Suppr超能文献

IGFBP7 是衰老相关分泌表型 (SASP) 的关键组成部分,通过调节胰岛素、IGF 和激活素 A 途径诱导健康细胞衰老。

IGFBP7 is a key component of the senescence-associated secretory phenotype (SASP) that induces senescence in healthy cells by modulating the insulin, IGF, and activin A pathways.

机构信息

Department of Experimental Medicine, Luigi Vanvitelli Campania University, Naples, Italy.

College of Medicine and Health Sciences, Bahir Dar University, Bahir Dar, Ethiopia.

出版信息

Cell Commun Signal. 2024 Nov 12;22(1):540. doi: 10.1186/s12964-024-01921-2.

Abstract

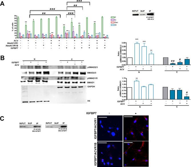
Senescent cells exert their effects through the release of various factors, collectively referred to as the senescence-associated secretory phenotype (SASP). The SASP can induce senescence in healthy cells (secondary senescence), modulate immune system function, reshape the extracellular matrix, and facilitate cancer progression.Among SASP components, certain factors act as key regulators in the induction of secondary senescence. In this study, we evaluated the role of IGFBP7, a crucial SASP component. Our results demonstrated that ROS-prostaglandin signaling is involved in the release of IGFBP7. Furthermore, neutralizing antibodies targeting IGFBP7 attenuated the SASP's pro-senescence activity. Cells incubated with IGFBP7 also entered a state of senescence.The senescence induced by IGFBP7 appears to be mediated through three primary pathways. First, IGFBP7 can bind to insulin, thereby inhibiting its anti-senescence and pro-growth effects. In addition to this inhibitory effect on the insulin pathway, IGFBP7 may enhance IGFII pro-senescence signaling by promoting its interaction with IGF2R while blocking IGF1R. These activities are dependent on ERK and AKT signaling pathways. Finally, IGFBP7 and Activin A, both of which can induce cellular senescence, appear to regulate and inhibit each other, suggesting a compensatory mechanism to prevent excessive senescence. Notably, our preliminary data indicate that IGFBP7, in addition to blocking Activin A, may interact with its receptors and induce senescence via SMAD pathways.Our findings highlight that IGFBP7, along with other members of the IGFBP family, plays a pivotal role in senescence-related signaling pathways. Therefore, IGFBP7 may serve as a potential target for anti-aging strategies aimed at reducing the burden of senescence on tissues and organs.

摘要

衰老细胞通过释放各种因子来发挥作用,这些因子统称为衰老相关分泌表型(SASP)。SASP 可以诱导健康细胞衰老(二次衰老),调节免疫系统功能,重塑细胞外基质,并促进癌症进展。在 SASP 成分中,某些因子作为诱导二次衰老的关键调节剂。在这项研究中,我们评估了 IGFBP7 作为 SASP 关键成分的作用。我们的结果表明,ROS-前列腺素信号参与 IGFBP7 的释放。此外,针对 IGFBP7 的中和抗体可减弱 SASP 的促衰老活性。用 IGFBP7 孵育的细胞也进入衰老状态。IGFBP7 诱导的衰老似乎通过三种主要途径介导。首先,IGFBP7 可以与胰岛素结合,从而抑制其抗衰老和促生长作用。除了对胰岛素途径的这种抑制作用外,IGFBP7 还可以通过促进其与 IGF2R 的相互作用并阻断 IGF1R 来增强 IGFII 促衰老信号。这些活性依赖于 ERK 和 AKT 信号通路。最后,IGFBP7 和 Activin A 都可以诱导细胞衰老,它们似乎相互调节和抑制,表明存在一种补偿机制以防止过度衰老。值得注意的是,我们的初步数据表明,IGFBP7 除了阻断 Activin A 外,还可能与其受体相互作用并通过 SMAD 途径诱导衰老。我们的研究结果强调,IGFBP7 与 IGFBP 家族的其他成员一起,在与衰老相关的信号通路中发挥关键作用。因此,IGFBP7 可能成为旨在减轻衰老对组织和器官负担的抗衰老策略的潜在靶标。

https://cdn.ncbi.nlm.nih.gov/pmc/blobs/00c6/11558980/06dc3c45e6d9/12964_2024_1921_Fig1_HTML.jpg

文献AI研究员

20分钟写一篇综述,助力文献阅读效率提升50倍。

立即体验

用中文搜PubMed

大模型驱动的PubMed中文搜索引擎

马上搜索

文档翻译

学术文献翻译模型,支持多种主流文档格式。

立即体验