Suppr超能文献

一种迷走神经主导的四突触上行通路,用于处理胃痛。

A vagus nerve dominant tetra-synaptic ascending pathway for gastric pain processing.

机构信息

Clinical Research Center of Neurological Disease, The Second Affiliated Hospital of Soochow University, Jiangsu Key Laboratory of Neuropsychiatric Diseases and Institute of Neuroscience, Soochow University, Suzhou, China.

Department of Gastroenterology, The First Affiliated Hospital of Soochow University, Suzhou, China.

出版信息

Nat Commun. 2024 Nov 13;15(1):9824. doi: 10.1038/s41467-024-54056-w.

Abstract

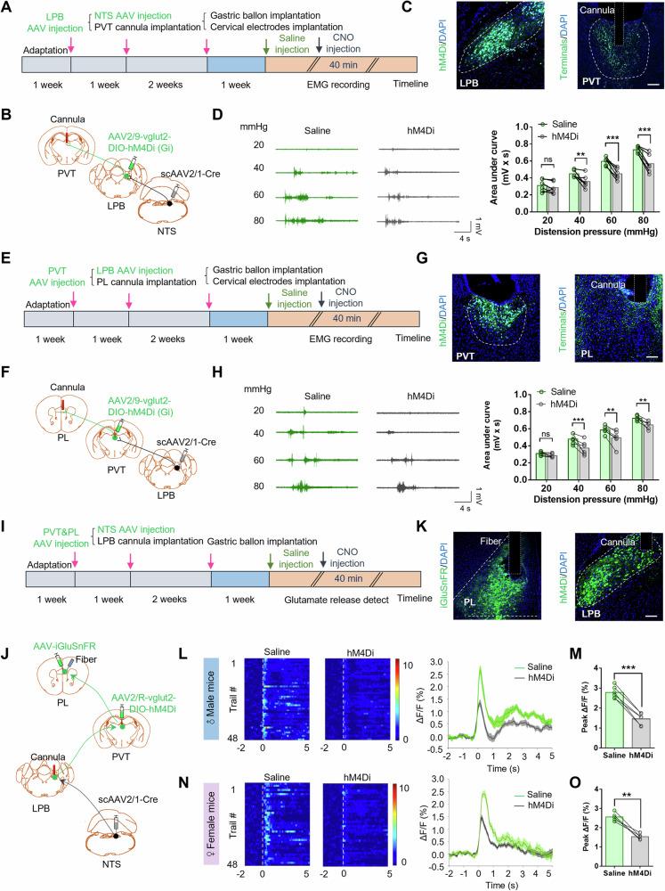
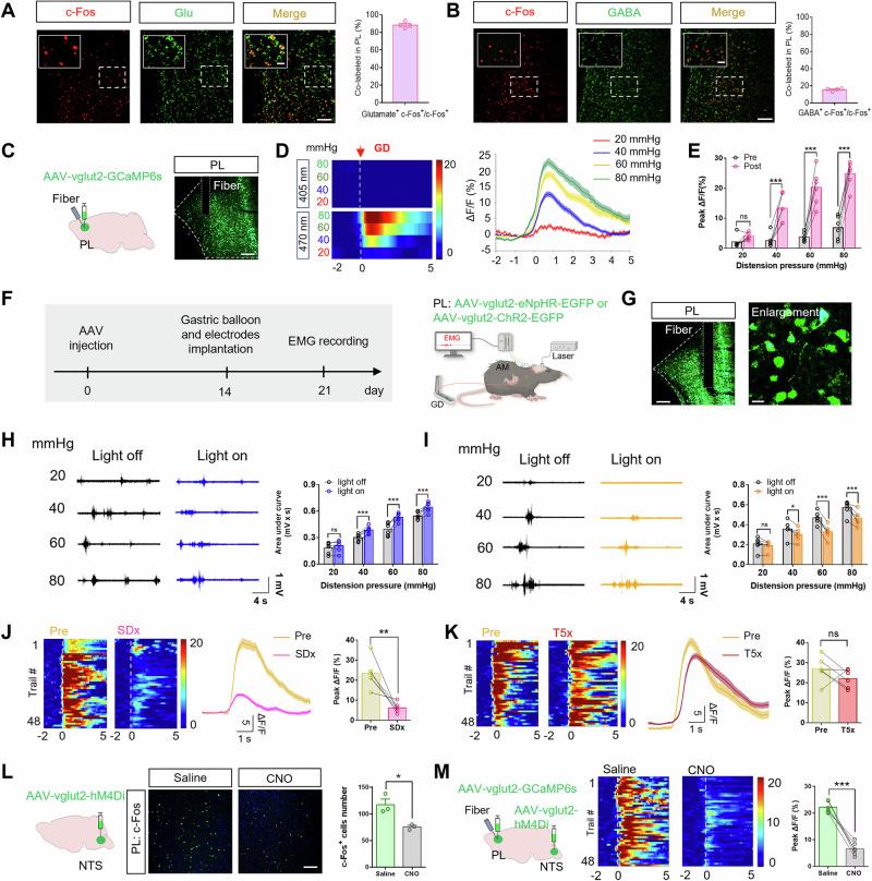
Gastric pain has limited treatment options and the mechanisms within the central circuitry remain largely unclear. This study investigates the central circuitry in gastric pain induced by noxious gastric distension (GD) in mice. Here, we identified that the nucleus tractus solitarius (NTS) serves as the first-level center of gastric pain, primarily via the vagus nerve. The prelimbic cortex (PL) is engaged in the perception of gastric pain. The lateral parabrachial nucleus (LPB) and the paraventricular thalamic nucleus (PVT) are crucial regions for synaptic transmission from the NTS to the PL. The glutamatergic tetra-synaptic NTS-LPB-PVT-PL circuitry is necessary and sufficient for the processing of gastric pain. Overall, our finding reveals a glutamatergic tetra-synaptic NTS-LPB-PVT-PL circuitry that transmits gastric nociceptive signaling by the vagus nerve in mice. It provides an insight into the gastric pain ascending pathway and offers potential therapeutic targets for relieving visceral pain.

摘要

胃疼痛的治疗选择有限,其中枢回路的机制在很大程度上仍不清楚。本研究在小鼠有害性胃扩张(GD)诱导的胃疼痛中调查了中枢回路。在这里,我们确定孤束核(NTS)作为胃疼痛的第一级中枢,主要通过迷走神经。额前皮质(PL)参与胃疼痛的感知。外侧臂旁核(LPB)和室旁丘脑核(PVT)是 NTS 到 PL 的突触传递的关键区域。谷氨酸能四突触 NTS-LPB-PVT-PL 回路对于胃疼痛的处理是必要且充分的。总的来说,我们的发现揭示了一个谷氨酸能四突触 NTS-LPB-PVT-PL 回路,通过迷走神经在小鼠中传递胃伤害性信号。它为胃疼痛上行通路提供了深入了解,并为缓解内脏疼痛提供了潜在的治疗靶点。

https://cdn.ncbi.nlm.nih.gov/pmc/blobs/5b0f/11561356/ee60ac1ed2fb/41467_2024_54056_Fig1_HTML.jpg

文献AI研究员

20分钟写一篇综述,助力文献阅读效率提升50倍。

立即体验

用中文搜PubMed

大模型驱动的PubMed中文搜索引擎

马上搜索

文档翻译

学术文献翻译模型,支持多种主流文档格式。

立即体验