Suppr超能文献

细胞内 C5aR1 通过 METTL3 依赖的 GPX4 的 m6A 甲基化抑制胶质母细胞瘤中的铁死亡。

Intracellular C5aR1 inhibits ferroptosis in glioblastoma through METTL3-dependent m6A methylation of GPX4.

机构信息

Department of Neurosurgery, The Yancheng Clinical College of Xuzhou Medical University, The First People's Hospital of Yancheng, Yancheng, China.

Yancheng Medical Research Center of Nanjing University Medical School, Yancheng First Hospital, Affiliated Hospital of Nanjing University Medical School, The First People's Hospital of Yancheng, Yancheng, China.

出版信息

Cell Death Dis. 2024 Oct 5;15(10):729. doi: 10.1038/s41419-024-06963-5.

Abstract

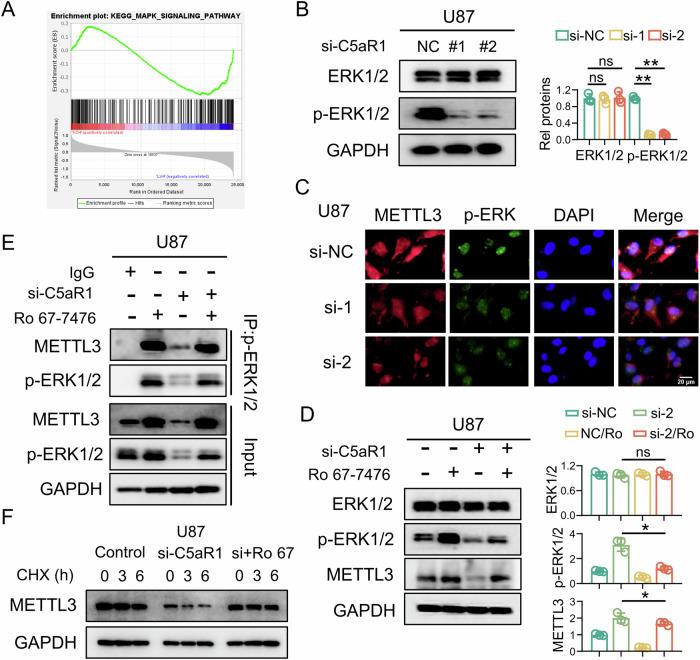
Glioblastoma (GBM) is the most common primary intracranial malignant tumor. Recent literature suggests that induction of programmed death has become a mainstream cancer treatment strategy, with ferroptosis being the most widely studied mode. Complement C5a receptor 1 (C5aR1) is associated with both tumorigenesis and tumor-related immunity. However, knowledge regarding the role of C5aR1 in GBM progression is limited. In the present study, we observed significant upregulation of C5aR1 in glioma tissue. In addition, C5aR1 expression was found to be closely associated with patient prognosis and survival. Subsequent experimental verification demonstrated that C5aR1 promoted the progression of GBM mainly by suppressing ferroptosis induction, inhibiting the accumulation of lipid peroxides, and stabilizing the expression of the core antiferroptotic factor glutathione peroxidase 4 (GPX4). Aberrant N6-methyladenosine (m6A) modification of GPX4 mRNA contributes significantly to epigenetic tumorigenesis, and here, we report that selective methyltransferase-like 3 (METTL3)-dependent m6A methylation of GPX4 plays a key role in C5AR1 knockdown-induced ferroptosis induction. Mechanistically, ERK1/2 signaling pathway activation increases the METTL3 protein abundance in GBM cells. This activation then increases the stability of METTL3-mediated m6A modifications on GPX4, enabling it to fulfill its transcriptional function. More importantly, in an intracranial xenograft mouse model, PMX205, a C5aR1 inhibitor, promoted alterations in ferroptosis in GBM cells and inhibited GBM progression. In conclusion, our findings suggest that C5aR1 inhibits ferroptosis in GBM cells and promotes MettL3-dependent GPX4 expression through ERK1/2, thereby promoting glioma progression. Our study reveals a novel mechanism by which the intracellular complement receptor C5aR1 suppresses ferroptosis induction and promotes GBM progression. These findings may facilitate the identification of a potential therapeutic target for glioma.

摘要

胶质母细胞瘤(GBM)是最常见的原发性颅内恶性肿瘤。最近的文献表明,诱导程序性死亡已成为一种主流的癌症治疗策略,铁死亡是研究最多的模式。补体 C5a 受体 1(C5aR1)与肿瘤发生和肿瘤相关免疫有关。然而,关于 C5aR1 在 GBM 进展中的作用的知识有限。在本研究中,我们观察到在神经胶质瘤组织中 C5aR1 的显著上调。此外,C5aR1 的表达与患者的预后和生存密切相关。随后的实验验证表明,C5aR1 主要通过抑制铁死亡诱导、抑制脂质过氧化物的积累以及稳定核心抗铁死亡因子谷胱甘肽过氧化物酶 4(GPX4)的表达来促进 GBM 的进展。GPX4mRNA 的异常 N6-甲基腺苷(m6A)修饰对表观遗传肿瘤发生有重要贡献,在这里,我们报告选择性甲基转移酶样 3(METTL3)依赖性 GPX4 的 m6A 甲基化在 C5aR1 敲低诱导的铁死亡诱导中起关键作用。在机制上,ERK1/2 信号通路的激活增加了 GBM 细胞中 METTL3 蛋白的丰度。这种激活增加了 METTL3 介导的 GPX4m6A 修饰的稳定性,使其能够发挥其转录功能。更重要的是,在颅内异种移植小鼠模型中,C5aR1 抑制剂 PMX205 促进了 GBM 细胞中铁死亡的改变,并抑制了 GBM 的进展。总之,我们的研究结果表明,C5aR1 通过 ERK1/2 抑制 GBM 细胞中的铁死亡,并促进 MettL3 依赖性 GPX4 的表达,从而促进神经胶质瘤的进展。我们的研究揭示了细胞内补体受体 C5aR1 通过抑制铁死亡诱导和促进 GBM 进展来抑制铁死亡诱导的新机制。这些发现可能有助于确定潜在的治疗神经胶质瘤的靶点。

https://cdn.ncbi.nlm.nih.gov/pmc/blobs/2dc5/11455874/959b8378be8f/41419_2024_6963_Fig1_HTML.jpg

文献AI研究员

20分钟写一篇综述,助力文献阅读效率提升50倍。

立即体验

用中文搜PubMed

大模型驱动的PubMed中文搜索引擎

马上搜索

文档翻译

学术文献翻译模型,支持多种主流文档格式。

立即体验