Suppr超能文献

通过适体脂质体抑制内皮细胞 Foxo1 的磷酸化可减轻脊髓损伤后 OPN 诱导的病理性血管重塑。

Endothelial Foxo1 Phosphorylation Inhibition via Aptamer-Liposome Alleviates OPN-Induced Pathological Vascular Remodeling Following Spinal Cord Injury.

机构信息

Department of Spine Surgery and Orthopaedics, Xiangya Hospital, Central South University, Changsha, 410008, China.

Key Laboratory of Organ Injury, Aging and Regenerative Medicine of Hunan Province, Changsha, 410008, China.

出版信息

Adv Sci (Weinh). 2024 Nov;11(43):e2406398. doi: 10.1002/advs.202406398. Epub 2024 Sep 28.

Abstract

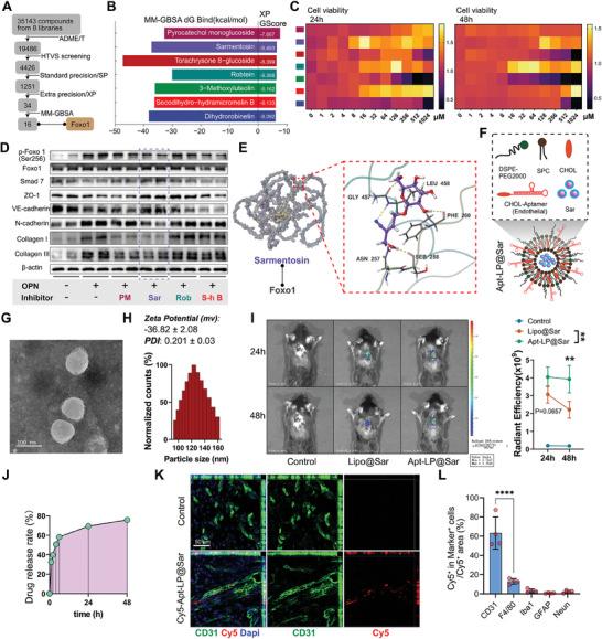
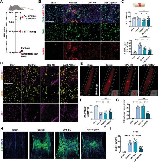
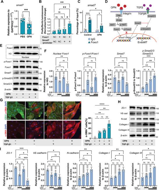
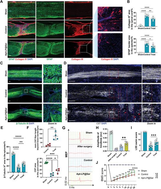
Reconstruction of the neurovascular unit is essential for the repair of spinal cord injury (SCI). Nonetheless, detailed documentation of specific vascular changes following SCI and targeted interventions for vascular treatment remains limited. This study demonstrates that traumatic pathological vascular remodeling occurs during the chronic phase of injury, characterized by enlarged vessel diameter, disruption of blood-spinal cord barrier, endothelial-to-mesenchymal transition (EndoMT), and heightened extracellular matrix deposition. After SCI, osteopontin (OPN), a critical factor secreted by immune cells, is indispensable for early vascular regeneration but also contributes to traumatic pathological vascular remodeling. This work further elucidates the mechanism by which OPN influences spinal cord microvascular endothelial cells, involving Akt-mediated Foxo1 phosphorylation. This process facilitates the extranuclear transport of Foxo1 and decreases Smad7 expression, leading to excessive activation of the TGF-β signaling pathway, which ultimately results in EndoMT and fibrosis. Targeted inhibition of Foxo1 phosphorylation through an endothelium-specific aptamer-liposome small molecule delivery system significantly mitigates vascular remodeling, thereby enhancing axon regeneration and neurological function recovery following SCI. The findings offer a novel perspective for drug therapies aimed at specifically targeting pathological vasculature after SCI.

摘要

神经血管单元的重建对于脊髓损伤(SCI)的修复至关重要。然而,SCI 后特定血管变化的详细记录和针对血管治疗的靶向干预仍然有限。本研究表明,创伤性病理血管重塑发生在损伤的慢性期,表现为血管直径增大、血脊髓屏障破坏、内皮间质转化(EndoMT)和细胞外基质沉积增加。在 SCI 后,免疫细胞分泌的关键因子骨桥蛋白(OPN)对于早期血管再生是必不可少的,但也有助于创伤性病理血管重塑。这项工作进一步阐明了 OPN 影响脊髓微血管内皮细胞的机制,涉及 Akt 介导的 Foxo1 磷酸化。这一过程促进了 Foxo1 的核外运输,并降低了 Smad7 的表达,导致 TGF-β 信号通路的过度激活,最终导致 EndoMT 和纤维化。通过内皮细胞特异性适体脂质体小分子传递系统靶向抑制 Foxo1 磷酸化,显著减轻了血管重塑,从而促进了 SCI 后轴突再生和神经功能的恢复。这些发现为针对 SCI 后特定病理血管的药物治疗提供了新的视角。

https://cdn.ncbi.nlm.nih.gov/pmc/blobs/0634/11578346/e0526133b6ef/ADVS-11-2406398-g002.jpg

文献AI研究员

20分钟写一篇综述,助力文献阅读效率提升50倍。

立即体验

用中文搜PubMed

大模型驱动的PubMed中文搜索引擎

马上搜索

文档翻译

学术文献翻译模型,支持多种主流文档格式。

立即体验