Suppr超能文献

使用抗Ly6G氧化铁纳米颗粒对腹主动脉瘤NETosis进行高灵敏度磁粒子成像。

Highly sensitive magnetic particle imaging of abdominal aortic aneurysm NETosis with anti-Ly6G iron oxide nanoparticles.

作者信息

Wang Heng, Zhang Ruijing, Jia Xiaohua, Gao Siqi, Gao Tingting, Fan Keyi, Li Yaling, Wang Shule, Qiao Maolin, Yan Sheng, Hui Hui, Dong Honglin

机构信息

Department of Vascular Surgery, The Second Hospital of Shanxi Medical University, Taiyuan, 030001, China.

Department of Nephrology, The Second Hospital of Shanxi Medical University, Taiyuan, 030001, China.

出版信息

Cell Death Discov. 2024 Sep 5;10(1):395. doi: 10.1038/s41420-024-02156-3.

Abstract

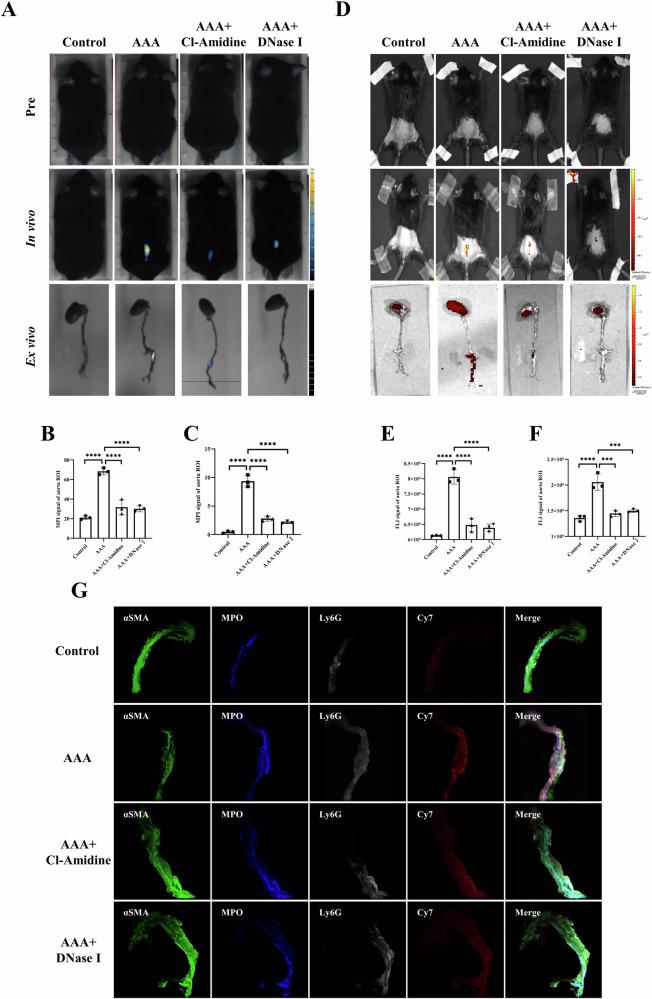
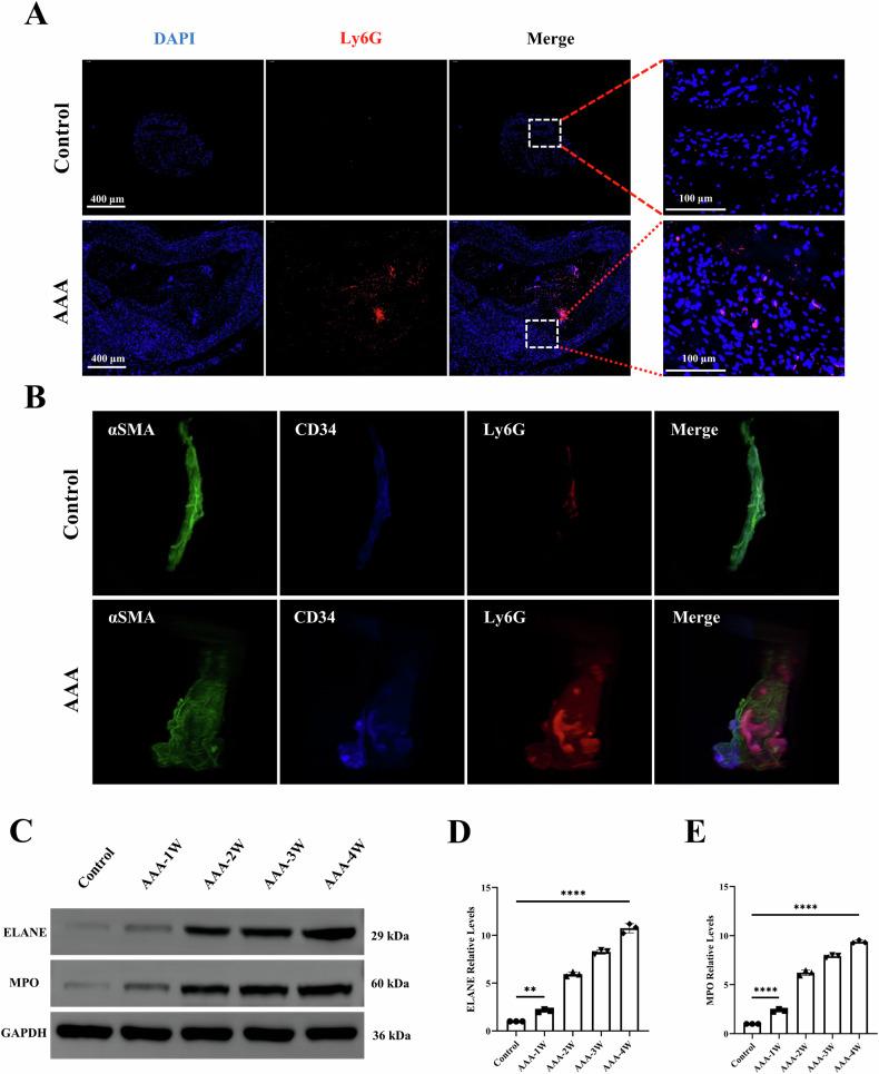
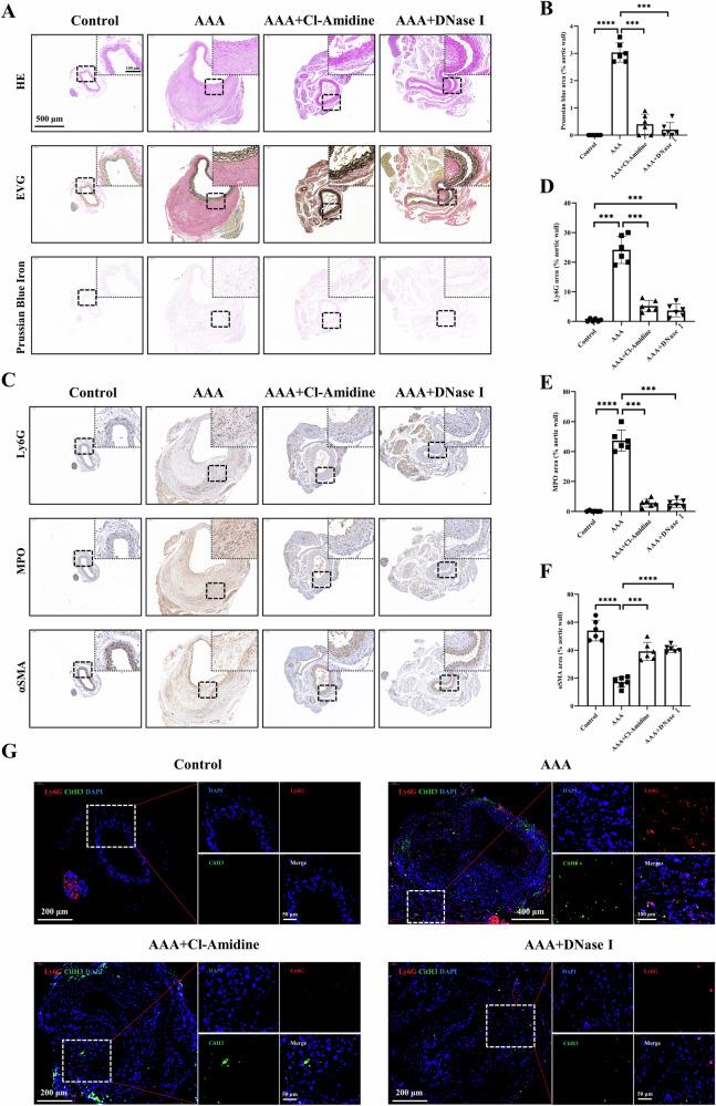
Abdominal aortic aneurysms (AAA) are a significant health concern in developed countries due to their considerable mortality rate. The crucial factor of the progression of AAA is the release of neutrophils and neutrophil extracellular traps (NETs). Magnetic particle imaging (MPI) is a new imaging technique that offers the capability to detect superparamagnetic iron oxide nanoparticles (SPION) with exceptional sensitivity. We aimed to investigate the functional imaging of MPI for the detection and monitoring of neutrophil infiltration within AAA. A novel multimodal imaging agent targeting neutrophils, PEG-FeO-Ly6G-Cy7 nanoparticles (Ly6G NPs), were designed by coupling FeO nanoparticles with Ly6G antibodies and Cy7. The targeting and sensitivity of Ly6G NPs were assessed using MPI and fluorescence imaging (FLI) in the AAA mouse model. After the inhibition of NETosis, the degree of neutrophil infiltration and AAA severity were assessed using MPI with Ly6G NPs. Ly6G NPs accurately localized and quantitatively analyzed AAA lesion sites in mice using MPI/FLI/CT. Compared to the control group, elevated MPI and FLI signal intensities were detected at the abdominal aortic lesion site, and neutrophil infiltration and NETs accumulation were detected by histological analysis in the AAA models. After the inhibition of NETs accumulation in vivo, pathological damage in the abdominal aorta was significantly reduced, along with a decrease in the accumulation of Ly6G NPs and MPI signals. This multimodal MPI strategy revealed that nanoparticles targeting Ly6G can be used to detect neutrophil infiltration within AAA and monitor AAA severity.

摘要

腹主动脉瘤(AAA)因其相当高的死亡率,在发达国家是一个重大的健康问题。AAA进展的关键因素是中性粒细胞和中性粒细胞胞外陷阱(NETs)的释放。磁粒子成像(MPI)是一种新的成像技术,具有以极高灵敏度检测超顺磁性氧化铁纳米颗粒(SPION)的能力。我们旨在研究MPI在检测和监测AAA内中性粒细胞浸润方面的功能成像。通过将FeO纳米颗粒与Ly6G抗体和Cy7偶联,设计了一种靶向中性粒细胞的新型多模态成像剂,即聚乙二醇 - FeO - Ly6G - Cy7纳米颗粒(Ly6G NPs)。在AAA小鼠模型中,使用MPI和荧光成像(FLI)评估Ly6G NPs的靶向性和灵敏度。在抑制NETosis后,使用含Ly6G NPs的MPI评估中性粒细胞浸润程度和AAA严重程度。Ly6G NPs使用MPI/FLI/CT准确地定位并定量分析了小鼠AAA病变部位。与对照组相比,在腹主动脉病变部位检测到MPI和FLI信号强度升高,并且通过组织学分析在AAA模型中检测到中性粒细胞浸润和NETs积累。在体内抑制NETs积累后,腹主动脉的病理损伤显著减轻,同时Ly6G NPs的积累和MPI信号减少。这种多模态MPI策略表明,靶向Ly6G的纳米颗粒可用于检测AAA内的中性粒细胞浸润并监测AAA严重程度。

https://cdn.ncbi.nlm.nih.gov/pmc/blobs/8dd2/11377588/4519342f1f86/41420_2024_2156_Fig1_HTML.jpg

文献AI研究员

20分钟写一篇综述,助力文献阅读效率提升50倍。

立即体验

用中文搜PubMed

大模型驱动的PubMed中文搜索引擎

马上搜索

文档翻译

学术文献翻译模型,支持多种主流文档格式。

立即体验