Suppr超能文献

癌细胞损害单核细胞介导的T细胞刺激以逃避免疫。

Cancer cells impair monocyte-mediated T cell stimulation to evade immunity.

作者信息

Elewaut Anais, Estivill Guillem, Bayerl Felix, Castillon Leticia, Novatchkova Maria, Pottendorfer Elisabeth, Hoffmann-Haas Lisa, Schönlein Martin, Nguyen Trung Viet, Lauss Martin, Andreatta Francesco, Vulin Milica, Krecioch Izabela, Bayerl Jonas, Pedde Anna-Marie, Fabre Naomi, Holstein Felix, Cronin Shona M, Rieser Sarah, Laniti Denarda Dangaj, Barras David, Coukos George, Quek Camelia, Bai Xinyu, Muñoz I Ordoño Miquel, Wiesner Thomas, Zuber Johannes, Jönsson Göran, Böttcher Jan P, Vanharanta Sakari, Obenauf Anna C

机构信息

Research Institute of Molecular Pathology (IMP), Vienna BioCenter (VBC), Vienna, Austria.

Vienna BioCenter, Doctoral School of the University of Vienna and Medical University of Vienna, Vienna, Austria.

出版信息

Nature. 2025 Jan;637(8046):716-725. doi: 10.1038/s41586-024-08257-4. Epub 2024 Nov 27.

Abstract

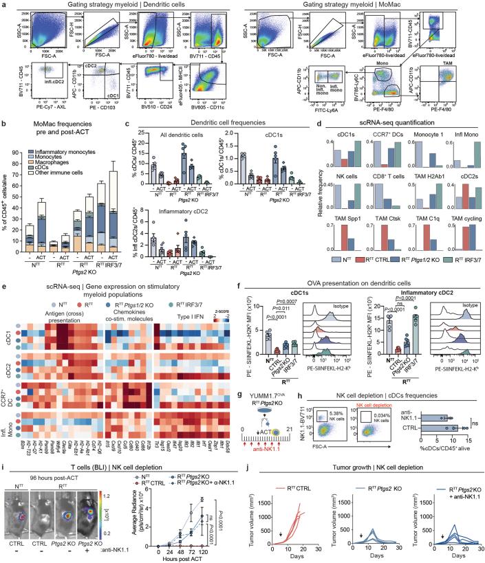
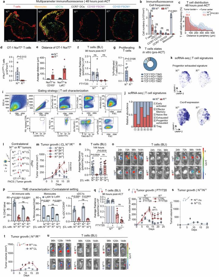
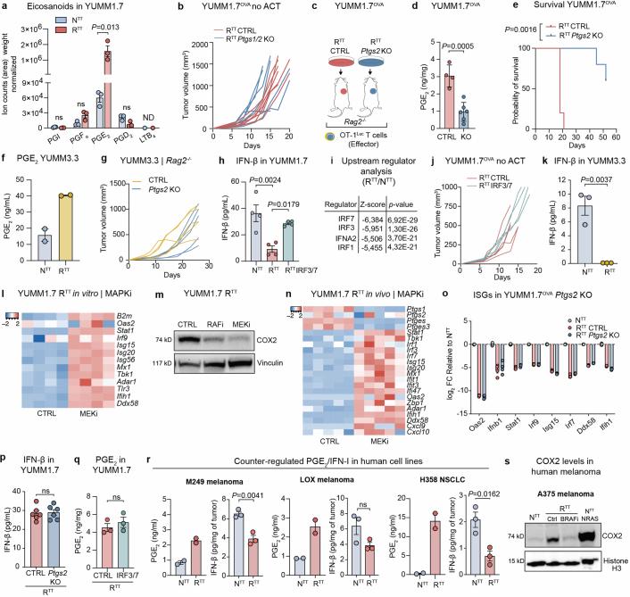
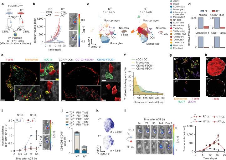
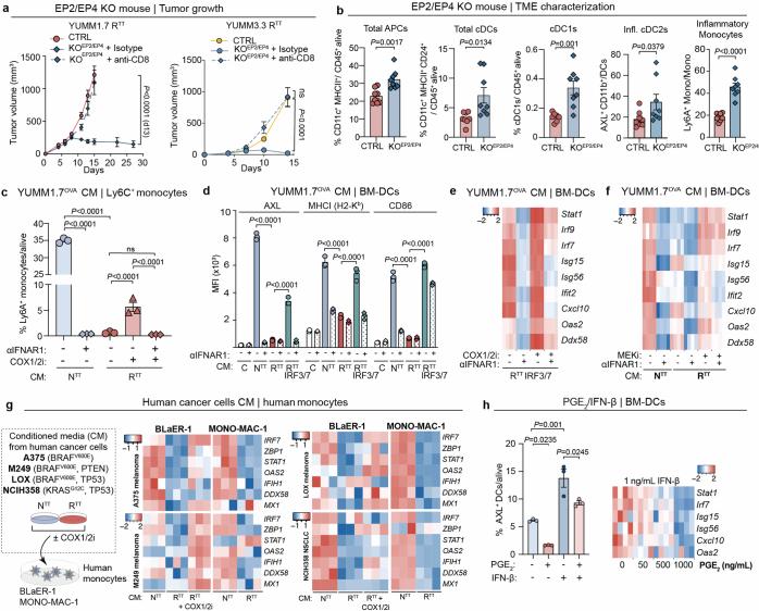
The tumour microenvironment is programmed by cancer cells and substantially influences anti-tumour immune responses. Within the tumour microenvironment, CD8 T cells undergo full effector differentiation and acquire cytotoxic anti-tumour functions in specialized niches. Although interactions with type 1 conventional dendritic cells have been implicated in this process, the underlying cellular players and molecular mechanisms remain incompletely understood. Here we show that inflammatory monocytes can adopt a pivotal role in intratumoral T cell stimulation. These cells express Cxcl9, Cxcl10 and Il15, but in contrast to type 1 conventional dendritic cells, which cross-present antigens, inflammatory monocytes obtain and present peptide-major histocompatibility complex class I complexes from tumour cells through 'cross-dressing'. Hyperactivation of MAPK signalling in cancer cells hampers this process by coordinately blunting the production of type I interferon (IFN-I) cytokines and inducing the secretion of prostaglandin E (PGE), which impairs the inflammatory monocyte state and intratumoral T cell stimulation. Enhancing IFN-I cytokine production and blocking PGE secretion restores this process and re-sensitizes tumours to T cell-mediated immunity. Together, our work uncovers a central role of inflammatory monocytes in intratumoral T cell stimulation, elucidates how oncogenic signalling disrupts T cell responses through counter-regulation of PGE and IFN-I, and proposes rational combination therapies to enhance immunotherapies.

摘要

肿瘤微环境由癌细胞编程,并在很大程度上影响抗肿瘤免疫反应。在肿瘤微环境中,CD8 T细胞经历完全效应分化,并在特殊的生态位中获得细胞毒性抗肿瘤功能。尽管与1型传统树突状细胞的相互作用被认为参与了这一过程,但其潜在的细胞参与者和分子机制仍未完全了解。在这里,我们表明炎性单核细胞在肿瘤内T细胞刺激中可发挥关键作用。这些细胞表达Cxcl9、Cxcl10和Il15,但与交叉呈递抗原的1型传统树突状细胞不同,炎性单核细胞通过“穿扮”从肿瘤细胞中获取并呈递肽-主要组织相容性复合体I类复合物。癌细胞中MAPK信号的过度激活通过协同抑制I型干扰素(IFN-I)细胞因子的产生和诱导前列腺素E(PGE)的分泌来阻碍这一过程,这会损害炎性单核细胞状态和肿瘤内T细胞刺激。增强IFN-I细胞因子的产生并阻断PGE的分泌可恢复这一过程,并使肿瘤对T细胞介导的免疫重新敏感。总之,我们的工作揭示了炎性单核细胞在肿瘤内T细胞刺激中的核心作用,阐明了致癌信号如何通过对PGE和IFN-I的反向调节破坏T细胞反应,并提出了增强免疫疗法的合理联合治疗方案。

https://cdn.ncbi.nlm.nih.gov/pmc/blobs/2e62/11735395/f745be6c63b3/41586_2024_8257_Fig1_HTML.jpg

文献AI研究员

20分钟写一篇综述,助力文献阅读效率提升50倍。

立即体验

用中文搜PubMed

大模型驱动的PubMed中文搜索引擎

马上搜索

文档翻译

学术文献翻译模型,支持多种主流文档格式。

立即体验