Suppr超能文献

深海贻贝类的一种核内细菌寄生虫表达了从宿主获得的细胞凋亡抑制剂。

An intranuclear bacterial parasite of deep-sea mussels expresses apoptosis inhibitors acquired from its host.

机构信息

Max Planck Institute for Marine Microbiology, Bremen, Germany.

Alkek Center for Metagenomics and Microbiome Research, Baylor College of Medicine, Houston, TX, USA.

出版信息

Nat Microbiol. 2024 Nov;9(11):2877-2891. doi: 10.1038/s41564-024-01808-5. Epub 2024 Sep 6.

Abstract

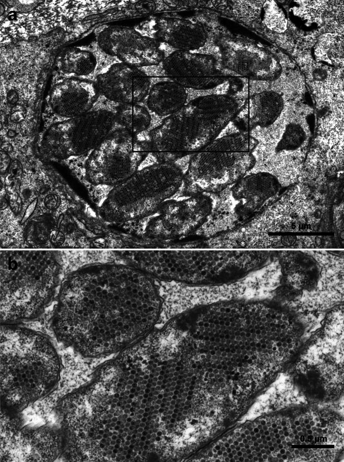
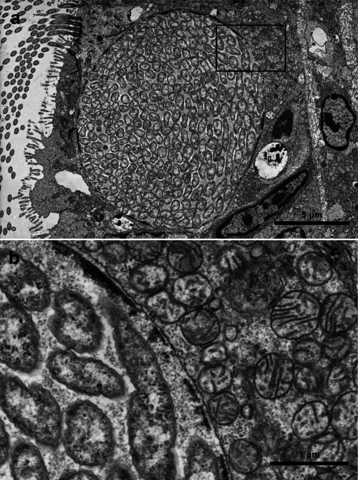
A limited number of bacteria are able to colonize the nuclei of eukaryotes. 'Candidatus Endonucleobacter' infects the nuclei of deep-sea mussels, where it replicates to ≥80,000 bacteria per nucleus and causes nuclei to swell to 50 times their original size. How these parasites are able to replicate and avoid apoptosis is not known. Dual RNA-sequencing transcriptomes of infected nuclei isolated using laser-capture microdissection revealed that 'Candidatus Endonucleobacter' does not obtain most of its nutrition from nuclear DNA or RNA. Instead, 'Candidatus Endonucleobacter' upregulates genes for importing and digesting sugars, lipids, amino acids and possibly mucin from its host. It likely prevents apoptosis of host cells by upregulating 7-13 inhibitors of apoptosis, proteins not previously seen in bacteria. Comparative phylogenetic analyses revealed that 'Ca. Endonucleobacter' acquired inhibitors of apoptosis through horizontal gene transfer from their hosts. Horizontal gene transfer from eukaryotes to bacteria is assumed to be rare, but may be more common than currently recognized.

摘要

少数细菌能够定殖真核生物的细胞核。“Candidatus Endonucleobacter”感染深海贻贝类的细胞核,在那里它可以复制到每个细胞核 80000 多个细菌,并使细胞核膨胀到原来大小的 50 倍。这些寄生虫如何能够复制和避免细胞凋亡尚不清楚。使用激光捕获显微切割分离感染细胞核的双 RNA 测序转录组显示,“Candidatus Endonucleobacter”并非从核 DNA 或 RNA 中获得大部分营养。相反,“Candidatus Endonucleobacter”上调了从宿主中导入和消化糖、脂类、氨基酸和可能的粘蛋白的基因。它可能通过上调 7-13 种凋亡抑制剂来阻止宿主细胞的凋亡,这些蛋白质以前在细菌中没有见过。比较系统发育分析表明,“Ca. Endonucleobacter”通过从宿主横向基因转移获得凋亡抑制剂。从真核生物到细菌的水平基因转移被认为很少见,但可能比目前认识到的更为普遍。

https://cdn.ncbi.nlm.nih.gov/pmc/blobs/0de5/11521996/c6aa3046a0be/41564_2024_1808_Fig1_HTML.jpg

文献AI研究员

20分钟写一篇综述,助力文献阅读效率提升50倍。

立即体验

用中文搜PubMed

大模型驱动的PubMed中文搜索引擎

马上搜索

文档翻译

学术文献翻译模型,支持多种主流文档格式。

立即体验