Suppr超能文献

1型单纯疱疹病毒肺炎或定植的诊断困境:一例报告

Diagnostic Dilemma of Herpes Simplex Virus Type 1 Pneumonia or Colonization: A Case Report.

作者信息

Zhong Jia-Jie, Tsai Chia-Hung, Lee Wen-Ying

机构信息

Department of Internal Medicine, Chi Mei Medical Center, Tainan, Taiwan.

Division of Infectious Disease, Department of Internal Medicine, Chi Mei Medical Center, Tainan, Taiwan.

出版信息

Infect Drug Resist. 2024 Oct 25;17:4649-4653. doi: 10.2147/IDR.S482829. eCollection 2024.

Abstract

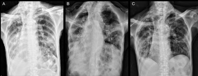
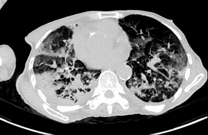
Herpes simplex virus type 1 (HSV1) pneumonia presents diagnostic challenges due to there being no gold-standard criteria currently. Specimens from bronchoalveolar lavage can increase specificity, and cytohistological examination can prove virus infection. Patients with high viral load have been reported with poor outcomes and benefited from antiviral agent. We describe an 80-year-old man with severe pneumonia who initially showed improvement without antiviral therapy, despite viral inclusion bodies on sputum cytology and positive HSV1 polymerase chain reaction from sputum, though subsequent clinical deterioration due to infection necessitated intensive care. This case highlights the complexities of diagnosing and managing HSV1 pneumonia, emphasizing the importance of integrating clinical suspicion, radiological imaging, and laboratory tests for timely therapeutic decisions in critically ill patients.

摘要

由于目前尚无金标准诊断标准,1型单纯疱疹病毒(HSV1)肺炎的诊断面临挑战。支气管肺泡灌洗标本可提高特异性,细胞组织学检查可证实病毒感染。据报道,病毒载量高的患者预后较差,抗病毒药物治疗有益。我们描述了一名80岁的重症肺炎男性患者,尽管痰细胞学检查发现病毒包涵体且痰HSV1聚合酶链反应呈阳性,但最初未接受抗病毒治疗时病情有所改善,不过随后因感染导致临床病情恶化,需要重症监护。该病例凸显了HSV1肺炎诊断和管理的复杂性,强调了在重症患者中综合临床怀疑、影像学检查和实验室检查以做出及时治疗决策的重要性。

https://cdn.ncbi.nlm.nih.gov/pmc/blobs/6e24/11520726/b01ffe57f9eb/IDR-17-4649-g0001.jpg

文献AI研究员

20分钟写一篇综述,助力文献阅读效率提升50倍。

立即体验

用中文搜PubMed

大模型驱动的PubMed中文搜索引擎

马上搜索

文档翻译

学术文献翻译模型,支持多种主流文档格式。

立即体验