Suppr超能文献

溴结构域和额外末端结构域抑制剂(BETi)通过影响线粒体动力学来影响氧化磷酸化代谢,从而导致三阴性乳腺癌(TNBC)细胞凋亡途径的改变。

BET inhibitors (BETi) influence oxidative phosphorylation metabolism by affecting mitochondrial dynamics leading to alterations in apoptotic pathways in triple-negative breast cancer (TNBC) cells.

作者信息

Rossi Teresa, Iorio Egidio, Chirico Mattea, Pisanu Maria Elena, Amodio Nicola, Cantafio Maria Eugenia Gallo, Perrotta Ida, Colciaghi Francesca, Fiorillo Marco, Gianferrari Alessia, Puccio Noemi, Neri Antonino, Ciarrocchi Alessia, Pistoni Mariaelena

机构信息

Laboratory of Translational Research, AUSL-IRCCS di Reggio Emilia, Reggio Emila, Italy.

High Resolution NMR Unit, Core Facilities, Istituto Superiore di Sanità, Rome, Italy.

出版信息

Cell Prolif. 2024 Dec;57(12):e13730. doi: 10.1111/cpr.13730. Epub 2024 Sep 2.

Abstract

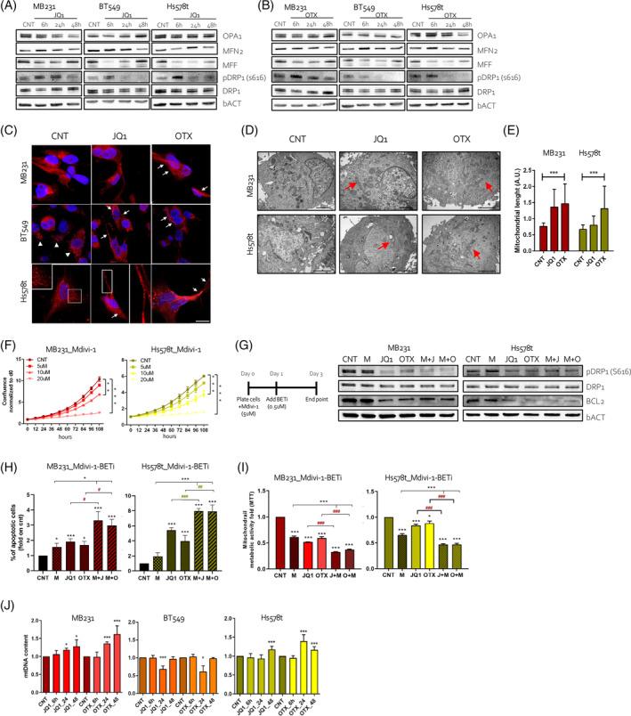
Repressing BET proteins' function using bromodomain inhibitors (BETi) has been shown to elicit antitumor effects by regulating the transcription of genes downstream of BRD4. We previously showed that BETi promoted cell death of triple-negative breast cancer (TNBC) cells. Here, we proved that BETi induce altered mitochondrial dynamics fitness in TNBC cells falling in cell death. We demonstrated that BETi treatment downregulated the expression of BCL-2, and proteins involved in mitochondrial fission and increased fused mitochondria. Impaired mitochondrial fission affected oxidative phosphorylation (OXPHOS) inducing the expression of OXPHOS-related genes, SDHa and ATP5a, and increased cell death. Consistently, the amount of mitochondrial DNA and mitochondrial membrane potential (∆Ψm) increased in BETi-treated cells compared to control cells. Lastly, BETi in combination with Metformin reduced cell growth. Our results indicate that mitochondrial dynamics and OXPHOS metabolism support breast cancer proliferation and represent novel BETi downstream targets in TNBC cells.

摘要

使用溴结构域抑制剂(BETi)抑制BET蛋白的功能已被证明可通过调节BRD4下游基因的转录来引发抗肿瘤作用。我们之前表明BETi可促进三阴性乳腺癌(TNBC)细胞的死亡。在此,我们证明BETi可诱导处于细胞死亡状态的TNBC细胞的线粒体动力学适应性改变。我们证明BETi处理下调了BCL-2以及参与线粒体分裂的蛋白质的表达,并增加了融合线粒体。线粒体分裂受损影响氧化磷酸化(OXPHOS),诱导OXPHOS相关基因SDHa和ATP5a的表达,并增加细胞死亡。同样,与对照细胞相比,BETi处理的细胞中线粒体DNA的量和线粒体膜电位(∆Ψm)增加。最后,BETi与二甲双胍联合使用可降低细胞生长。我们的结果表明线粒体动力学和OXPHOS代谢支持乳腺癌增殖,并代表TNBC细胞中新型的BETi下游靶点。

https://cdn.ncbi.nlm.nih.gov/pmc/blobs/92a3/11628750/660139933585/CPR-57-e13730-g006.jpg

文献AI研究员

20分钟写一篇综述,助力文献阅读效率提升50倍。

立即体验

用中文搜PubMed

大模型驱动的PubMed中文搜索引擎

马上搜索

文档翻译

学术文献翻译模型,支持多种主流文档格式。

立即体验