Suppr超能文献

BCL-XL 靶向抗体药物偶联物在临床前模型中具有活性,并减轻小分子抑制剂的非机制毒性。

BCL-X-targeting antibody-drug conjugates are active in preclinical models and mitigate on-mechanism toxicity of small-molecule inhibitors.

机构信息

AbbVie Inc., 1 N. Waukegan Road, North Chicago, IL 60064, USA.

出版信息

Sci Adv. 2024 Oct 4;10(40):eado7120. doi: 10.1126/sciadv.ado7120.

Abstract

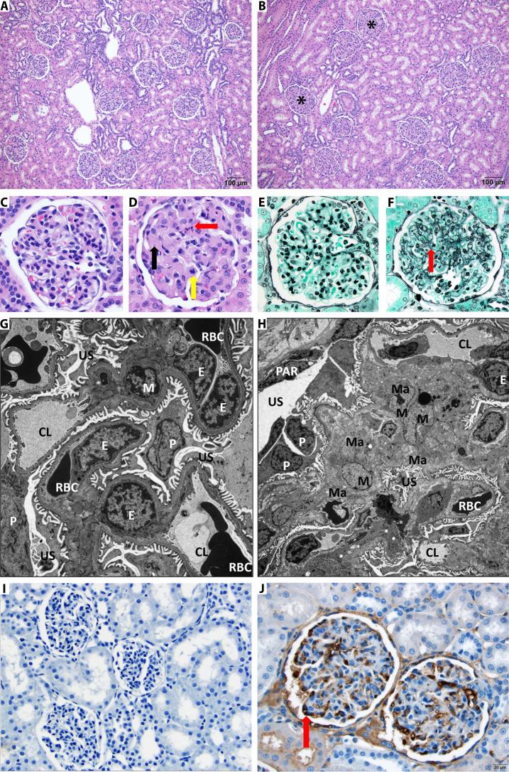
Overexpression of the antiapoptotic protein B-cell lymphoma-extra large (BCL-X) is associated with drug resistance and disease progression in numerous cancers. The compelling nature of this protein as a therapeutic target prompted efforts to develop selective small-molecule BCL-X inhibitors. Although efficacious in preclinical models, we report herein that selective BCL-X inhibitors cause severe mechanism-based cardiovascular toxicity in higher preclinical species. To overcome this liability, antibody-drug conjugates were constructed using altered BCL-X-targeting warheads, unique linker technologies, and therapeutic antibodies. The epidermal growth factor receptor-targeting antibody-drug conjugate AM1-15 inhibited growth of tumor xenografts and did not cause cardiovascular toxicity nor dose-limiting thrombocytopenia in monkeys. While an unprecedented BCL-X-mediated toxicity was uncovered in monkey kidneys upon repeat dosing of AM1-15, this toxicity was mitigated via further drug-linker modification to afford AM1-AAA (AM1-25). The AAA drug-linker has since been incorporated into mirzotamab clezutoclax, the first selective BCL-X-targeting agent to enter human clinical trials.

摘要

抗凋亡蛋白 B 细胞淋巴瘤-extra large(BCL-X)的过表达与许多癌症中的耐药性和疾病进展有关。这种蛋白作为治疗靶点的强大性质促使人们努力开发选择性小分子 BCL-X 抑制剂。尽管在临床前模型中有效,但我们在此报告选择性 BCL-X 抑制剂会导致较高的临床前物种中严重的基于机制的心血管毒性。为了克服这种副作用,使用改变的 BCL-X 靶向弹头、独特的连接子技术和治疗性抗体构建了抗体药物偶联物。表皮生长因子受体靶向抗体药物偶联物 AM1-15 抑制了肿瘤异种移植物的生长,并且在猴子中不会引起心血管毒性或剂量限制的血小板减少症。虽然在重复给予 AM1-15 时猴子肾脏中发现了前所未有的 BCL-X 介导的毒性,但通过进一步的药物连接子修饰来提供 AM1-AAA(AM1-25)减轻了这种毒性。此后,AAA 药物连接子已被纳入 mirzotamab clezutoclax,这是第一个进入人体临床试验的选择性 BCL-X 靶向药物。

https://cdn.ncbi.nlm.nih.gov/pmc/blobs/df82/11451551/dd796469c73c/sciadv.ado7120-f1.jpg

文献AI研究员

20分钟写一篇综述,助力文献阅读效率提升50倍。

立即体验

用中文搜PubMed

大模型驱动的PubMed中文搜索引擎

马上搜索

文档翻译

学术文献翻译模型,支持多种主流文档格式。

立即体验