Suppr超能文献

具核梭杆菌来源的外膜囊泡通过宿主过度免疫引发牙周炎。

Outer Membrane Vesicles Derived From Fusobacterium nucleatum Trigger Periodontitis Through Host Overimmunity.

作者信息

Zhang Li, Zhang Demao, Liu Chengcheng, Tang Boyu, Cui Yujia, Guo Daimo, Duan Mengmeng, Tu Ying, Zheng Huiling, Ning Xinjie, Liu Yang, Chen Haoran, Huang Minglei, Niu Zhixing, Zhao Yanfang, Liu Xiaoheng, Xie Jing

机构信息

State Key Laboratory of Oral Diseases & National Center for Stomatology & National Clinical Research Center for Oral Diseases, West China Hospital of Stomatology, Sichuan University, Chengdu, Sichuan, 610041, China.

Institute of Biomedical Engineering, West China School of Basic Medical Sciences and Forensic Medicine, Sichuan University, Chengdu, 610041, China.

出版信息

Adv Sci (Weinh). 2024 Dec;11(47):e2400882. doi: 10.1002/advs.202400882. Epub 2024 Oct 30.

Abstract

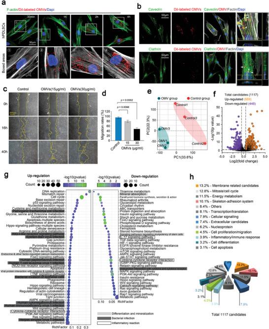
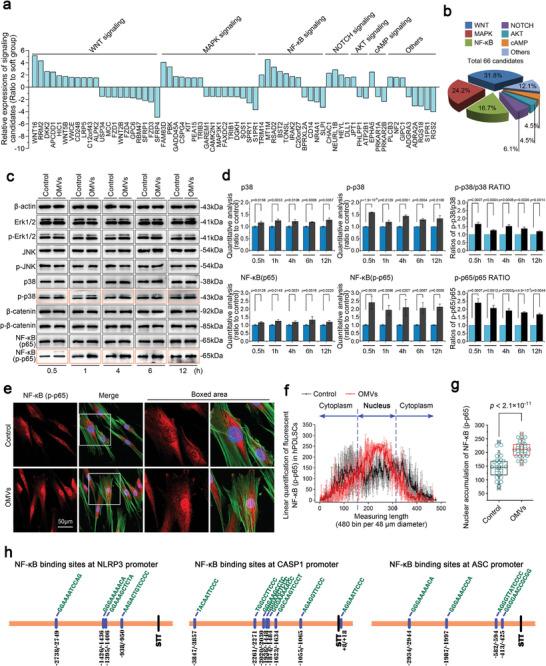
The virulent bacteria-induced host immune response dominates the occurrence and progression of periodontal diseases because of the roles of individual virulence factors from these pathogens in the initiation and spread of inflammation. Outer membrane vesicles (OMVs) as a pathogenic entity have recently attracted great attention as messenger bridges between bacteria and host tissues. Herein, the novel role of OMVs derived from Fusobacterium nucleatum in the occurrence of periodontitis is dissected. In a rat periodontitis model, it is found that OMVs derived from F. nucleatum caused deterioration of periodontitis by enhancing inflammation of the periodontium and absorption of alveolar bone, which is almost equivalent to the effect of F. nucleatum itself. Furthermore, that OMVs can independently induce periodontitis is shown. The pathogenicity of OMVs is attributed to multiple pathogenic components identified by omics. After entering human periodontal ligament stem cells (hPDLSCs) by endocytosis, OMVs activated NLRP3 inflammasomes and impaired the mineralization of hPDLSCs through NF-κB (p65) signaling, leading to the final injury of the periodontium and damage of alveolar bone in periodontitis. These results provide a new understanding of OMVs derived from pathogens and cues for the prevention of periodontitis.

摘要

由于这些病原体的个别毒力因子在炎症的起始和扩散中发挥作用,毒力细菌诱导的宿主免疫反应主导了牙周疾病的发生和发展。外膜囊泡(OMVs)作为一种致病实体,最近作为细菌与宿主组织之间的信使桥梁而备受关注。在此,剖析了具核梭杆菌来源的OMVs在牙周炎发生中的新作用。在大鼠牙周炎模型中,发现具核梭杆菌来源的OMVs通过增强牙周组织炎症和牙槽骨吸收导致牙周炎恶化,这几乎等同于具核梭杆菌本身的作用。此外,还表明OMVs可独立诱导牙周炎。OMVs的致病性归因于组学鉴定出的多种致病成分。通过内吞作用进入人牙周膜干细胞(hPDLSCs)后,OMVs激活NLRP3炎性小体并通过NF-κB(p65)信号通路损害hPDLSCs的矿化,导致牙周炎中牙周组织的最终损伤和牙槽骨的破坏。这些结果为病原体来源的OMVs提供了新的认识,并为牙周炎的预防提供了线索。

https://cdn.ncbi.nlm.nih.gov/pmc/blobs/a35f/11653712/ed8685c12b29/ADVS-11-2400882-g006.jpg

文献AI研究员

20分钟写一篇综述,助力文献阅读效率提升50倍。

立即体验

用中文搜PubMed

大模型驱动的PubMed中文搜索引擎

马上搜索

文档翻译

学术文献翻译模型,支持多种主流文档格式。

立即体验