Suppr超能文献

髓鞘再生可保护神经元免受 DLK 介导的神经退行性变。

Remyelination protects neurons from DLK-mediated neurodegeneration.

机构信息

Department of Neurology, Jungers Center for Neurosciences Research, Oregon Health & Science University, Portland, OR, 97239, USA.

Department of Chemical Physiology and Biochemistry, Oregon Health & Science University, Portland, OR, 97239, USA.

出版信息

Nat Commun. 2024 Oct 23;15(1):9148. doi: 10.1038/s41467-024-53429-5.

Abstract

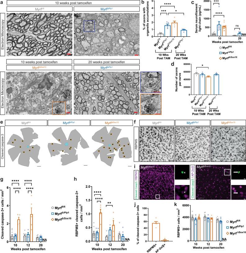
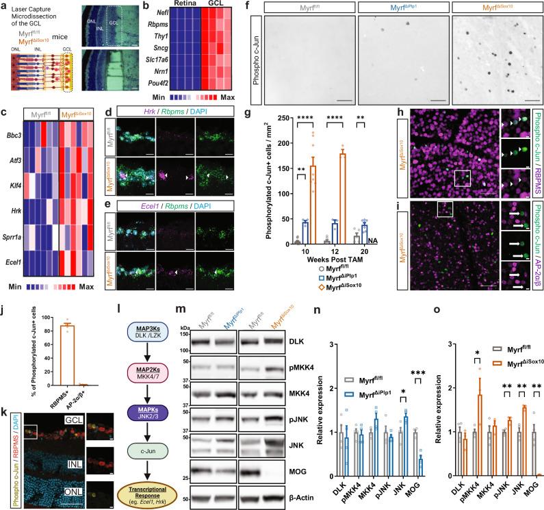
Chronic demyelination and oligodendrocyte loss deprive neurons of crucial support. It is the degeneration of neurons and their connections that drives progressive disability in demyelinating disease. However, whether chronic demyelination triggers neurodegeneration and how it may do so remain unclear. We characterize two genetic mouse models of inducible demyelination, one distinguished by effective remyelination and the other by remyelination failure and chronic demyelination. While both demyelinating lines feature axonal damage, mice with blocked remyelination have elevated neuronal apoptosis and altered microglial inflammation, whereas mice with efficient remyelination do not feature neuronal apoptosis and have improved functional recovery. Remyelination incapable mice show increased activation of kinases downstream of dual leucine zipper kinase (DLK) and phosphorylation of c-Jun in neuronal nuclei. Pharmacological inhibition or genetic disruption of DLK block c-Jun phosphorylation and the apoptosis of demyelinated neurons. Together, we demonstrate that remyelination is associated with neuroprotection and identify DLK inhibition as protective strategy for chronically demyelinated neurons.

摘要

慢性脱髓鞘和少突胶质细胞丢失剥夺了神经元至关重要的支持。正是神经元及其连接的退化导致脱髓鞘疾病的进行性残疾。然而,慢性脱髓鞘是否会引发神经退行性变,以及它可能如何引发,目前仍不清楚。我们描述了两种可诱导脱髓鞘的遗传小鼠模型,一种模型的特点是有效髓鞘再生,另一种模型的特点是髓鞘再生失败和慢性脱髓鞘。虽然这两种脱髓鞘模型都有轴突损伤,但髓鞘再生受阻的小鼠表现出神经元凋亡增加和小胶质细胞炎症改变,而髓鞘再生有效的小鼠则没有神经元凋亡,并表现出功能恢复改善。不能进行髓鞘再生的小鼠表现出双亮氨酸拉链激酶 (DLK) 下游激酶的活性增加和神经元核中 c-Jun 的磷酸化。DLK 的药理学抑制或基因缺失可阻断 c-Jun 的磷酸化和脱髓鞘神经元的凋亡。总之,我们证明了髓鞘再生与神经保护有关,并确定了 DLK 抑制作为慢性脱髓鞘神经元的保护策略。

https://cdn.ncbi.nlm.nih.gov/pmc/blobs/189b/11500002/8a1811565dd2/41467_2024_53429_Fig1_HTML.jpg

文献AI研究员

20分钟写一篇综述,助力文献阅读效率提升50倍。

立即体验

用中文搜PubMed

大模型驱动的PubMed中文搜索引擎

马上搜索

文档翻译

学术文献翻译模型,支持多种主流文档格式。

立即体验