Suppr超能文献

旋毛虫新型谷氨酸脱氢酶的生物学特性及功能

Biological characteristics and functions of a novel glutamate dehydrogenase from Trichinella spiralis.

出版信息

Parasite. 2024;31:65. doi: 10.1051/parasite/2024065. Epub 2024 Oct 28.

Abstract

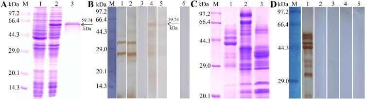
Glutamate dehydrogenase (GDH) plays an important role in the metabolism of organisms. Its high abundance in mitochondria in particular highlights its core role in cellular physiological processes. GDH catalyzes the mutual conversion between L-glutamic acid and α-ketoglutaric acids. At the same time, this transformation is accompanied by the oxidation-reduction of NAD(H) or NADP(H). This process not only helps to link amino acid metabolism with sugar metabolism, but also helps maintain the balance of intracellular pH and nitrogen homeostasis. In this study, a novel Trichinella spiralis glutamate dehydrogenase (TsGDH) was cloned, expressed and identified. The results revealed that TsGDH was expressed at various stages of development of the nematode T. spiralis, with higher expression levels in the adult worm stage, and was mainly localized in the cuticle, muscular layer, stichosome and female intrauterine embryos. After RNAi treatment, larval natural TsGDH enzyme activity was obviously reduced, and metabolism, molting, growth and reproduction were also significantly inhibited. The results indicate that TsGDH plays an important role in the development and survival of T. spiralis, and it may be a potential molecular target of anti-Trichinella vaccines and drugs.

摘要

谷氨酸脱氢酶(GDH)在生物体的代谢中发挥着重要作用。其在线粒体中含量丰富,这突出了它在细胞生理过程中的核心作用。GDH 催化 L-谷氨酸和 α-酮戊二酸之间的相互转化。同时,这种转化伴随着 NAD(H)或 NADP(H)的氧化还原。这个过程不仅有助于将氨基酸代谢与糖代谢联系起来,还有助于维持细胞内 pH 值和氮平衡。在这项研究中,克隆、表达和鉴定了一种新型旋毛虫谷氨酸脱氢酶(TsGDH)。结果表明,TsGDH 在旋毛虫线虫的各个发育阶段都有表达,在成虫阶段的表达水平更高,主要定位于虫体的角质层、肌肉层、皮层和雌性子宫内的胚胎中。经过 RNAi 处理后,幼虫体内天然 TsGDH 酶活性明显降低,代谢、蜕皮、生长和繁殖也受到明显抑制。结果表明,TsGDH 在旋毛虫的发育和生存中起着重要作用,它可能是抗旋毛虫疫苗和药物的潜在分子靶标。

https://cdn.ncbi.nlm.nih.gov/pmc/blobs/be66/11514599/e9bfd5215196/parasite-31-65-fig1.jpg

文献AI研究员

20分钟写一篇综述,助力文献阅读效率提升50倍。

立即体验

用中文搜PubMed

大模型驱动的PubMed中文搜索引擎

马上搜索

文档翻译

学术文献翻译模型,支持多种主流文档格式。

立即体验