Suppr超能文献

探索感染与原发性骨关节炎之间的联系:一种新一代宏基因组测序方法。

Exploring the Link Between Infections and Primary Osteoarthritis: A Next-Generation Metagenomic Sequencing Approach.

作者信息

Niecwietajewa Irina, Banasiewicz Jakub, Zaremba-Wróblewski Gabriel, Majewska Anna

机构信息

Department of Medical Microbiology, Medical University of Warsaw, Chalubinski 5 Str., 02-004 Warsaw, Poland.

Department of Trauma and Orthopedic Surgery, Czerniakowski Hospital, 19/25 Stępińska St., 00-739 Warsaw, Poland.

出版信息

Int J Mol Sci. 2024 Dec 24;26(1):20. doi: 10.3390/ijms26010020.

Abstract

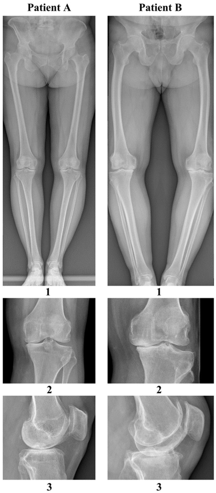
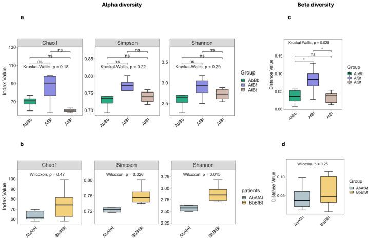
This prospective pilot study examined the association between microorganisms and knee osteoarthritis by identifying pathogens in the synovial membrane, synovial fluid, and blood samples from two patients with primary bilateral knee osteoarthritis, using metagenomic next-generation sequencing (mNGS). Intraoperatively, during routine knee arthroplasty procedures, we collected the following 12 samples from each patient: two synovial membrane samples, two synovial fluid samples, and two venous blood samples. After DNA isolation and library construction, each sample was subjected to deep whole-genome sequencing using the DNBSEQT17 platform with the read length PE150 as the default. Metagenomic sequencing data were mapped to the NCBI NT database to determine species abundance. The predominant species in all samples tested were classified under the Enterobacterales order, the most abundant being The second and third most common microorganisms detected were and autotrophic, Gram-negative bacteria sp., which is a bioaerosol component, indicating a risk of inhalation of the toxic metabolites of this latter microorganism. This article provides an initial exploration of mNGS use to study the etiopathogenetic mechanisms of knee osteoarthritis (OA). While our analysis identified bacterial DNA, particularly from , further cross-sectional studies in larger populations with and without OA are needed to determine the role of these agents in OA pathogenesis.

摘要

这项前瞻性试点研究通过使用宏基因组下一代测序(mNGS)鉴定两名原发性双侧膝关节骨关节炎患者滑膜、滑液和血液样本中的病原体,研究了微生物与膝关节骨关节炎之间的关联。术中,在常规膝关节置换手术过程中,我们从每位患者身上采集了以下12个样本:两个滑膜样本、两个滑液样本和两个静脉血样本。在进行DNA分离和文库构建后,每个样本使用DNBSEQT17平台进行深度全基因组测序,默认读长为PE150。宏基因组测序数据被映射到NCBI NT数据库以确定物种丰度。所有测试样本中的主要物种被归类在肠杆菌目下,最丰富的是。检测到的第二和第三常见微生物是和自养革兰氏阴性菌sp.,后者是一种生物气溶胶成分,表明存在吸入这种微生物有毒代谢产物的风险。本文对mNGS用于研究膝关节骨关节炎(OA)的发病机制进行了初步探索。虽然我们的分析鉴定出了细菌DNA,特别是来自的,但需要在更大规模的有和没有OA的人群中进行进一步的横断面研究,以确定这些病原体在OA发病机制中的作用。

https://cdn.ncbi.nlm.nih.gov/pmc/blobs/5c7d/11720077/fc2c769ba761/ijms-26-00020-g001.jpg

文献AI研究员

20分钟写一篇综述,助力文献阅读效率提升50倍。

立即体验

用中文搜PubMed

大模型驱动的PubMed中文搜索引擎

马上搜索

文档翻译

学术文献翻译模型,支持多种主流文档格式。

立即体验