Suppr超能文献

一名竞技跑步运动员植入血管外植入式心脏复律除颤器后快速恢复运动

Rapid Return to Play After Extravascular Implantable Cardioverter-Defibrillator Implantation in a Competitive Runner.

作者信息

Nash Dustin, von Alvensleben Johannes C, Zipse Matthew

机构信息

Division of Cardiology, Children's Hospital of Colorado, Aurora, Colorado, USA.

Division of Cardiology, University of Colorado, Aurora, Colorado, USA.

出版信息

JACC Case Rep. 2024 Sep 4;29(17):102490. doi: 10.1016/j.jaccas.2024.102490.

Abstract

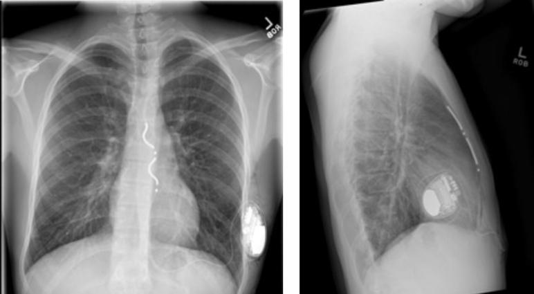
We present a case of long QT syndrome type 2 in a competitive runner who underwent implantation of a primary prevention extravascular implantable cardioverter defibrillator with a rapid return to partial activity within 2 weeks and a return to full activity within 4 weeks of implantation without affecting wound healing or device function.

摘要

我们报告一例2型长QT综合征的竞技跑步者病例,该患者接受了一级预防的血管外植入式心脏复律除颤器植入术,术后2周内迅速恢复部分活动,植入后4周内恢复完全活动,且未影响伤口愈合或设备功能。

https://cdn.ncbi.nlm.nih.gov/pmc/blobs/2351/11442174/d02fefd2add3/ga1.jpg

文献AI研究员

20分钟写一篇综述,助力文献阅读效率提升50倍。

立即体验

用中文搜PubMed

大模型驱动的PubMed中文搜索引擎

马上搜索

文档翻译

学术文献翻译模型,支持多种主流文档格式。

立即体验