Suppr超能文献

一种在兔动物模型中使用基于羟基磷灰石-胶原蛋白混合植入物进行眶壁重建的新方法。

A New Approach for Orbital Wall Reconstruction in a Rabbit Animal Model Using a Hybrid Hydroxyapatite-Collagen-Based Implant.

作者信息

Vasile Victor A, Istrate Sinziana, Cursaru Laura-Madalina, Piticescu Roxana M, Ghita Aurelian M, Popescu Diana M, Garhöfer Gerhard, Catrina Ana M, Spandole-Dinu Sonia, Haidoiu Cerasela, Suhaianu Vladimir, Voinea Oana C, Dragut Dumitru Valentin, Popa-Cherecheanu Alina

机构信息

Department of Ophthalmology, Faculty of Medicine, Carol Davila University of Medicine and Pharmacy, 020021 Bucharest, Romania.

Department of Ophthalmology, Ophtalmopôle, Hôpital Cochin, AP-HP, 75014 Paris, France.

出版信息

Int J Mol Sci. 2024 Nov 26;25(23):12712. doi: 10.3390/ijms252312712.

Abstract

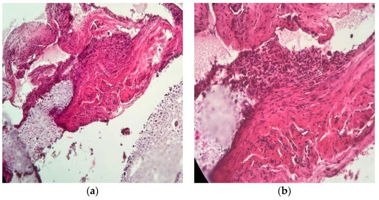
Reconstructing the orbit following complex craniofacial fractures presents significant challenges. Throughout the years, several materials have been used for orbital reconstruction, taking into account factors such as their durability, compatibility with living tissue, cost efficiency, safety, and capacity to be adjusted during surgery. Nevertheless, a consensus has not yet been reached on the optimal material for orbital restoration. This study investigates the potential of a hybrid hydroxyapatite-collagen (HAp-COL) material 3D-printed on Ti mesh to be used as an implant for orbital wall reconstruction. HAp-COL powder was synthesized using a high-pressure hydrothermal technique. The powder was further used to 3D-print HAp-COL structures on titanium mesh, with the latter having potential uses in orbital wall reconstruction. Biocompatibility was assessed by evaluating the effects of the HAp-COL material on the adhesion and proliferation of fibroblasts (3T3) and mesenchymal stem cells (MSCs) in culture. In vitro and in vivo results showed that HAp-COL is highly biocompatible and has a good integration of the implant in the bone. The findings reported in this study offer convincing evidence to support the use of our designed HAp-COL for the restoration of orbital wall fractures, with a high level of safety.

摘要

复杂颅面骨折后的眼眶重建面临重大挑战。多年来,考虑到材料的耐久性、与活组织的相容性、成本效益、安全性以及手术中可调整性等因素,多种材料已被用于眼眶重建。然而,对于眼眶修复的最佳材料尚未达成共识。本研究调查了一种在钛网上3D打印的混合羟基磷灰石-胶原蛋白(HAp-COL)材料用作眼眶壁重建植入物的潜力。采用高压水热技术合成了HAp-COL粉末。该粉末进一步用于在钛网上3D打印HAp-COL结构,后者在眼眶壁重建中具有潜在用途。通过评估HAp-COL材料对培养中的成纤维细胞(3T3)和间充质干细胞(MSC)的黏附与增殖的影响来评估生物相容性。体外和体内结果表明,HAp-COL具有高度生物相容性,且植入物在骨中具有良好的整合性。本研究报告的结果提供了令人信服的证据,支持使用我们设计的HAp-COL进行眼眶壁骨折修复,安全性高。

https://cdn.ncbi.nlm.nih.gov/pmc/blobs/7fe1/11641411/334586da804c/ijms-25-12712-g001.jpg

文献AI研究员

20分钟写一篇综述,助力文献阅读效率提升50倍。

立即体验

用中文搜PubMed

大模型驱动的PubMed中文搜索引擎

马上搜索

文档翻译

学术文献翻译模型,支持多种主流文档格式。

立即体验