Suppr超能文献

交感神经系统驱动艰难梭菌感染的过度炎症反应。

The sympathetic nervous system drives hyperinflammatory responses to Clostridioides difficile infection.

机构信息

Neuroscience Graduate Program, University of Virginia Health System, Charlottesville, VA 22908, USA.

Division of Infectious Disease and International Health, University of Virginia School of Medicine, Charlottesville, VA 22908, USA.

出版信息

Cell Rep Med. 2024 Oct 15;5(10):101771. doi: 10.1016/j.xcrm.2024.101771. Epub 2024 Oct 4.

Abstract

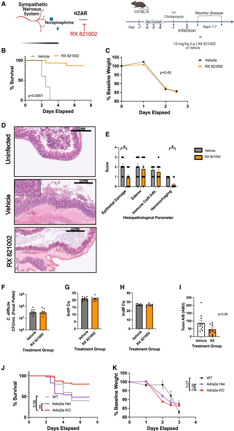
Clostridioides difficile infection (CDI) is a leading cause of hospital-acquired infections in the United States, known for triggering severe disease by hyperactivation of the host response. In this study, we determine the impact of the sympathetic nervous system (SNS) on CDI disease severity. Mouse models of CDI are administered inhibitors of SNS activity prior to CDI. Chemical sympathectomy or pharmacological inhibition of norepinephrine synthesis greatly reduces mortality and disease severity in the CDI model. Pharmacological blockade or genetic ablation of the alpha 2 adrenergic receptor ameliorates intestinal inflammation, disease severity, and mortality rate. These results underscore the role of the SNS and the alpha 2 adrenergic receptor in CDI pathogenesis and suggest that targeting neural systems could be a promising approach to therapy in severe disease.

摘要

艰难梭菌感染(CDI)是美国医院获得性感染的主要原因,其通过宿主反应的过度激活引发严重疾病而闻名。在这项研究中,我们确定了交感神经系统(SNS)对 CDI 疾病严重程度的影响。在 CDI 之前,给 CDI 小鼠模型施用 SNS 活性抑制剂。化学性交感神经切除术或去甲肾上腺素合成的药理学抑制极大地降低了 CDI 模型中的死亡率和疾病严重程度。药理学阻断或基因敲除α2肾上腺素能受体可改善肠道炎症、疾病严重程度和死亡率。这些结果强调了 SNS 和α2肾上腺素能受体在 CDI 发病机制中的作用,并表明针对神经系统可能是严重疾病治疗的一种有前途的方法。

https://cdn.ncbi.nlm.nih.gov/pmc/blobs/c821/11513855/69420c990969/fx1.jpg

文献AI研究员

20分钟写一篇综述,助力文献阅读效率提升50倍。

立即体验

用中文搜PubMed

大模型驱动的PubMed中文搜索引擎

马上搜索

文档翻译

学术文献翻译模型,支持多种主流文档格式。

立即体验