Suppr超能文献

缺氧会增加甲基化组蛋白,以防止在Raf诱导的衰老过程中组蛋白剪切和异染色质重新分布。

Hypoxia increases methylated histones to prevent histone clipping and heterochromatin redistribution during Raf-induced senescence.

作者信息

Chang Soojeong, Moon Ramhee, Nam Dowoon, Lee Sang-Won, Yoon Insoo, Lee Dong-Sung, Choi Seunghyuk, Paek Eunok, Hwang Daehee, Hur Junho K, Nam Youhyun, Chang Rakwoo, Park Hyunsung

机构信息

Department of Life Science, University of Seoul, Seoul 02504, Republic of Korea.

Department of Chemistry, Korea University, Seoul 02841, Republic of Korea.

出版信息

Nucleic Acids Res. 2025 Jan 24;53(3). doi: 10.1093/nar/gkae1210.

Abstract

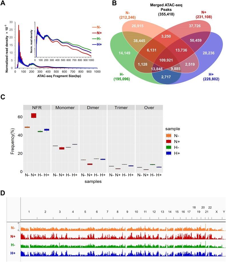
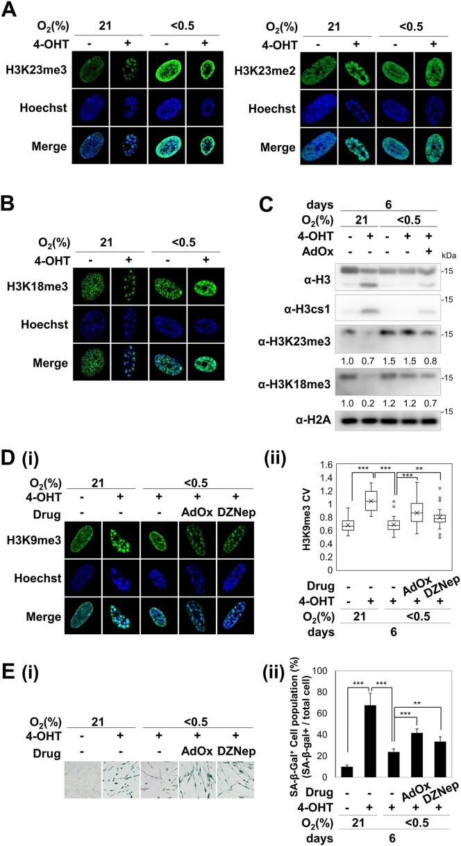
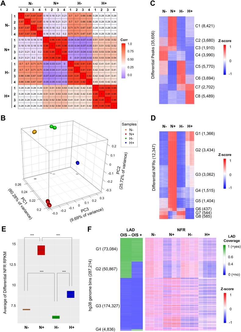
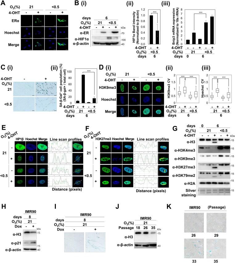
Hypoxia enhances histone methylation by inhibiting oxygen- and α-ketoglutarate-dependent demethylases, resulting in increased methylated histones. This study reveals how hypoxia-induced methylation affects histone clipping and the reorganization of heterochromatin into senescence-associated heterochromatin foci (SAHF) during oncogene-induced senescence (OIS) in IMR90 human fibroblasts. Notably, using top-down proteomics, we discovered specific cleavage sites targeted by Cathepsin L (CTSL) in H3, H2B and H4 during Raf activation, identifying novel sites in H2B and H4. Hypoxia counteracts CTSL-mediated histone clipping by promoting methylation without affecting CTSL's activity. This increase in methylation under hypoxia protects against clipping, reshaping the epigenetic landscape and influencing chromatin accessibility, as shown by ATAC-seq analysis. These insights underscore the pivotal role of hypoxia-induced histone methylation in protecting chromatin from significant epigenetic shifts during cellular aging.

摘要

缺氧通过抑制氧和α-酮戊二酸依赖性去甲基化酶来增强组蛋白甲基化,导致甲基化组蛋白增加。本研究揭示了缺氧诱导的甲基化如何影响组蛋白剪切以及在IMR90人成纤维细胞的癌基因诱导衰老(OIS)过程中异染色质重组成衰老相关异染色质灶(SAHF)。值得注意的是,使用自上而下的蛋白质组学,我们发现了在Raf激活过程中组织蛋白酶L(CTSL)靶向H3、H2B和H4的特定切割位点,确定了H2B和H4中的新位点。缺氧通过促进甲基化来抵消CTSL介导的组蛋白剪切,而不影响CTSL的活性。如ATAC-seq分析所示,缺氧条件下甲基化的增加可防止剪切,重塑表观遗传景观并影响染色质可及性。这些见解强调了缺氧诱导的组蛋白甲基化在保护染色质免受细胞衰老过程中显著表观遗传变化方面的关键作用。

https://cdn.ncbi.nlm.nih.gov/pmc/blobs/7132/11797049/0e52c147f7d0/gkae1210figgra1.jpg

文献AI研究员

20分钟写一篇综述,助力文献阅读效率提升50倍。

立即体验

用中文搜PubMed

大模型驱动的PubMed中文搜索引擎

马上搜索

文档翻译

学术文献翻译模型,支持多种主流文档格式。

立即体验