1's DNA binding to enable ssDNA targeting of the BRCA2-RAD51 complex. We show that C-terminal helix mutations of DSS1, including the cancer-associated R57Q mutation, disrupt this DSS1 regulation and permit dsDNA binding of HD-OB1/BRCA2-DBD. Importantly, these DSS1 mutations impair BRCA2/RAD51 ssDNA loading and focus formation and cause decreased HR efficiency, destabilization of stalled forks and R-loop accumulation, and hypersensitize cells to DNA-damaging agents. We propose that DSS1 restrains the intrinsic dsDNA binding of BRCA2-DBD to ensure BRCA2/RAD51 targeting to ssDNA, thereby promoting optimal execution of HR, and potentially replication fork protection and R-loop suppression.

摘要

DSS1 是 BRCA2-RAD51 依赖性同源重组 (HR) 的必需因子,与 BRCA2 的 DSS1/DNA 结合域 (DBD) 的螺旋域 (HD) 和 OB 折叠 1 (OB1) 结合,该结构域经常成为与癌症相关的致病性变异的靶点。在此,我们揭示了 HD-OB1 亚结构域中强大的 ss/dsDNA 结合能力,并发现 DSS1 关闭了 HD-OB1 的 DNA 结合,从而能够靶向 BRCA2-RAD51 复合物的 ssDNA。我们表明,DSS1 的 C 端螺旋突变,包括与癌症相关的 R57Q 突变,破坏了这种 DSS1 调控,并允许 HD-OB1/BRCA2-DBD 与 dsDNA 结合。重要的是,这些 DSS1 突变会损害 BRCA2/RAD51 的 ssDNA 加载和焦点形成,并导致 HR 效率降低、停滞的叉不稳定和 R 环积累,以及对 DNA 损伤剂的超敏反应。我们提出,DSS1 限制了 BRCA2-DBD 的固有 dsDNA 结合,以确保 BRCA2/RAD51 靶向 ssDNA,从而促进 HR 的最佳执行,并可能促进复制叉保护和 R 环抑制。

https://cdn.ncbi.nlm.nih.gov/pmc/blobs/db87/11329725/38802d77cb7f/41467_2024_51557_Fig1_HTML.jpg

文献AI研究员

20分钟写一篇综述,助力文献阅读效率提升50倍。

立即体验

用中文搜PubMed

大模型驱动的PubMed中文搜索引擎

马上搜索

文档翻译

学术文献翻译模型,支持多种主流文档格式。

立即体验