Suppr超能文献

DNA依赖性蛋白激酶催化亚基可预防视网膜色素上皮细胞中的铁死亡。

DNA-Dependent Protein Kinase Catalytic Subunit Prevents Ferroptosis in Retinal Pigment Epithelial Cells.

作者信息

Wang Xueying, Wang Xi, Zhao Zhenzhen, Wang Qian, Zhu Xiaoman, Ou Qingjian, Xu Jing-Ying, Lu Lixia, Gao Furong, Wang Juan, Bi Yanlong, Xu Guo-Tong, Jin Caixia, Tian Haibin

机构信息

Department of Ophthalmology of Tongji Hospital and Laboratory of Clinical and Visual Sciences of Tongji Eye Institute, School of Medicine, Tongji University, Shanghai, China.

Department of Pharmacology, School of Medicine, Tongji University, Shanghai, China.

出版信息

Invest Ophthalmol Vis Sci. 2025 Jan 2;66(1):50. doi: 10.1167/iovs.66.1.50.

Abstract

PURPOSE

The purpose of this study was to investigate the activated core kinases involved in the DNA damage responses (DDR) during ferroptosis of retinal pigment epithelial (RPE) cells in vitro and their regulatory effects on ferroptosis.

METHODS

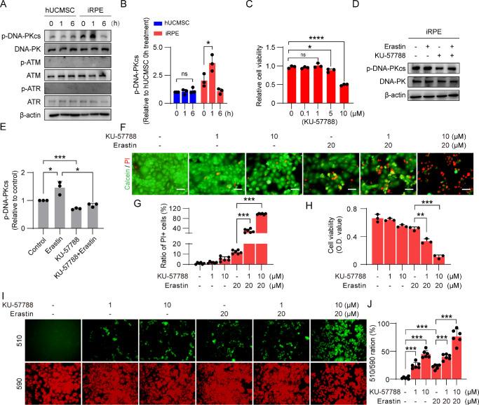
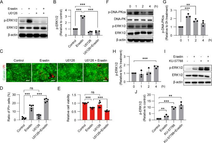
Ferroptosis was induced by erastin in induced RPE (iRPE) cells derived from human umbilical cord mesenchymal stem cells (hUCMSCs), hUCMSCs, and induced pluripotent stem cell-derived RPE (iPSC-RPE) cells. CCK8 was employed to measure the cell viability. Calcein/PI staining was used to detect the ferroptotic cells. The γ-H2AX, 8-oxoG, and phosphorylated DNA-dependent protein kinase catalytic subunit (DNA-PKcs) were determined through immunostaining. The phosphorylation of DNA-PKcs and ERK1/2 was determined by Western blotting. Lipid peroxides were detected by BODIPY581/591-C11 staining.

RESULTS

The iRPE cells exhibited a stronger ability to resist ferroptosis compared to hUCMSCs. Ferroptosis induced DNA damage in cells, and DNA-PKcs was rapidly phosphorylated in iRPE cells on the treatment of erastin. In addition, inhibition of DNA-PKcs phosphorylation promoted ferroptosis in iRPE cells, suggesting that DNA-PKcs prevents ferroptosis. Meanwhile, DNA-PKcs inhibited ERK1/2 phosphorylation only at the early stage of ferroptosis induction, whereas ERK1/2 phosphorylation played a protective role in iRPE cells. Furthermore, erastin inducing DNA-PKcs phosphorylation and inhibition of its phosphorylation promoting ferroptosis were also verified in iPSC-RPE cells.

CONCLUSIONS

The present study elucidates that the key DDR kinase DNA-PKcs is activated and plays protective role during ferroptosis in RPE cells in vitro, which will provide new research targets and strategies for inhibiting ferroptosis in RPE cells.

摘要

目的

本研究旨在探究体外视网膜色素上皮(RPE)细胞铁死亡过程中参与DNA损伤反应(DDR)的激活核心激酶及其对铁死亡的调控作用。

方法

使用erastin诱导源自人脐带间充质干细胞(hUCMSCs)、hUCMSCs和诱导多能干细胞衍生的RPE(iPSC-RPE)细胞的诱导RPE(iRPE)细胞发生铁死亡。采用CCK8法检测细胞活力。用钙黄绿素/碘化丙啶染色检测铁死亡细胞。通过免疫染色测定γ-H2AX、8-氧代鸟嘌呤和磷酸化的DNA依赖性蛋白激酶催化亚基(DNA-PKcs)。通过蛋白质免疫印迹法测定DNA-PKcs和ERK1/2的磷酸化水平。用BODIPY581/591-C11染色检测脂质过氧化物。

结果

与hUCMSCs相比,iRPE细胞表现出更强的抗铁死亡能力。铁死亡诱导细胞中的DNA损伤,在erastin处理后iRPE细胞中的DNA-PKcs迅速磷酸化。此外,抑制DNA-PKcs磷酸化可促进iRPE细胞中的铁死亡,表明DNA-PKcs可预防铁死亡。同时,DNA-PKcs仅在铁死亡诱导的早期抑制ERK1/2磷酸化,而ERK1/2磷酸化在iRPE细胞中起保护作用。此外,在iPSC-RPE细胞中也证实了erastin诱导DNA-PKcs磷酸化以及抑制其磷酸化促进铁死亡。

结论

本研究阐明了关键的DDR激酶DNA-PKcs在体外RPE细胞铁死亡过程中被激活并发挥保护作用,这将为抑制RPE细胞铁死亡提供新的研究靶点和策略。

https://cdn.ncbi.nlm.nih.gov/pmc/blobs/2325/11756607/edcb8e099ddd/iovs-66-1-50-f001.jpg

文献AI研究员

20分钟写一篇综述,助力文献阅读效率提升50倍。

立即体验

用中文搜PubMed

大模型驱动的PubMed中文搜索引擎

马上搜索

文档翻译

学术文献翻译模型,支持多种主流文档格式。

立即体验