Suppr超能文献

巢蛋白2过表达促进肝脂肪变性和动脉粥样硬化。

Nidogen 2 Overexpression Promotes Hepatosteatosis and Atherosclerosis.

作者信息

Kathuria Ishita, Prasad Aditi, Sharma Bal Krishan, Aithabathula Ravi Varma, Ofosu-Boateng Malvin, Gyamfi Maxwell A, Jiang Jianxiong, Park Frank, Singh Udai P, Singla Bhupesh

机构信息

Department of Pharmaceutical Sciences, College of Pharmacy, The University of Tennessee Health Science Center, Memphis, TN 38103, USA.

Cancer and Blood Diseases Institute, Cincinnati Children's Hospital Medical Center, Cincinnati, OH 45229, USA.

出版信息

Int J Mol Sci. 2024 Nov 28;25(23):12782. doi: 10.3390/ijms252312782.

Abstract

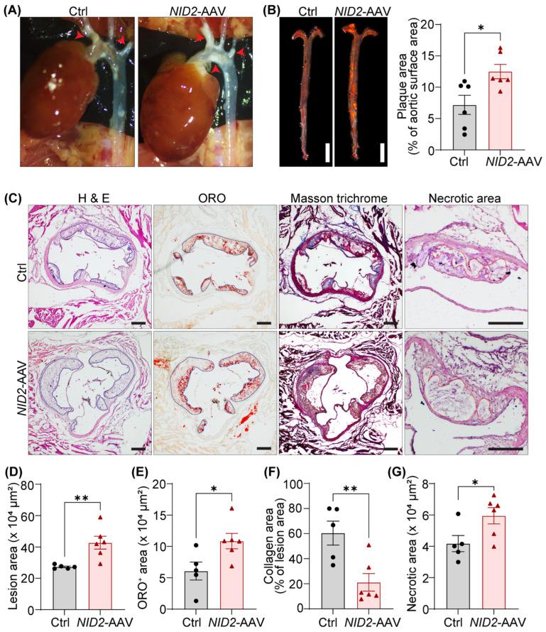
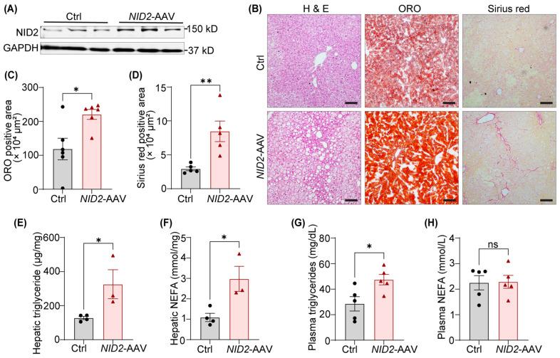
Clinical and genetic studies strongly support a significant connection between nonalcoholic fatty liver disease (NAFLD) and atherosclerotic cardiovascular disease (ASCVD) and identify ASCVD as the primary cause of death in NAFLD patients. Understanding the molecular factors and mechanisms regulating these diseases is critical for developing novel therapies that target them simultaneously. Our preliminary immunoblotting experiments demonstrated elevated expression of nidogen 2 (NID2), a basement membrane glycoprotein, in human atherosclerotic vascular tissues and murine steatotic livers. Therefore, we investigated the role of NID2 in regulating hepatosteatosis and atherosclerosis utilizing Western diet-fed mice with/without overexpression. Quantitative real-time PCR confirmed increased mRNA expression in multiple organs (liver, heart, kidney, and adipose) of -overexpressing mice. Male mice with overexpression exhibited higher liver and epididymal white adipose tissue mass, increased hepatic lipid accumulation, and fibrosis. Additionally, these mice developed larger atherosclerotic lesions in the whole aortas and aortic roots, with increased necrotic core formation. Mechanistic studies showed reduced AMPK activation in the livers of -overexpressing mice compared with controls, without any effects on hepatic inflammation. In conclusion, these findings suggest that NID2 plays a deleterious role in both hepatosteatosis and atherosclerosis, making it a potential therapeutic target for these conditions.

摘要

临床和遗传学研究有力地支持了非酒精性脂肪性肝病(NAFLD)与动脉粥样硬化性心血管疾病(ASCVD)之间存在显著关联,并将ASCVD确定为NAFLD患者的主要死因。了解调节这些疾病的分子因素和机制对于开发同时针对它们的新型疗法至关重要。我们初步的免疫印迹实验表明,在人类动脉粥样硬化血管组织和小鼠脂肪变性肝脏中,基底膜糖蛋白巢蛋白2(NID2)的表达升高。因此,我们利用高脂饮食喂养的过表达或未过表达NID2的小鼠,研究了NID2在调节肝脂肪变性和动脉粥样硬化中的作用。定量实时PCR证实,在过表达NID2的小鼠的多个器官(肝脏、心脏、肾脏和脂肪组织)中,mRNA表达增加。过表达NID2的雄性小鼠表现出更高的肝脏和附睾白色脂肪组织质量、肝脏脂质积累增加以及纤维化。此外,这些小鼠在整个主动脉和主动脉根部形成了更大的动脉粥样硬化病变,坏死核心形成增加。机制研究表明,与对照组相比,过表达NID2的小鼠肝脏中AMPK的激活减少,而对肝脏炎症没有任何影响。总之,这些发现表明NID2在肝脂肪变性和动脉粥样硬化中均起有害作用,使其成为这些疾病的潜在治疗靶点。

https://cdn.ncbi.nlm.nih.gov/pmc/blobs/406e/11641205/8793af0fa060/ijms-25-12782-g001.jpg

文献AI研究员

20分钟写一篇综述,助力文献阅读效率提升50倍。

立即体验

用中文搜PubMed

大模型驱动的PubMed中文搜索引擎

马上搜索

文档翻译

学术文献翻译模型,支持多种主流文档格式。

立即体验