Suppr超能文献

肿瘤内 CXCL13+CD160+CD8+T 细胞促进三级淋巴结构形成,增强晚期胃癌免疫治疗疗效。

Intratumoral CXCL13 CD160 CD8 T cells promote the formation of tertiary lymphoid structures to enhance the efficacy of immunotherapy in advanced gastric cancer.

机构信息

Department of General Surgery, The First Affiliated Hospital of Nanjing Medical University, Nanjing, Jiangsu, China.

Southeast University, Nanjing, Jiangsu, China.

出版信息

J Immunother Cancer. 2024 Sep 6;12(9):e009603. doi: 10.1136/jitc-2024-009603.

Abstract

BACKGROUND

Stage IV gastric cancer is a highly heterogeneous and lethal tumor with few therapeutic strategies. The combination of programmed cell death protein 1 inhibitors and chemotherapy is currently the standard frontline treatment regimen for advanced gastric cancer. Nevertheless, it remains a great challenge to screen the beneficiaries of immunochemotherapy and expand indications for this treatment regimen.

METHODS

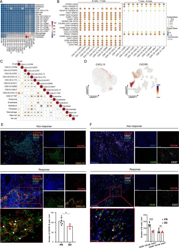
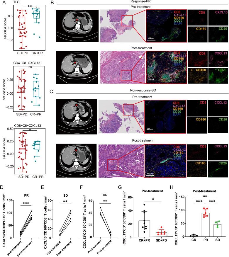
We conducted a pathological assessment to ascertain the importance of tertiary lymphoid structures based on the tissue samples collected from patients with stage IV gastric cancer (n=15) both prior to and following immunochemotherapy treatment. Additionally, we used spatial (n=10) and single-cell transcriptional analysis (n=97) to investigate the key regulators of tertiary lymphoid structures (TLSs). Multiplex immunofluorescence and image analysis (n=34) were performed to explore the association between tumor-infiltrating CXCL13 CD160 CD8 T cells and TLSs. The relationship between CXCL13 CD160 CD8 T cells and the responsiveness to immunotherapy was also evaluated by multiplex immunofluorescence and image analysis approaches (n=15). Furthermore, we explored the intrinsic characteristics of CXCL13 CD160 CD8 T cells through various experimental techniques, including quantitative reverse transcription-PCR, western blot, and flow cytometry.

RESULTS

We found that responders exhibited higher levels of TLSs and CXCL13 CD160 CD8 T cells in biopsy tissues prior to immunochemotherapy compared with non-responders. Following conversion therapy, responders also had a higher percentage of mature TLSs and a higher number of CXCL13 CD160 CD8 T cells in surgical resections. Moreover, we discovered that vitamin B in CD160 CD8 T cells could reduce the ubiquitination modification of HIF-1α by MDM2, thereby attenuating the degradation of HIF-1α. Consequently, this led to the transcriptional upregulation of CXCL13 expression, facilitating the recruitment of CXCR5 B cells and the formation of TLSs.

CONCLUSION

The number and maturity of TLSs, along with the extent of CXCL13 CD160 CD8 T-cell infiltration, might function as potential indicators for assessing the effectiveness of immunotherapy in treating gastric malignancies. Furthermore, our research suggests that vitamin B could enhance the secretion of CXCL13 by CD160 CD8 T cells by reducing the degradation of HIF-1α. Additionally, we demonstrate that vitamin B supplementation or targeting pyridoxal kinase could substantially improve the efficacy of immunotherapies for gastric cancer.

摘要

背景

IV 期胃癌是一种高度异质性和致命性肿瘤,治疗策略有限。程序性细胞死亡蛋白 1 抑制剂联合化疗是目前晚期胃癌的标准一线治疗方案。然而,筛选免疫化疗的受益者并扩大该治疗方案的适应证仍然是一个巨大的挑战。

方法

我们对 15 例接受免疫化疗治疗的 IV 期胃癌患者的组织样本进行了病理评估,以确定三级淋巴结构的重要性。此外,我们使用空间(n=10)和单细胞转录分析(n=97)来研究三级淋巴结构(TLSs)的关键调节因子。我们进行了多重免疫荧光和图像分析(n=34),以探讨肿瘤浸润性 CXCL13 CD160 CD8 T 细胞与 TLSs 之间的关联。我们还通过多重免疫荧光和图像分析方法(n=15)评估了 CXCL13 CD160 CD8 T 细胞与免疫治疗反应性之间的关系。此外,我们通过定量逆转录-PCR、western blot 和流式细胞术等多种实验技术探索了 CXCL13 CD160 CD8 T 细胞的内在特性。

结果

我们发现,与非应答者相比,应答者在免疫化疗前活检组织中具有更高水平的 TLSs 和 CXCL13 CD160 CD8 T 细胞。在转化治疗后,应答者在手术切除标本中也具有更高比例的成熟 TLSs 和更多的 CXCL13 CD160 CD8 T 细胞。此外,我们发现 CD160 CD8 T 细胞中的维生素 B 可以减少 MDM2 对 HIF-1α的泛素化修饰,从而减弱 HIF-1α的降解。结果,导致 CXCL13 表达的转录上调,促进 CXCR5 B 细胞的募集和 TLSs 的形成。

结论

TLSs 的数量和成熟度以及 CXCL13 CD160 CD8 T 细胞浸润程度可能是评估免疫治疗治疗胃恶性肿瘤疗效的潜在指标。此外,我们的研究表明,维生素 B 通过减少 HIF-1α的降解,可以增强 CD160 CD8 T 细胞分泌 CXCL13。此外,我们证明维生素 B 补充或靶向吡哆醛激酶可以显著提高胃癌的免疫治疗效果。

https://cdn.ncbi.nlm.nih.gov/pmc/blobs/5392/11381742/df667ea9cac7/jitc-12-9-g001.jpg

文献AI研究员

20分钟写一篇综述,助力文献阅读效率提升50倍。

立即体验

用中文搜PubMed

大模型驱动的PubMed中文搜索引擎

马上搜索

文档翻译

学术文献翻译模型,支持多种主流文档格式。

立即体验