Suppr超能文献

靶向ETHE1可通过阻止胃腺癌细胞的有氧糖酵解来抑制肿瘤发生。

Targeting ETHE1 inhibits tumorigenesis and by preventing aerobic glycolysis in gastric adenocarcinoma cells.

作者信息

Li Fangfei, Du Xuan, Han Mei, Feng Xiaoying, Jiang Chunmeng

机构信息

Department of Gastroenterology, The Second Hospital of Dalian Medical University, Dalian, Liaoning 116027, P.R. China.

出版信息

Oncol Lett. 2025 Apr 10;29(6):286. doi: 10.3892/ol.2025.15032. eCollection 2025 Jun.

Abstract

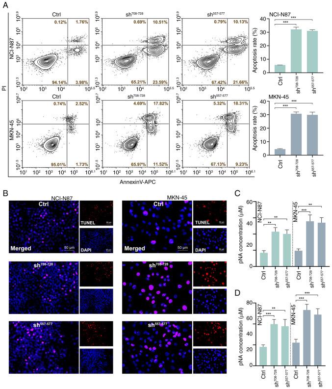
Gastric adenocarcinoma (GAC) is a prevalent form of cancer that frequently displays abnormal metabolism characterized by increased aerobic glycolysis. Therefore, inhibition of glycolysis may exhibit therapeutic potential for the management of advanced or recurrent gastric cancer. Analysis of ethylmalonic encephalopathy protein 1 (ETHE1) expression levels in 30 pairs of cancerous and paracancerous tissues, and 50 tumor tissue sections collected from patients with GAC revealed that ETHE1 expression was upregulated in cancerous tissues compared with in paracancerous tissues. Advanced tumor stage, lymph node metastasis and Tumor-Node-Metastasis stage were associated with high ETHE1 expression. Knockdown of ETHE1 expression in GAC cells resulted in a significant inhibition of cell proliferation and in cell cycle arrest, accompanied by downregulated levels of cyclin D1 and cyclin-dependent kinase 4. ETHE1 knockdown also resulted in increased apoptosis of GAC cells, and increased caspase-3 and caspase-9 activity. Additionally, the expression levels of proteins associated with aerobic glycolysis were downregulated following ETHE1 knockdown, which may reduce glucose consumption, lactic acid production and ATP levels. In the experiments, suppressed tumor growth and increased tumor cell apoptosis were observed in the xenograft tumor model in animals injected with ETHE1-knockdown GAC cells. In summary, knockdown of ETHE1 inhibited aerobic glycolysis, promoted apoptosis and inhibited tumor cell proliferation in GAC cells. These results highlight ETHE1 as a promising molecular target for the treatment of GAC potentially using an adjuvant to target it, offering a novel approach in the exploration of targeted therapeutic drugs for GAC.

摘要

胃腺癌(GAC)是一种常见的癌症形式,常表现出以有氧糖酵解增加为特征的异常代谢。因此,抑制糖酵解可能对晚期或复发性胃癌的治疗具有潜在的治疗价值。对30对癌组织和癌旁组织以及从GAC患者收集的50个肿瘤组织切片中乙丙二酸脑病蛋白1(ETHE1)表达水平的分析显示,与癌旁组织相比,癌组织中ETHE1表达上调。肿瘤晚期、淋巴结转移和肿瘤-淋巴结-转移分期与ETHE1高表达相关。敲低GAC细胞中的ETHE1表达导致细胞增殖受到显著抑制并使细胞周期停滞,同时细胞周期蛋白D1和细胞周期蛋白依赖性激酶4的水平下调。敲低ETHE1还导致GAC细胞凋亡增加,以及半胱天冬酶-3和半胱天冬酶-9活性增加。此外,敲低ETHE1后,与有氧糖酵解相关的蛋白质表达水平下调,这可能会减少葡萄糖消耗、乳酸生成和ATP水平。在实验中,在注射了敲低ETHE1的GAC细胞的动物异种移植肿瘤模型中观察到肿瘤生长受到抑制且肿瘤细胞凋亡增加。总之,敲低ETHE1可抑制GAC细胞中的有氧糖酵解,促进细胞凋亡并抑制肿瘤细胞增殖。这些结果突出了ETHE1作为治疗GAC的一个有前景的分子靶点,可能使用一种佐剂来靶向它,为探索GAC的靶向治疗药物提供了一种新方法。

https://cdn.ncbi.nlm.nih.gov/pmc/blobs/d595/12012436/d012c12b640e/ol-29-06-15032-g00.jpg

文献AI研究员

20分钟写一篇综述,助力文献阅读效率提升50倍。

立即体验

用中文搜PubMed

大模型驱动的PubMed中文搜索引擎

马上搜索

文档翻译

学术文献翻译模型,支持多种主流文档格式。

立即体验