Suppr超能文献

METTL14通过抑制胃癌中的ATF5/WDR74/β-连环蛋白轴来减弱癌症干性。

METTL14 attenuates cancer stemness by suppressing ATF5/WDR74/β-catenin axis in gastric cancer.

作者信息

Zhang Peiling, Xiang Hong, Peng Qian, Ma Lujuan, Weng Chengyin, Liu Guolong, Lu Lin

机构信息

Department of Medical Oncology, Guangzhou First People's Hospital, South China University of Technology, Guangzhou, China.

Department of Medical Oncology, Guangzhou First People's Hospital, Guangzhou Medica University.

出版信息

Cancer Sci. 2025 Jan;116(1):112-127. doi: 10.1111/cas.16381. Epub 2024 Nov 4.

Abstract

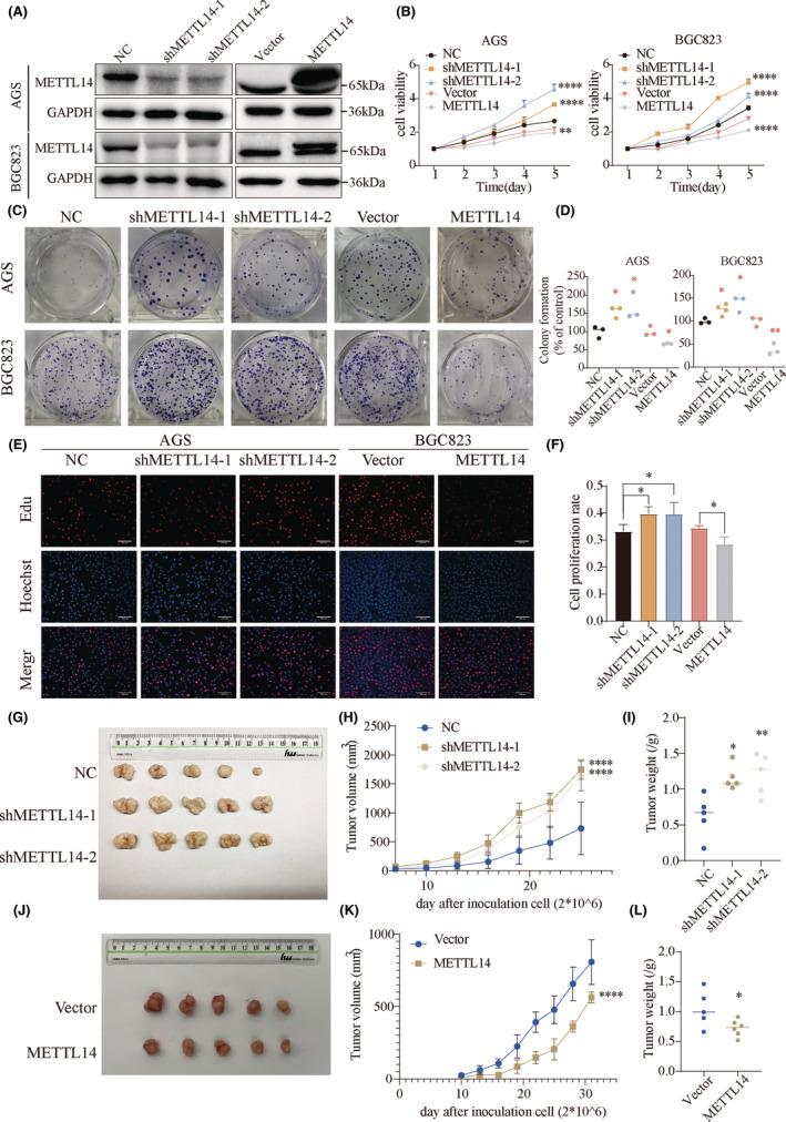
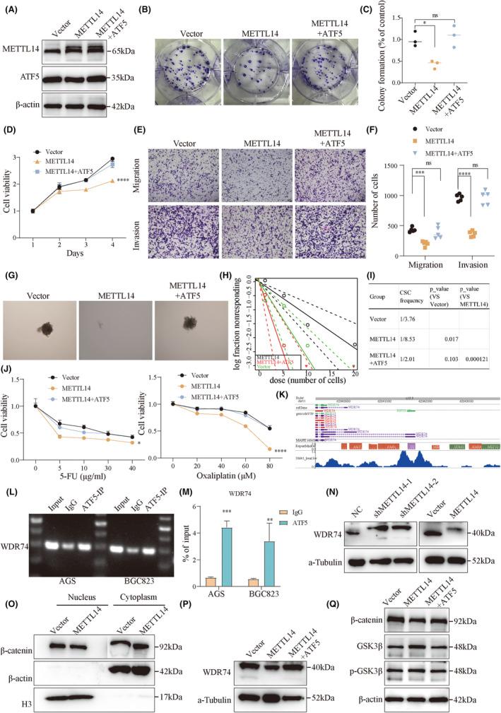
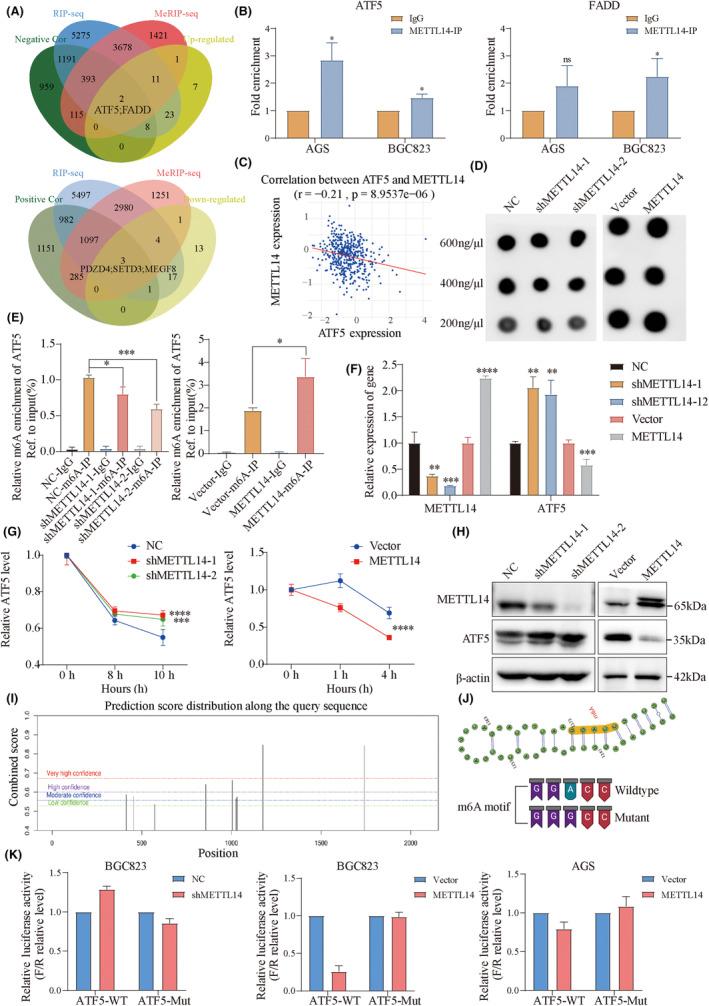
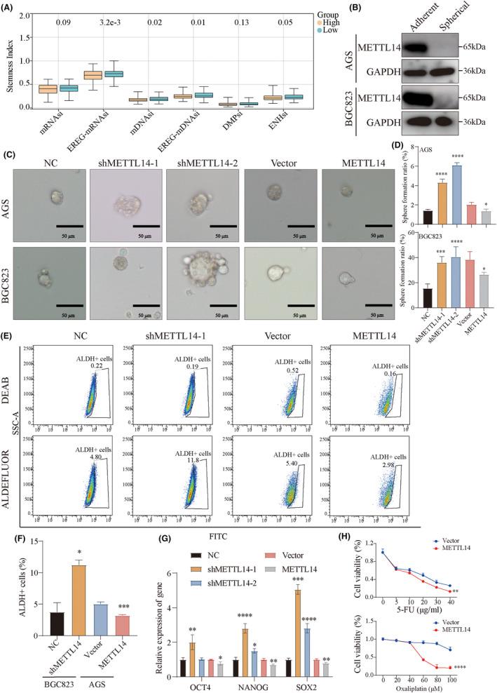
Stemness is a key factor contributing to treatment failure in gastric cancer (GC). Methyltransferase-like 14 (METTL14) has been linked to various cancers, though its specific role in regulating stemness in GC remains undefined. In this study, we assessed METTL14 expression levels in GC tissues using public datasets and clinical specimens and investigated its impact on cell proliferation, metastasis, and stemness both in vitro and in vivo. Through m6A RNA immunoprecipitation (MeRIP) and luciferase reporter assays, we identified downstream targets of METTL14. Rescue assays were performed to examine whether METTL14 overexpression could reverse stemness in GC. We also explored the underlying mechanisms using chromatin immunoprecipitation (ChIP) and western blot analysis, focusing on the role of ATF5 and the upstream regulation of METTL14. Our findings show that lower METTL14 expression is associated with poorer overall survival in GC patients. Functionally, METTL14 knockdown enhanced stemness traits in GC cells. Mechanistically, METTL14 facilitated m6A modification, promoting the degradation of ATF5 mRNA. Overexpression of ATF5 reversed the stemness inhibition caused by METTL14 overexpression by increasing WDR74 transcription and enhancing β-catenin nuclear translocation. Furthermore, histone H3 lactylation at Lys18 was found to upregulate METTL14 expression. In conclusion, METTL14 knockdown promotes stemness in GC by mediating m6A modification of ATF5 mRNA, which activates the WDR74/β-catenin axis, making METTL14 a potential therapeutic target for gastric cancer treatment.

摘要

干性是导致胃癌(GC)治疗失败的关键因素。甲基转移酶样14(METTL14)与多种癌症有关,但其在调节GC干性中的具体作用尚不清楚。在本研究中,我们使用公共数据集和临床标本评估了GC组织中METTL14的表达水平,并研究了其在体外和体内对细胞增殖、转移和干性的影响。通过m6A RNA免疫沉淀(MeRIP)和荧光素酶报告基因检测,我们确定了METTL14的下游靶点。进行了挽救实验以检查METTL14过表达是否能逆转GC中的干性。我们还使用染色质免疫沉淀(ChIP)和蛋白质免疫印迹分析探索了潜在机制,重点关注ATF5的作用和METTL14的上游调控。我们的研究结果表明,METTL14表达降低与GC患者较差的总生存期相关。在功能上,METTL14敲低增强了GC细胞的干性特征。在机制上,METTL14促进m6A修饰,促进ATF5 mRNA的降解。ATF5的过表达通过增加WDR74转录和增强β-连环蛋白核转位,逆转了METTL14过表达引起的干性抑制。此外,发现赖氨酸18处的组蛋白H3乳酸化上调了METTL14的表达。总之,METTL14敲低通过介导ATF5 mRNA的m6A修饰促进GC中的干性,从而激活WDR74/β-连环蛋白轴,使METTL14成为胃癌治疗的潜在治疗靶点。

https://cdn.ncbi.nlm.nih.gov/pmc/blobs/6e4a/11711053/1c0d300abb01/CAS-116-112-g005.jpg

文献AI研究员

20分钟写一篇综述,助力文献阅读效率提升50倍。

立即体验

用中文搜PubMed

大模型驱动的PubMed中文搜索引擎

马上搜索

文档翻译

学术文献翻译模型,支持多种主流文档格式。

立即体验