Suppr超能文献

局部注射富含脂肪间充质干细胞的透明质酸凝胶通过旁分泌激活过氧化物酶体增殖物激活受体β/δ通路促进压迫性溃疡的皮肤再生和血管生成。

Topical hADSCs-HA Gel Promotes Skin Regeneration and Angiogenesis in Pressure Ulcers by Paracrine Activating PPARβ/δ Pathway.

机构信息

Department of Plastic and Aesthetic Center, The First Affiliated Hospital, School of Medicine, Zhejiang University, Hangzhou, Zhejiang, 310003, People's Republic of China.

School of Medicine, Zhejiang University, Hangzhou, Zhejiang, 310020, People's Republic of China.

出版信息

Drug Des Devel Ther. 2024 Oct 26;18:4799-4824. doi: 10.2147/DDDT.S474628. eCollection 2024.

Abstract

BACKGROUND

Pressure ulcer is common in the bedridden elderly with high mortality and lack of effective treatment. In this study, human-adipose-derived-stem-cells-hyaluronic acid gel (hADSCs-HA gel) was developed and applied topically to treat pressure ulcers, of which efficacy and paracrine mechanisms were investigated through in vivo and in vitro experiments.

METHODS

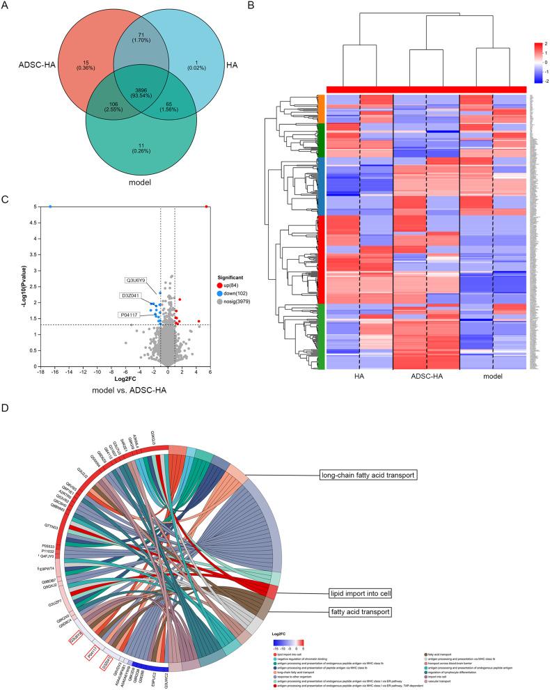
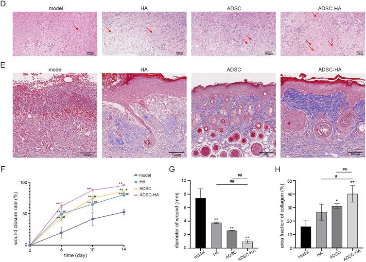
Pressure ulcers were established on the backs of C57BL/6 mice and treated topically with hADSCs-HA gel, hADSCs, hyaluronic acid, and normal saline respectively. The rate of wound closure was observed continuously during the following 14 days and the wound samples were obtained for Western blot, histopathology, immunohistochemistry, and proteomic analysis. Human dermal fibroblasts (HDFs) and human venous endothelial cells (HUVECs) under normal or hypoxic conditions were treated with conditioned medium of human ADSCs (ADSC-CM), then CCK-8, scratch test, tube formation, and Western blot were conducted to evaluate the paracrine effects of hADSCs and to explore the underlying mechanism.

RESULTS

The in vivo data demonstrated that hADSCs-HA gel significantly accelerated the healing of pressure ulcers by enhancing collagen expression, angiogenesis, and skin proliferation. The in vitro data revealed that hADSCs strengthened the proliferation and wound healing capabilities of HDFs and HUVECs, meanwhile promoted collagen secretion and tube formation through paracrine mode. ADSC-CM was also proved to exert protective effects on hypoxic HDFs and HUVECs. Besides, the results of proteomic analysis and Western blot elucidated that lipid metabolism and PPARβ/δ pathway mediated the healing effect of hADSCs-HA gel on pressure ulcers.

CONCLUSION

Our research showed that topical application of hADSCs-HA gel played an important role in dermal regeneration and angiogenesis. Therefore, hADSCs-HA gel exhibited the potential as a novel stem-cell-based therapeutic strategy of treating pressure ulcers in clinical practices.

摘要

背景

压疮是卧床不起的老年患者中常见的问题,具有高死亡率且缺乏有效治疗手段。在本研究中,我们开发了人脂肪干细胞-透明质酸凝胶(hADSCs-HA 凝胶)并将其用于治疗压疮,通过体内和体外实验研究了其疗效和旁分泌机制。

方法

在 C57BL/6 小鼠背部建立压疮模型,分别用 hADSCs-HA 凝胶、hADSCs、透明质酸和生理盐水进行局部治疗。在接下来的 14 天内连续观察伤口愈合率,并获取伤口样本进行 Western blot、组织病理学、免疫组织化学和蛋白质组学分析。在正常或缺氧条件下,用人真皮成纤维细胞(HDFs)和人静脉内皮细胞(HUVECs)处理人脂肪干细胞条件培养基(ADSC-CM),然后进行 CCK-8、划痕试验、管形成和 Western blot 实验,以评估 hADSCs 的旁分泌作用,并探讨其潜在机制。

结果

体内数据表明,hADSCs-HA 凝胶通过增强胶原表达、血管生成和皮肤增殖,显著加速压疮的愈合。体外数据显示,hADSCs 增强了 HDFs 和 HUVECs 的增殖和伤口愈合能力,同时通过旁分泌方式促进胶原分泌和管形成。ADSC-CM 也被证明对缺氧 HDFs 和 HUVECs 具有保护作用。此外,蛋白质组学分析和 Western blot 的结果表明,脂质代谢和过氧化物酶体增殖物激活受体β/δ(PPARβ/δ)通路介导了 hADSCs-HA 凝胶对压疮的愈合作用。

结论

我们的研究表明,hADSCs-HA 凝胶局部应用在皮肤再生和血管生成中起着重要作用。因此,hADSCs-HA 凝胶作为一种新型的基于干细胞的治疗压疮的策略具有潜在的临床应用价值。

https://cdn.ncbi.nlm.nih.gov/pmc/blobs/44a2/11523932/10b963489d92/DDDT-18-4799-g0001.jpg

文献AI研究员

20分钟写一篇综述,助力文献阅读效率提升50倍。

立即体验

用中文搜PubMed

大模型驱动的PubMed中文搜索引擎

马上搜索

文档翻译

学术文献翻译模型,支持多种主流文档格式。

立即体验